Skip to main content

SDR16C5 Antibody - BSA Free

Novus Biologicals, part of Bio-Techne | Catalog # NBP1-87150

Novus Biologicals, part of Bio-Techne
Catalog #
Availability
Size / Price
Qty
Loading...
NBP1-87150
NBP1-87150-25ul

Key Product Details

Validated by

Orthogonal Validation

Species Reactivity

Validated:

Human

Cited:

Human

Applications

Validated:

Immunohistochemistry, Immunohistochemistry-Paraffin, Western Blot

Cited:

IF/IHC

Label

Unconjugated

Antibody Source

Polyclonal Rabbit IgG

Format

BSA Free

Concentration

Concentrations vary lot to lot. See vial label for concentration. If unlisted please contact technical services.

Product Specifications

Immunogen

This antibody was developed against Recombinant Protein corresponding to amino acids: CTTGCPSLLPILEPKYAVEKIVEAILQEKMYLYMPKLLYFMMFLKSFLPLKTGLLIADYLGILHAMDGFVDQKKKL

Clonality

Polyclonal

Host

Rabbit

Isotype

IgG

Description

Novus Biologicals Rabbit SDR16C5 Antibody - BSA Free (NBP1-87150) is a polyclonal antibody validated for use in IHC and WB. Anti-SDR16C5 Antibody: Cited in 1 publication. All Novus Biologicals antibodies are covered by our 100% guarantee.

Scientific Data Images for SDR16C5 Antibody - BSA Free

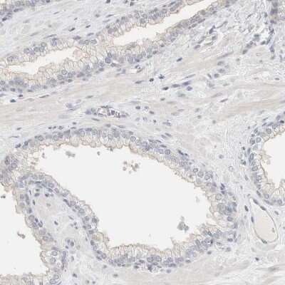
Immunohistochemistry-Paraffin: SDR16C5 Antibody [NBP1-87150]

Immunohistochemistry-Paraffin: SDR16C5 Antibody [NBP1-87150]

Immunohistochemistry-Paraffin: SDR16C5 Antibody [NBP1-87150] - Analysis in human skin and prostate tissues. Corresponding SDR16C5 RNA-seq data are presented for the same tissues.
Western Blot: SDR16C5 Antibody [NBP1-87150]

Western Blot: SDR16C5 Antibody [NBP1-87150]

Western Blot: SDR16C5 Antibody [NBP1-87150] - Analysis in control (vector only transfected HEK293T lysate) and SDR16C5 over-expression lysate (Co-expressed with a C-terminal myc-DDK tag (3.1 kDa) in mammalian HEK293T cells).
Immunohistochemistry-Paraffin: SDR16C5 Antibody [NBP1-87150]

Immunohistochemistry-Paraffin: SDR16C5 Antibody [NBP1-87150]

Immunohistochemistry-Paraffin: SDR16C5 Antibody [NBP1-87150] - Staining of human tonsil shows strong cytoplasmic positivity in squamous epithelial cells.

Applications for SDR16C5 Antibody - BSA Free

Application
Recommended Usage

Immunohistochemistry

1:50 - 1:200

Immunohistochemistry-Paraffin

1:50-1:200

Western Blot

0.04-0.4 ug/ml
Application Notes
For IHC-Paraffin, HIER pH 6 retrieval is recommended.

Formulation, Preparation, and Storage

Purification

Affinity purified

Formulation

PBS (pH 7.2) and 40% Glycerol

Format

BSA Free

Preservative

0.02% Sodium Azide

Concentration

Concentrations vary lot to lot. See vial label for concentration. If unlisted please contact technical services.

Shipping

The product is shipped with polar packs. Upon receipt, store it immediately at the temperature recommended below.

Stability & Storage

Store at 4C short term. Aliquot and store at -20C long term. Avoid freeze-thaw cycles.

Background: SDR16C5

RDHE2 belongs to a family of short-chain alcohol dehydrogenases/reductases that catalyze the first and rate-limiting step that generates retinaldehyde from retinol (Matsuzaka et al., 2002 [PubMed 12372410]).[supplied by OMIM]

Alternate Names

EC 1.1.1.105, EPHD-2, epidermal retinol dehydrogenase 2, FLJ33105, RDH-E2epidermal retinal dehydrogenase 2, RDHE2RDH#2, retinal short chain dehydrogenase reductase, Retinal short-chain dehydrogenase reductase 2, retSDR2, short chain dehydrogenase/reductase family 16C, member 5, Short-chain dehydrogenase/reductase family 16C member 5

Gene Symbol

SDR16C5

Additional SDR16C5 Products

Product Documents for SDR16C5 Antibody - BSA Free

Certificate of Analysis

To download a Certificate of Analysis, please enter a lot number in the search box below.

Product Specific Notices for SDR16C5 Antibody - BSA Free

This product is for research use only and is not approved for use in humans or in clinical diagnosis. Primary Antibodies are guaranteed for 1 year from date of receipt.

Loading...
Loading...
Loading...
Loading...