Skip to main content

SCAP2 Antibody - BSA Free

Novus Biologicals, part of Bio-Techne | Catalog # NBP2-47288

Novus Biologicals, part of Bio-Techne
Catalog #
Availability
Size / Price
Qty
Loading...
NBP2-47288

Key Product Details

Validated by

Independent Antibodies

Species Reactivity

Human

Applications

Immunocytochemistry/ Immunofluorescence, Immunohistochemistry, Immunohistochemistry-Paraffin, Western Blot

Label

Unconjugated

Antibody Source

Polyclonal Rabbit IgG

Format

BSA Free

Concentration

Concentrations vary lot to lot. See vial label for concentration. If unlisted please contact technical services.

Product Specifications

Immunogen

This antibody was developed against a recombinant protein corresponding to amino acids: GSDKDKQQKGEFAIDGYSVRMNNTLRKDGKKDCCFEISAPDKRIYQFTAASPKDAEEWVQQLKFVLQDMESDIIPEDYDERGELYDDVDHPLPISNPLTSSQPIDDEIYEELPEEEEDSAPVKVEEQRKMSQDSVHHTSGD

Reactivity Notes

Immunogen displays the following percentage of sequence identity for non-tested species: Mouse (84%), Rat (82%)

Clonality

Polyclonal

Host

Rabbit

Isotype

IgG

Description

Novus Biologicals Rabbit SCAP2 Antibody - BSA Free (NBP2-47288) is a polyclonal antibody validated for use in IHC, WB and ICC/IF. All Novus Biologicals antibodies are covered by our 100% guarantee.

Scientific Data Images for SCAP2 Antibody - BSA Free

SCAP2 Antibody

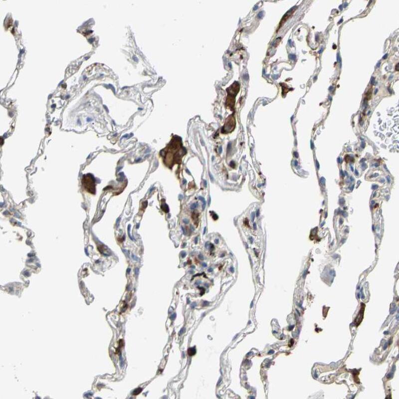
Immunohistochemistry: SCAP2 Antibody [NBP2-47288]

Immunohistochemistry: SCAP2 Antibody [NBP2-47288] - Immunohistochemistry analysis in human lung and pancreas tissues using NBP2-47288 antibody. Corresponding SKAP2 RNA-seq data are presented for the same tissues.
SCAP2 Antibody

Immunohistochemistry: SCAP2 Antibody [NBP2-47288]

Immunohistochemistry: SCAP2 Antibody [NBP2-47288] - Staining of human lymph node shows moderate cytoplasmic positivity in germinal center cells.
SCAP2 Antibody

