Skip to main content

SBSN Antibody (SBSN/7964) - Azide and BSA Free

Novus Biologicals, part of Bio-Techne | Catalog # NBP3-20710

Novus Biologicals, part of Bio-Techne

Key Product Details

Species Reactivity

Human

Applications

Immunohistochemistry-Paraffin

Label

Unconjugated

Antibody Source

Monoclonal Mouse IgG Clone # SBSN/7964

Format

Azide and BSA Free

Concentration

1 mg/ml

Product Specifications

Immunogen

Recombinant fragment of human SBSN protein (exact sequence is proprietary)

Localization

Cytoplasm. Secreted.

Clonality

Monoclonal

Host

Mouse

Isotype

IgG

Description

Positive Controls: Human thymus, uterus or esophagus.

Antibody with azide - store at 2 to 8C. Antibody without azide - store at -20 to -80C. Non-hazardous. No MSDS required.

Scientific Data Images for SBSN Antibody (SBSN/7964) - Azide and BSA Free

SBSN Antibody (SBSN/7964) - Azide and BSA Free

SBSN Antibody (SBSN/7964)

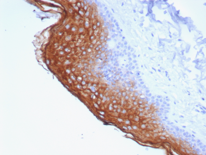
Formalin-fixed, paraffin-embedded human skin stained with SBSN antibody (SBSN/7964). HIER: Tris/EDTA, pH9.0, 45min. Secondary: HRP-polymer, 30min. DAB, 5min.
SBSN Antibody (SBSN/7964) - Azide and BSA Free

SBSN Antibody (SBSN/7964)

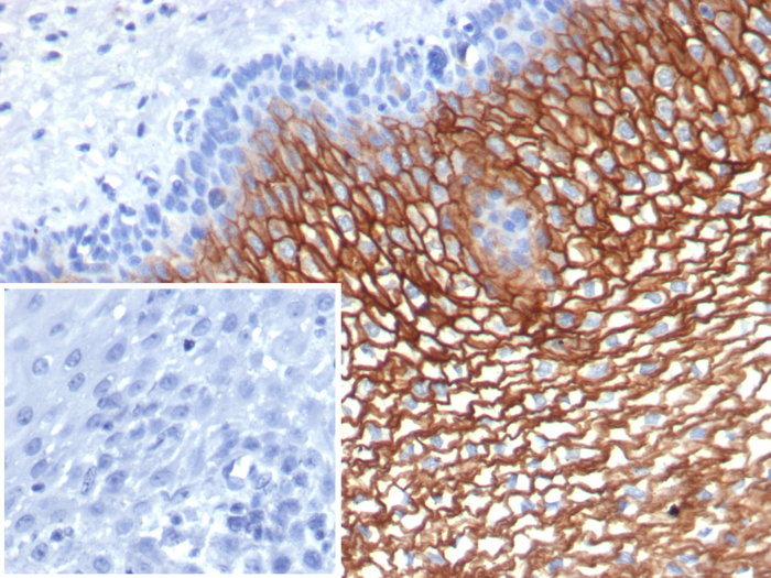
Formalin-fixed, paraffin-embedded human esophagus stained with SBSN antibody (SBSN/7964). Inset: PBS instead of primary antibody; secondary only negative control.
SBSN Antibody (SBSN/7964) - Azide and BSA Free

SBSN Antibody (SBSN/7964)

Formalin-fixed, paraffin-embedded human skin stained with SBSN antibody (SBSN/7964). HIER: Tris/EDTA, pH9.0, 45min. Secondary: HRP-polymer, 30min. DAB, 5min.

Applications for SBSN Antibody (SBSN/7964) - Azide and BSA Free

Application
Recommended Usage

Immunohistochemistry-Paraffin

1-2 ug/ml
Application Notes
Immunohistochemistry (Formalin-fixed): 1-2ug/ml for 30 minutes. at RT. Staining of formalin-fixed tissues requires heating tissue sections in 10mM Tris with 1mM EDTA, pH 9.0, for 45 min at 95C followed by cooling at RT for 20 minutes.

Optimal dilution for a specific application should be determined.

Formulation, Preparation, and Storage

Purification

Protein A or G purified

Formulation

10mM PBS

Format

Azide and BSA Free

Preservative

No Preservative

Concentration

1 mg/ml

Shipping

The product is shipped with polar packs. Upon receipt, store it immediately at the temperature recommended below.

Stability & Storage

Store at -20 to -70C. Avoid freeze-thaw cycles.

Background: SBSN

Alternate Names

HLAR698, MGC75533, suprabasin, UNQ698

Gene Symbol

SBSN

Additional SBSN Products

Product Documents for SBSN Antibody (SBSN/7964) - Azide and BSA Free

Certificate of Analysis

To download a Certificate of Analysis, please enter a lot number in the search box below.

Product Specific Notices for SBSN Antibody (SBSN/7964) - Azide and BSA Free

This product is for research use only and is not approved for use in humans or in clinical diagnosis. Primary Antibodies are guaranteed for 1 year from date of receipt.

Loading...
Loading...
Loading...
Loading...