SCEL Antibody - BSA Free
Novus Biologicals, part of Bio-Techne | Catalog # NBP3-45437
Key Product Details
Species Reactivity
Human
Applications
Immunohistochemistry, Western Blot, ELISA, Immunocytochemistry/ Immunofluorescence, Serum
Label
Unconjugated
Antibody Source
Polyclonal Rabbit IgG
Format
BSA Free
Concentration
Please see the vial label for concentration. If unlisted please contact technical services.
Product Specifications
Immunogen
sciellin. (Uniprot# O95171)
Clonality
Polyclonal
Host
Rabbit
Isotype
IgG
Description
Novus Biologicals Rabbit SCEL Antibody - BSA Free (NBP3-45437) is a polyclonal antibody validated for use in IHC, WB, ELISA and ICC/IF. All Novus Biologicals antibodies are covered by our 100% guarantee.
Scientific Data Images for SCEL Antibody - BSA Free
Western Blot: SCEL Antibody - BSA Free [NBP3-45437] -
Western Blot: SCEL Antibody - BSA Free [NBP3-45437] - A431 cells were subjected to SDS PAGE followed by western blot with (SCEL antibody) at dilution of 1:300Immunohistochemistry: SCEL Antibody - BSA Free [NBP3-45437] -
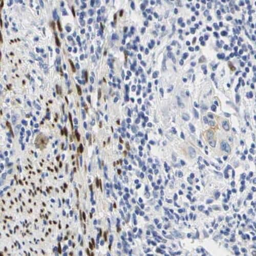
Immunohistochemistry: SCEL Antibody - BSA Free [NBP3-45437] - Immunohistochemistry of paraffin-embedded human cervical cancer using (SCEL antibody) at dilution of 1:100Applications for SCEL Antibody - BSA Free
Application
Recommended Usage
Immunocytochemistry/ Immunofluorescence
1:20-1:200
Immunohistochemistry
1:20-1:200
Serum
FC
Western Blot
1:500-1:2000
Application Notes
Theoretical Molecular Weight is 70-78 kDa
Formulation, Preparation, and Storage
Purification
Immunogen affinity purified
Formulation
PBS, 50% Glycerol, pH (7.3)
Format
BSA Free
Preservative
0.02% Sodium Azide
Concentration
Please see the vial label for concentration. If unlisted please contact technical services.
Shipping
The product is shipped with polar packs. Upon receipt, store it immediately at the temperature recommended below.
Stability & Storage
Store at -20C. Avoid freeze-thaw cycles.
Background: SCEL
Alternate Names
FLJ21667, MGC22531, sciellin
Gene Symbol
SCEL
Additional SCEL Products
Product Documents for SCEL Antibody - BSA Free
Product Specific Notices for SCEL Antibody - BSA Free
This product is for research use only and is not approved for use in humans or in clinical diagnosis. Primary Antibodies are guaranteed for 1 year from date of receipt.
Loading...
Loading...
Loading...
Loading...