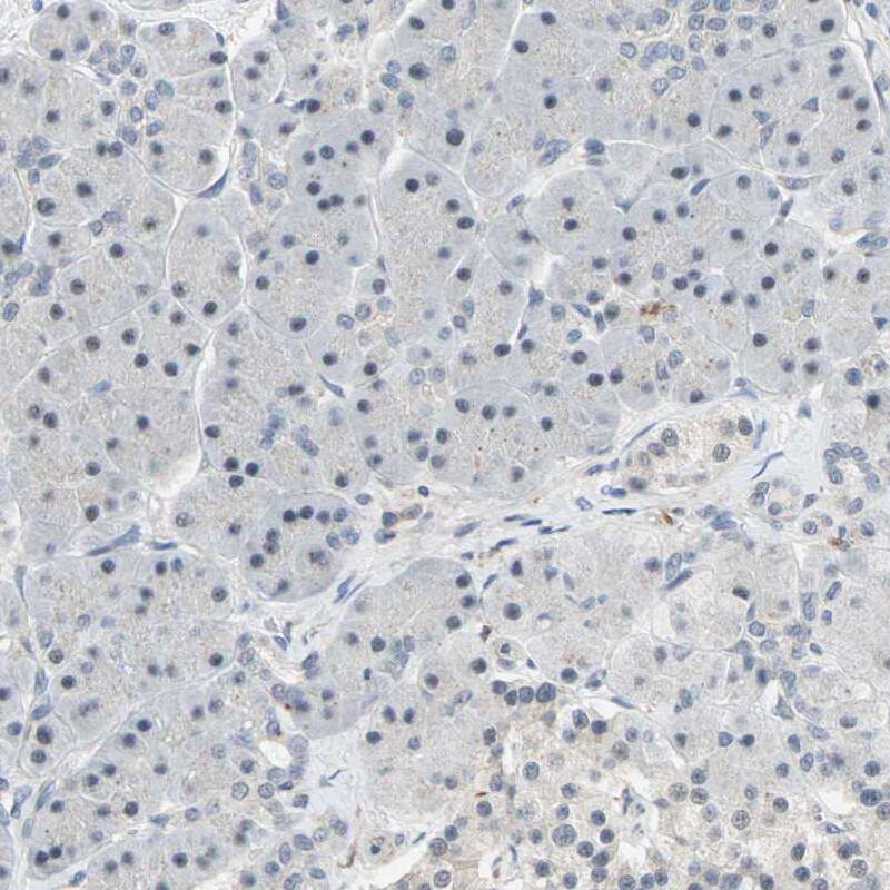
Immunohistochemistry: SCAP2 Antibody [NBP2-47288]

Immunohistochemistry: SCAP2 Antibody [NBP2-47288] - Staining of human pancreas shows no positivity in exocrine glandular cells as expected.

Applications for SCAP2 Antibody - BSA Free

Application
Recommended Usage

Immunocytochemistry/ Immunofluorescence

0.25-2 ug/ml

Immunohistochemistry

1:200 - 1:500

Immunohistochemistry-Paraffin

1:200 - 1:500

Western Blot

1.0 ug/ml
Application Notes
For IHC-Paraffin, HIER pH 6 retrieval is recommended. ICC/IF Fixation Permeabilization: Use PFA/Triton X-100.

Formulation, Preparation, and Storage

Purification

Immunogen affinity purified

Formulation

PBS (pH 7.2) and 40% Glycerol

Format

BSA Free

Preservative

0.02% Sodium Azide

Concentration

Concentrations vary lot to lot. See vial label for concentration. If unlisted please contact technical services.

Shipping

The product is shipped with polar packs. Upon receipt, store it immediately at the temperature recommended below.

Stability & Storage

Store at 4C short term. Aliquot and store at -20C long term. Avoid freeze-thaw cycles.

Background: SCAP2

SCAP2 is encoded by this gene belongs to the src family kinases. This protein is similar to the src kinase associated phosphoprotein 1. It is an adaptor protein that is thought to play an essential role in the src signaling pathway in various cells. It inhibits PTK2B/RAFTK activity and regulates alpha-synuclein phosphorylation.

Alternate Names

Fyn-associated phosphoprotein SKAP55 homologue, PRAP, RA70Pyk2/RAFTK-associated protein, Retinoic acid-induced protein 70, SAPSSKAP55 homolog, SCAP2MGC33304, SKAP55RSKAP-55HOM, SKAP-HOMMGC10411, src family associated phosphoprotein 2, Src family-associated phosphoprotein 2, src kinase associated phosphoprotein 2, src kinase-associated phosphoprotein 2, Src kinase-associated phosphoprotein 55-related protein, src kinase-associated phosphoprotein of 55-related protein, Src-associated adapter protein with PH and SH3 domains, src-associated adaptor protein

Gene Symbol

SKAP2

Additional SCAP2 Products

Product Documents for SCAP2 Antibody - BSA Free

Certificate of Analysis

To download a Certificate of Analysis, please enter a lot number in the search box below.

Product Specific Notices for SCAP2 Antibody - BSA Free

This product is for research use only and is not approved for use in humans or in clinical diagnosis. Primary Antibodies are guaranteed for 1 year from date of receipt.

Loading...
Loading...
Loading...
Loading...