Skip to main content

SC35 Antibody - BSA Free

Novus Biologicals, part of Bio-Techne | Catalog # NBP3-12974

Novus Biologicals, part of Bio-Techne
Catalog #
Availability
Size / Price
Qty
Loading...
NBP3-12974

Key Product Details

Species Reactivity

Validated:

Human, Mouse

Predicted:

Bovine (100%), Chicken (100%), Chimpanzee (100%), Porcine (100%), Rat (100%), Rhesus Macaque (100%). Backed by our 100% Guarantee.

Applications

Immunohistochemistry, Immunohistochemistry-Paraffin, Western Blot

Label

Unconjugated

Antibody Source

Polyclonal Rabbit IgG

Format

BSA Free

Concentration

Concentrations vary lot to lot. See vial label for concentration. If unlisted please contact technical services.

Product Specifications

Immunogen

Carrier-protein conjugated synthetic peptide encompassing a sequence within the N-terminus region of human SC35. The exact sequence is proprietary.

Clonality

Polyclonal

Host

Rabbit

Isotype

IgG

Description

Centrifuge briefly prior to opening.

Scientific Data Images for SC35 Antibody - BSA Free

Western Blot: SC35 Antibody [NBP3-12974]

Western Blot: SC35 Antibody [NBP3-12974]

Western Blot: SC35 Antibody [NBP3-12974] - Whole cell extract (30 ug) was separated by 12% SDS-PAGE, and the membrane was blotted with SC35 antibody (NBP3-12974) diluted at 1:1000. The HRP-conjugated anti-rabbit IgG antibody (NBP2-19301) was used to detect the primary antibody, and the signal was developed with Trident ECL plus-Enhanced.
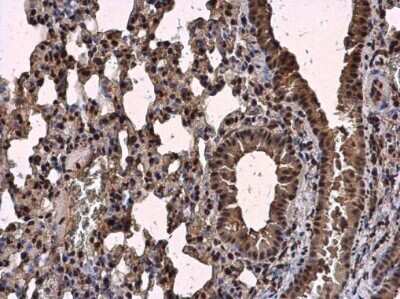
Immunohistochemistry-Paraffin: SC35 Antibody [NBP3-12974]

Immunohistochemistry-Paraffin: SC35 Antibody [NBP3-12974]

Immunohistochemistry-Paraffin: SC35 Antibody [NBP3-12974] - SRSF2 antibody detects SRSF2 protein at nucleus in mouse lung by immunohistochemical analysis. Sample: Paraffin-embedded mouse lung. SRSF2 antibody (NBP3-12974) diluted at 1:500. Antigen Retrieval: Citrate buffer, pH 6.0, 15 min
Western Blot: SC35 Antibody [NBP3-12974]

Western Blot: SC35 Antibody [NBP3-12974]

Western Blot: SC35 Antibody [NBP3-12974] - SRSF2 antibody detects SRSF2 protein by western blot analysis. Whole cell extracts (30 ug) was separated by 12% SDS-PAGE, and the membrane was blotted with SRSF2 antibody (NBP3-12974) diluted at 1:1000.

Applications for SC35 Antibody - BSA Free

Application
Recommended Usage

Immunohistochemistry

Optimal dilutions of this antibody should be experimentally determined.

Immunohistochemistry-Paraffin

Optimal dilutions of this antibody should be experimentally determined.

Western Blot

Optimal dilutions of this antibody should be experimentally determined.

Formulation, Preparation, and Storage

Purification

Antigen Affinity-purified

Formulation

PBS, 20% Glycerol

Format

BSA Free

Preservative

0.025% Proclin 300

Concentration

Concentrations vary lot to lot. See vial label for concentration. If unlisted please contact technical services.

Shipping

The product is shipped with polar packs. Upon receipt, store it immediately at the temperature recommended below.

Stability & Storage

Store at 4C short term. Aliquot and store at -20C long term. Avoid freeze-thaw cycles.

Background: SC35

SC35 is involved in pre-mRNA splicing and is found in the bodies in the nucleus referred to as speckles, SC 35 domains or splicing factor compartments (SFCs). The SC-35 clone is frequently used as a marker for these bodies, the role of which is controversial. Speckles correspond largely if not entirely to ultrastructures termed interchromatin granule clusters (IGCs). SC35 is excluded from the nucleolus.

Alternate Names

PR264, SC35, SC-35, serine/arginine-rich splicing factor 2, SFRS2, SFRS2A, splicing component, 35 kDa, splicing factor SC35, splicing factor, arginine/serine-rich 2, SR splicing factor 2, SRp30b

Gene Symbol

SRSF2

Additional SC35 Products

Product Documents for SC35 Antibody - BSA Free

Certificate of Analysis

To download a Certificate of Analysis, please enter a lot number in the search box below.

Product Specific Notices for SC35 Antibody - BSA Free

This product is for research use only and is not approved for use in humans or in clinical diagnosis. Primary Antibodies are guaranteed for 1 year from date of receipt.

Loading...
Loading...
Loading...
Loading...