SDF4 Antibody - BSA Free
Novus Biologicals, part of Bio-Techne | Catalog # NBP3-35551
Key Product Details
Species Reactivity
Human, Mouse
Applications
ELISA, Immunohistochemistry, Immunohistochemistry-Paraffin, Western Blot
Label
Unconjugated
Antibody Source
Polyclonal Rabbit IgG
Format
BSA Free
Concentration
Please see the vial label for concentration. If unlisted please contact technical services.
Product Specifications
Immunogen
Recombinant fusion protein containing a sequence corresponding to amino acids 37-200 of human SDF4 (NP_057260.2).
Sequence:
RPANHSSTRERVANREENEILPPDHLNGVKLEMDGHLNRGFHQEVFLGKDLGGFDEDAEPRRSRRKLMVIFSKVDVNTDRKISAKEMQRWIMEKTAEHFQEAMEESKTHFRAVDPDGDGHVSWDEYKVKFLASKGHSEKEVADAIRLNEELKVDEETQEVLENL
Sequence:
RPANHSSTRERVANREENEILPPDHLNGVKLEMDGHLNRGFHQEVFLGKDLGGFDEDAEPRRSRRKLMVIFSKVDVNTDRKISAKEMQRWIMEKTAEHFQEAMEESKTHFRAVDPDGDGHVSWDEYKVKFLASKGHSEKEVADAIRLNEELKVDEETQEVLENL
Clonality
Polyclonal
Host
Rabbit
Isotype
IgG
Theoretical MW
42 kDa.
Disclaimer note: The observed molecular weight of the protein may vary from the listed predicted molecular weight due to post translational modifications, post translation cleavages, relative charges, and other experimental factors.
Disclaimer note: The observed molecular weight of the protein may vary from the listed predicted molecular weight due to post translational modifications, post translation cleavages, relative charges, and other experimental factors.
Description
Novus Biologicals Rabbit SDF4 Antibody - BSA Free (NBP3-35551) is a polyclonal antibody validated for use in IHC, WB and ELISA. All Novus Biologicals antibodies are covered by our 100% guarantee.
Scientific Data Images for SDF4 Antibody - BSA Free
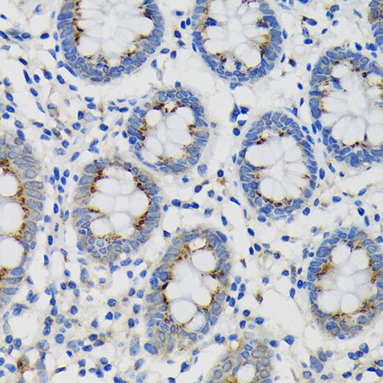
Immunohistochemistry: SDF4 Antibody [NBP3-35551] -
Immunohistochemistry: SDF4 Antibody [NBP3-35551] - Immunohistochemistry analysis of paraffin-embedded Human colon using SDF4 Rabbit pAb at dilution of 1:100 (40x lens). Microwave antigen retrieval performed with 0.01M PBS Buffer (pH 7.2) prior to IHC staining.Western Blot: SDF4 Antibody [NBP3-35551] -
Western Blot: SDF4 Antibody [NBP3-35551] - Western blot analysis of various lysates using SDF4 Rabbit pAb at 1:1000 dilution.Secondary antibody: HRP-conjugated Goat anti-Rabbit IgG (H+L) at 1:10000 dilution.
Lysates/proteins: 25ug per lane.
Blocking buffer: 3% nonfat dry milk in TBST.
Detection: ECL Basic Kit.
Exposure time: 90s.
Western Blot: SDF4 Antibody [NBP3-35551] -
Western Blot: SDF4 Antibody [NBP3-35551] - Western blot analysis of various lysates using SDF4 Rabbit pAb at 1:1000 dilution.Secondary antibody: HRP-conjugated Goat anti-Rabbit IgG (H+L) at 1:10000 dilution.
Lysates/proteins: 25ug per lane.
Blocking buffer: 3% nonfat dry milk in TBST.
Detection: ECL Basic Kit.
Exposure time: 60s.
Applications for SDF4 Antibody - BSA Free
Application
Recommended Usage
Immunohistochemistry-Paraffin
1:50 - 1:200
Western Blot
1:200 - 1:2000
Formulation, Preparation, and Storage
Purification
Affinity purified
Formulation
PBS (pH 7.3), 50% glycerol
Format
BSA Free
Preservative
0.01% Thimerosal
Concentration
Please see the vial label for concentration. If unlisted please contact technical services.
Shipping
The product is shipped with polar packs. Upon receipt, store it immediately at the temperature recommended below.
Stability & Storage
Store at -20C. Avoid freeze-thaw cycles.
Background: SDF4
Alternate Names
45 kDa calcium-binding protein, CAB45, Cab45Stromal cell-derived factor 4, calcium binding protein, SDF-4, stromal cell derived factor 4
Gene Symbol
SDF4
Additional SDF4 Products
Product Documents for SDF4 Antibody - BSA Free
Product Specific Notices for SDF4 Antibody - BSA Free
This product is for research use only and is not approved for use in humans or in clinical diagnosis. Primary Antibodies are guaranteed for 1 year from date of receipt.
Loading...
Loading...
Loading...
Loading...