Skip to main content

SC35 Antibody - BSA Free

Novus Biologicals, part of Bio-Techne | Catalog # NBP2-94309

Novus Biologicals, part of Bio-Techne
Catalog #
Availability
Size / Price
Qty
Loading...
NBP2-94309-0.02ml
NBP2-94309-0.1ml

Key Product Details

Species Reactivity

Human, Mouse, Rat

Applications

Immunohistochemistry, Immunohistochemistry-Paraffin, Western Blot

Label

Unconjugated

Antibody Source

Polyclonal Rabbit IgG

Format

BSA Free

Concentration

Please see the vial label for concentration. If unlisted please contact technical services.

Product Specifications

Immunogen

A synthetic peptide corresponding to a sequence within amino acids 1-100 of human SC35 (NP_001182356.1). MSYGRPPPDVEGMTSLKVDNLTYRTSPDTLRRVFEKYGRVGDVYIPRDRYTKESRGFAFVRFHDKRDAEDAMDAMDGAVLDGRELRVQMARYGRPPDSHH

Clonality

Polyclonal

Host

Rabbit

Isotype

IgG

Description

Novus Biologicals Rabbit SC35 Antibody - BSA Free (NBP2-94309) is a polyclonal antibody validated for use in IHC and WB. All Novus Biologicals antibodies are covered by our 100% guarantee.

Scientific Data Images for SC35 Antibody - BSA Free

Western Blot: SC35 AntibodyAzide and BSA Free [NBP2-94309]

Western Blot: SC35 AntibodyAzide and BSA Free [NBP2-94309]

Western Blot: SC35 Antibody [NBP2-94309] - Analysis of extracts of various cell lines, using SC35 at 1:1000 dilution. Secondary antibody: HRP Goat Anti-Rabbit IgG (H+L) at 1:10000 dilution. Lysates/proteins: 25ug per lane. Blocking buffer: 3% nonfat dry milk in TBST. Detection: ECL Basic Kit . Exposure time: 10s.
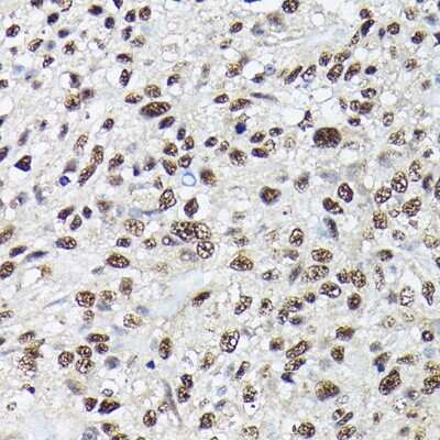
Immunohistochemistry-Paraffin: SC35 Antibody - Azide and BSA Free [NBP2-94309]

Immunohistochemistry-Paraffin: SC35 Antibody - Azide and BSA Free [NBP2-94309]

Immunohistochemistry-Paraffin: SC35 Antibody [NBP2-94309] - Immunohistochemistry of paraffin-embedded Human lung using SC35 antibody (NBP2-94309) at dilution of 1:100 (40x lens). Perform high pressure antigen retrieval with 10 mM citrate buffer pH 6.0 before commencing with IHC staining protocol.
Western Blot: SC35 AntibodyAzide and BSA Free [NBP2-94309]

Western Blot: SC35 AntibodyAzide and BSA Free [NBP2-94309]

Western Blot: SC35 Antibody [NBP2-94309] - Analysis of extracts of mouse lung, using SC35 .Exposure time: 90s.

Applications for SC35 Antibody - BSA Free

Application
Recommended Usage

Immunohistochemistry

1:50 - 1:200

Western Blot

1:500 - 1:2000

Formulation, Preparation, and Storage

Purification

Affinity purified

Formulation

PBS (pH 7.3), 50% glycerol

Format

BSA Free

Preservative

0.09% Sodium Azide

Concentration

Please see the vial label for concentration. If unlisted please contact technical services.

Shipping

The product is shipped with polar packs. Upon receipt, store it immediately at the temperature recommended below.

Stability & Storage

Store at -20C. Avoid freeze-thaw cycles.

Background: SC35

SC35 is involved in pre-mRNA splicing and is found in the bodies in the nucleus referred to as speckles, SC 35 domains or splicing factor compartments (SFCs). The SC-35 clone is frequently used as a marker for these bodies, the role of which is controversial. Speckles correspond largely if not entirely to ultrastructures termed interchromatin granule clusters (IGCs). SC35 is excluded from the nucleolus.

Alternate Names

PR264, SC35, SC-35, serine/arginine-rich splicing factor 2, SFRS2, SFRS2A, splicing component, 35 kDa, splicing factor SC35, splicing factor, arginine/serine-rich 2, SR splicing factor 2, SRp30b

Gene Symbol

SRSF2

Additional SC35 Products

Product Documents for SC35 Antibody - BSA Free

Certificate of Analysis

To download a Certificate of Analysis, please enter a lot number in the search box below.

Product Specific Notices for SC35 Antibody - BSA Free

This product is for research use only and is not approved for use in humans or in clinical diagnosis. Primary Antibodies are guaranteed for 1 year from date of receipt.

Loading...
Loading...
Loading...
Loading...

⚠ WARNING: This product can expose you to chemicals including Methotrexate, which is known to the State of California to cause reproductive toxicity with developmental effects. For more information, go to www.P65Warnings.ca.gov