Skip to main content

SDHD Antibody - BSA Free

Novus Biologicals, part of Bio-Techne | Catalog # NBP1-92372

Novus Biologicals, part of Bio-Techne
Catalog #
Availability
Size / Price
Qty
Loading...
NBP1-92372
NBP1-92372-25ul

Key Product Details

Species Reactivity

Human

Applications

Immunohistochemistry, Immunohistochemistry-Paraffin

Label

Unconjugated

Antibody Source

Polyclonal Rabbit IgG

Format

BSA Free

Concentration

Concentrations vary lot to lot. See vial label for concentration. If unlisted please contact technical services.

Product Specifications

Immunogen

This antibody was developed against Recombinant Protein corresponding to amino acids: RTPVVRPAHISAFLQDRPIPEWCGVQHIHLSPSHHSGSKAASLHW

Clonality

Polyclonal

Host

Rabbit

Isotype

IgG

Description

Novus Biologicals Rabbit SDHD Antibody - BSA Free (NBP1-92372) is a polyclonal antibody validated for use in IHC. Anti-SDHD Antibody: Cited in 1 publication. All Novus Biologicals antibodies are covered by our 100% guarantee.

Scientific Data Images for SDHD Antibody - BSA Free

Immunohistochemistry-Paraffin: SDHD Antibody [NBP1-92372]

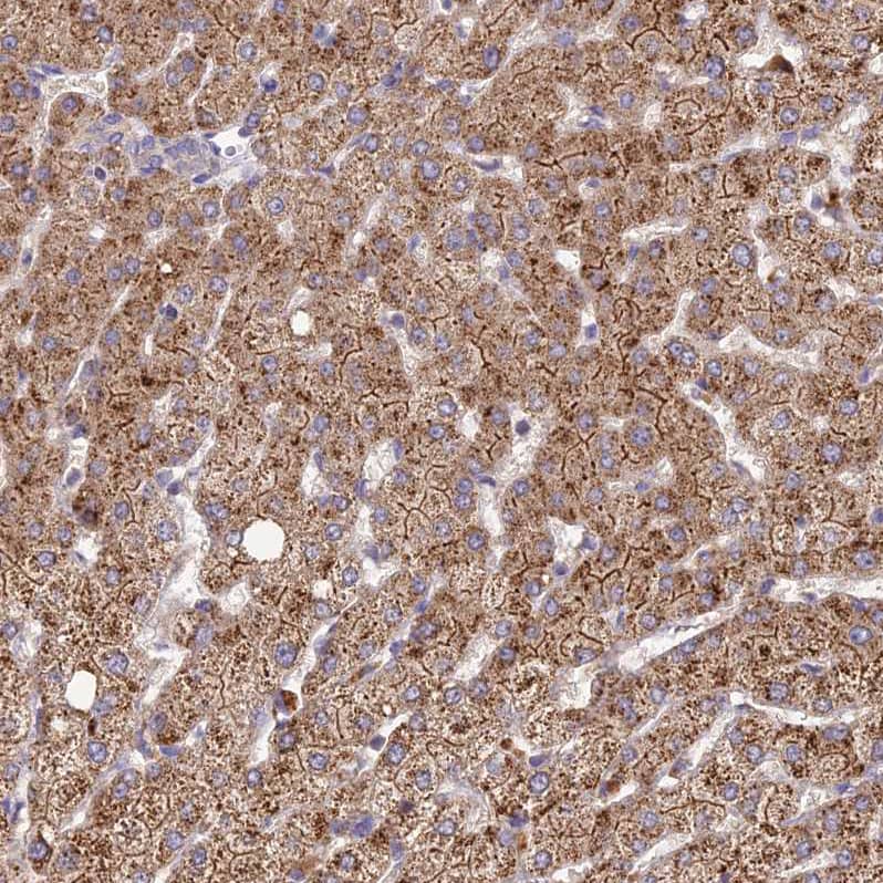
Immunohistochemistry-Paraffin: SDHD Antibody [NBP1-92372]

Immunohistochemistry-Paraffin: SDHD Antibody [NBP1-92372] - Staining of human pancreas shows strong cytoplasmic positivity in exocrine glandular cells.
Immunohistochemistry-Paraffin: SDHD Antibody [NBP1-92372]

Immunohistochemistry-Paraffin: SDHD Antibody [NBP1-92372]

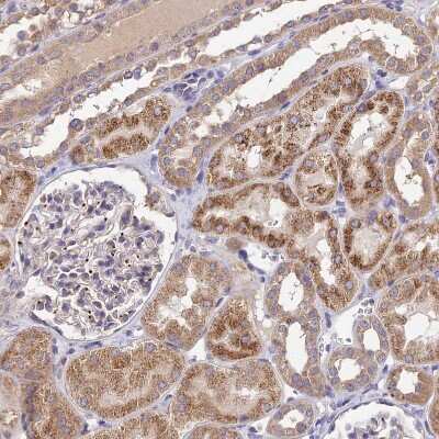
Immunohistochemistry-Paraffin: SDHD Antibody [NBP1-92372] - Staining of human kidney shows moderate to strong granular cytoplasmic positivity in cells in tubules.
SDHD Antibody - BSA Free Immunohistochemistry: SDHD Antibody - BSA Free [NBP1-92372]

Immunohistochemistry: SDHD Antibody - BSA Free [NBP1-92372]

Staining of human placenta shows weak granular cytoplasmic positivity in trophoblastic cells.

Applications for SDHD Antibody - BSA Free

Application
Recommended Usage

Immunohistochemistry

1:20 - 1:50

Immunohistochemistry-Paraffin

1:20-1:50
Application Notes
For IHC-Paraffin, HIER pH 6 retrieval is recommended.

Formulation, Preparation, and Storage

Purification

Immunogen affinity purified

Formulation

PBS (pH 7.2) and 40% Glycerol

Format

BSA Free

Preservative

0.02% Sodium Azide

Concentration

Concentrations vary lot to lot. See vial label for concentration. If unlisted please contact technical services.

Shipping

The product is shipped with polar packs. Upon receipt, store it immediately at the temperature recommended below.

Stability & Storage

Store at 4C short term. Aliquot and store at -20C long term. Avoid freeze-thaw cycles.

Background: SDHD

SDHD is part of Complex II. Complex II of the respiratory chain, which is specifically involved in the oxidation of succinate, carries electrons from FADH to CoQ. The complex is composed of four nuclear-encoded subunits and is localized in the mitochondrial inner membrane. The subunit D protein is one of two integral membrane proteins anchoring the complex to the matrix side of the membrane. Mutations in SDHD have been linked to hereditary paraganglioma.

Alternate Names

CBT1, CII-4, cybS, PGL, PGL1, QPs3, SDH4, succinate dehydrogenase [ubiquinone] cytochrome b small subunit, mitochondrial, Succinate dehydrogenase complex subunit D, succinate dehydrogenase complex, subunit D, integral membrane protein, succinate dehydrogenase ubiquinone cytochrome B small subunit, Succinate-ubiquinone oxidoreductase cytochrome b small subunit, Succinate-ubiquinone reductase membrane anchor subunit

Entrez Gene IDs

6392 (Human)

Gene Symbol

SDHD

UniProt

Additional SDHD Products

Product Documents for SDHD Antibody - BSA Free

Certificate of Analysis

To download a Certificate of Analysis, please enter a lot number in the search box below.

Product Specific Notices for SDHD Antibody - BSA Free

This product is for research use only and is not approved for use in humans or in clinical diagnosis. Primary Antibodies are guaranteed for 1 year from date of receipt.

Loading...
Loading...
Loading...
Loading...
Loading...