Skip to main content

SCAP2 Antibody - BSA Free

Novus Biologicals, part of Bio-Techne | Catalog # NBP1-31033

Novus Biologicals, part of Bio-Techne
Catalog #
Availability
Size / Price
Qty
Loading...
NBP1-31033

Key Product Details

Species Reactivity

Validated:

Human

Predicted:

Rhesus Macaque (100%). Backed by our 100% Guarantee.

Applications

Immunohistochemistry, Immunohistochemistry-Paraffin, Western Blot, Immunocytochemistry/ Immunofluorescence

Label

Unconjugated

Antibody Source

Polyclonal Rabbit IgG

Format

BSA Free

Concentration

Concentrations vary lot to lot. See vial label for concentration. If unlisted please contact technical services.

Product Specifications

Immunogen

Carrier-protein conjugated synthetic peptide encompassing a sequence within the C-terminus region of human SCAP2. The exact sequence is proprietary.

Localization

Cytoplasm

Clonality

Polyclonal

Host

Rabbit

Isotype

IgG

Theoretical MW

41 kDa.
Disclaimer note: The observed molecular weight of the protein may vary from the listed predicted molecular weight due to post translational modifications, post translation cleavages, relative charges, and other experimental factors.

Description

Novus Biologicals Rabbit SCAP2 Antibody - BSA Free (NBP1-31033) is a polyclonal antibody validated for use in IHC, WB and ICC/IF. All Novus Biologicals antibodies are covered by our 100% guarantee.

Scientific Data Images for SCAP2 Antibody - BSA Free

Western Blot: SCAP2 Antibody [NBP1-31033]

Western Blot: SCAP2 Antibody [NBP1-31033]

Western Blot: SCAP2 Antibody [NBP1-31033] - Sample (30 ug of whole cell lysate) A: Hep G2 10% SDS PAGE SCAP2 antibody, antibody diluted at 1:1000.
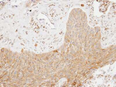
Immunohistochemistry-Paraffin: SCAP2 Antibody [NBP1-31033]

Immunohistochemistry-Paraffin: SCAP2 Antibody [NBP1-31033]

Immunohistochemistry-Paraffin: SCAP2 Antibody [NBP1-31033] - Paraffin-embedded lung ca, using antibody at 1:100 dilution.
SCAP2 Antibody - BSA Free

Immunocytochemistry/ Immunofluorescence: SCAP2 Antibody [NBP1-31033] -

SCAP2 antibody [C2C3], C-term detects SKAP2 protein at cytoplasm by immunofluorescent analysis.
Sample: HepG2 cells were fixed in 4% paraformaldehyde at RT for 15 min.
Green: SKAP2 protein stained by SCAP2 antibody [C2C3], C-term (NBP1-31033) diluted at 1:500.
Blue: Hoechst 33342 staining.

Applications for SCAP2 Antibody - BSA Free

Application
Recommended Usage

Immunocytochemistry/ Immunofluorescence

1:100-1:1000

Immunohistochemistry

1:100-1:1000

Immunohistochemistry-Paraffin

1:100-1:1000

Western Blot

1:500-1:3000

Formulation, Preparation, and Storage

Purification

Antigen Affinity-purified

Formulation

PBS, 10% Glycerol

Format

BSA Free

Preservative

0.01% Thimerosal

Concentration

Concentrations vary lot to lot. See vial label for concentration. If unlisted please contact technical services.

Shipping

The product is shipped with polar packs. Upon receipt, store it immediately at the temperature recommended below.

Stability & Storage

Aliquot and store at -20C or -80C. Avoid freeze-thaw cycles.

Background: SCAP2

The protein encoded by this gene belongs to the src family kinases. This protein is similar to the src kinase associated phosphoprotein 1. It is an adaptor protein that is thought to play an essential role in the src signaling pathway in various cells. It inhibits PTK2B/RAFTK activity and regulates alpha-synuclein phosphorylation.

Alternate Names

Fyn-associated phosphoprotein SKAP55 homologue, PRAP, RA70Pyk2/RAFTK-associated protein, Retinoic acid-induced protein 70, SAPSSKAP55 homolog, SCAP2MGC33304, SKAP55RSKAP-55HOM, SKAP-HOMMGC10411, src family associated phosphoprotein 2, Src family-associated phosphoprotein 2, src kinase associated phosphoprotein 2, src kinase-associated phosphoprotein 2, Src kinase-associated phosphoprotein 55-related protein, src kinase-associated phosphoprotein of 55-related protein, Src-associated adapter protein with PH and SH3 domains, src-associated adaptor protein

Gene Symbol

SKAP2

Additional SCAP2 Products

Product Documents for SCAP2 Antibody - BSA Free

Certificate of Analysis

To download a Certificate of Analysis, please enter a lot number in the search box below.

Product Specific Notices for SCAP2 Antibody - BSA Free

This product is for research use only and is not approved for use in humans or in clinical diagnosis. Primary Antibodies are guaranteed for 1 year from date of receipt.

Loading...
Loading...
Loading...
Loading...

⚠ WARNING: This product can expose you to chemicals including mercury, which is known to the State of California to cause reproductive toxicity with developmental effects.  For more information go to www.P65Warnings.ca.gov.