Skip to main content

SCN7A Antibody - BSA Free

Novus Biologicals, part of Bio-Techne | Catalog # NBP3-47426

Novus Biologicals, part of Bio-Techne
Catalog #
Availability
Size / Price
Qty
Loading...
NBP3-47426

Key Product Details

Species Reactivity

Human, Mouse

Applications

Immunohistochemistry, Western Blot, ELISA

Label

Unconjugated

Antibody Source

Polyclonal Rabbit IgG

Format

BSA Free

Concentration

Please see the vial label for concentration. If unlisted please contact technical services.

Product Specifications

Immunogen

Peptide. (Uniprot# Q01118)

Clonality

Polyclonal

Host

Rabbit

Isotype

IgG

Theoretical MW

193 kDa.
Disclaimer note: The observed molecular weight of the protein may vary from the listed predicted molecular weight due to post translational modifications, post translation cleavages, relative charges, and other experimental factors.

Description

Novus Biologicals Rabbit SCN7A Antibody - BSA Free (NBP3-47426) is a polyclonal antibody validated for use in IHC, WB and ELISA. All Novus Biologicals antibodies are covered by our 100% guarantee.

Scientific Data Images for SCN7A Antibody - BSA Free

SCN7A Antibody - BSA Free

Western Blot: SCN7A Antibody - BSA Free [NBP3-47426] -

Western Blot: SCN7A Antibody - BSA Free [NBP3-47426] - Mouse heart were subjected to SDS PAGE followed by western blot with (SCN7A antibody) at dilution of 1:1000
SCN7A Antibody - BSA Free

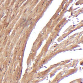
Immunohistochemistry: SCN7A Antibody - BSA Free [NBP3-47426] -

Immunohistochemistry: SCN7A Antibody - BSA Free [NBP3-47426] - Immunohistochemistry of paraffin-embedded mouse heart tissue slide using (SCN7A Antibody) at dilution of 1:100

Applications for SCN7A Antibody - BSA Free

Application
Recommended Usage

Immunohistochemistry

1:50-1:200

Western Blot

1:500-1:2000

Formulation, Preparation, and Storage

Purification

Immunogen affinity purified

Formulation

PBS, 50% Glycerol, pH (7.3)

Format

BSA Free

Preservative

0.02% Sodium Azide

Concentration

Please see the vial label for concentration. If unlisted please contact technical services.

Shipping

The product is shipped with polar packs. Upon receipt, store it immediately at the temperature recommended below.

Stability & Storage

Store at -20C. Avoid freeze-thaw cycles.

Background: SCN7A

Voltage-dependent sodium channels mediate the sodium ion permeability of excitable membranes. Assuming opened or closed conformations in response to the voltage difference across the membrane, they form a sodium-selective channel through which Na(+) ions may pass in accordance with their electrochemical gradient. These ion channel proteins exist as heteromultimeric complexes of a large alpha subunit and 1 or 2 smaller beta subunits. SCN7A (Sodium channel protein type 7 subunit alpha) is an alpha subunit and is expressed in heart and uterus.

Alternate Names

Sodium channel protein cardiac and skeletal muscle subunit alpha, Sodium channel protein type VII subunit alpha, sodium channel, voltage-gated, type VI, alpha, sodium channel, voltage-gated, type VII, alpha, sodium channel, voltage-gated, type VII, alpha polypeptide, voltage-dependent sodium channel alpha subunit, voltage-gated, type VI, alpha polypeptide

Gene Symbol

SCN7A

Additional SCN7A Products

Product Documents for SCN7A Antibody - BSA Free

Certificate of Analysis

To download a Certificate of Analysis, please enter a lot number in the search box below.

Product Specific Notices for SCN7A Antibody - BSA Free

This product is for research use only and is not approved for use in humans or in clinical diagnosis. Primary Antibodies are guaranteed for 1 year from date of receipt.

Loading...
Loading...
Loading...
Loading...