SCML4 Antibody - BSA Free
Novus Biologicals, part of Bio-Techne | Catalog # NBP2-57381
Key Product Details
Species Reactivity
Human
Applications
Immunocytochemistry/ Immunofluorescence, Immunohistochemistry, Immunohistochemistry-Paraffin
Label
Unconjugated
Antibody Source
Polyclonal Rabbit IgG
Format
BSA Free
Concentration
Concentrations vary lot to lot. See vial label for concentration. If unlisted please contact technical services.
Product Specifications
Immunogen
This antibody was developed against a recombinant protein corresponding to the following amino acid sequence: CSASEKVQEKEEGRMESVKTVTTEEYLVNPVGMNRYSVDTSASTFNHRGSLHPSSSLYCKRQNSGD
Clonality
Polyclonal
Host
Rabbit
Isotype
IgG
Description
Novus Biologicals Rabbit SCML4 Antibody - BSA Free (NBP2-57381) is a polyclonal antibody validated for use in IHC and ICC/IF. All Novus Biologicals antibodies are covered by our 100% guarantee.
Scientific Data Images for SCML4 Antibody - BSA Free
Immunocytochemistry/ Immunofluorescence: SCML4 Antibody [NBP2-57381]
Immunocytochemistry/Immunofluorescence: SCML4 Antibody [NBP2-57381] - Staining of human cell line SK-MEL-30 shows localization to nucleoplasm.Immunohistochemistry-Paraffin: SCML4 Antibody [NBP2-57381]
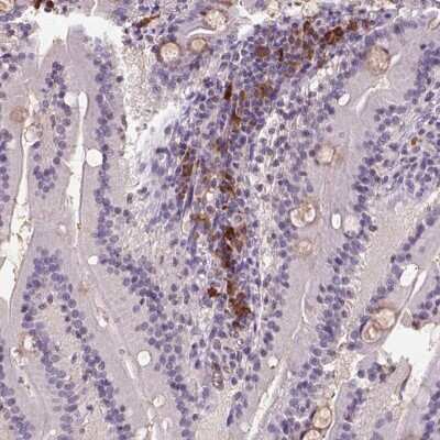
Immunohistochemistry-Paraffin: SCML4 Antibody [NBP2-57381] - Immunohistochemical staining of human small intestine shows strong positivity in a subset of lymphoid cells.Applications for SCML4 Antibody - BSA Free
Application
Recommended Usage
Immunocytochemistry/ Immunofluorescence
0.25-2 ug/ml
Immunohistochemistry
1:500 - 1:1000
Immunohistochemistry-Paraffin
1:500 - 1:1000
Application Notes
For IHC-Paraffin, HIER pH 6 retrieval is recommended. Immunocytochemistry/Immunofluorescence Fixation Permeabilization: Use PFA/Triton X-100.
Formulation, Preparation, and Storage
Purification
Affinity purified
Formulation
PBS (pH 7.2) and 40% Glycerol
Format
BSA Free
Preservative
0.02% Sodium Azide
Concentration
Concentrations vary lot to lot. See vial label for concentration. If unlisted please contact technical services.
Shipping
The product is shipped with polar packs. Upon receipt, store it immediately at the temperature recommended below.
Stability & Storage
Store at 4C short term. Aliquot and store at -20C long term. Avoid freeze-thaw cycles.
Background: SCML4
Alternate Names
dJ47M23.1, FLJ36252, sex comb on midleg-like 4 (Drosophila), sex comb on midleg-like protein 4
Gene Symbol
SCML4
Additional SCML4 Products
Product Documents for SCML4 Antibody - BSA Free
Product Specific Notices for SCML4 Antibody - BSA Free
This product is for research use only and is not approved for use in humans or in clinical diagnosis. Primary Antibodies are guaranteed for 1 year from date of receipt.
Loading...
Loading...
Loading...
Loading...