Skip to main content

SARS-CoV-2 Spike S2 Subunit Antibody

R&D Systems, part of Bio-Techne | Catalog # MAB108891

Recombinant Monoclonal Antibody.
R&D Systems, part of Bio-Techne

Key Product Details

Species Reactivity

SARS-CoV-2

Applications

Immunohistochemistry, Western Blot, Immunocytochemistry

Label

Unconjugated

Antibody Source

Recombinant Monoclonal Rabbit IgG Clone # 2824E

Product Specifications

Immunogen

Chinese Hamster Ovary cell line, CHO-derived human SARS-CoV-2 Spike protein
Met1-Lys1211
Accession # YP_009724390.1

Specificity

Detects human SARS-CoV-2 spike S2 in direct ELISAs and Western Blot

Clonality

Monoclonal

Host

Rabbit

Isotype

IgG

Scientific Data Images for SARS-CoV-2 Spike S2 Subunit Antibody

Detection of SARS-CoV-2 Spike Protein by Western Blot.

Western blot shows recombinant SARS-CoV-2 spike protein. PVDF membrane was probed with 1 µg/mL of Rabbit Anti-SARS-CoV-2 Spike S2 Subunit Monoclonal Antibody (Catalog # MAB108891) followed by HRP-conjugated Anti-Rabbit IgG Secondary Antibody (HAF008). A specific band was detected for the Spike Protein at approximately 150-250 kDa (as indicated). This experiment was conducted under reducing conditions and using Western Blot Buffer Group 1.

Spike S2 Subunit in HEK293 Human Cell Line.

Spike S2 Subunit was detected in immersion fixed HEK293 human embryonic kidney cell line transfected using Rabbit Anti-SARS-CoV-2 Spike S2 Subunit Monoclonal Antibody (Catalog # MAB108891) at 3 µg/mL for 3 hours at room temperature. Cells were stained using the NorthernLights™ 557-conjugated Anti-Rabbit IgG Secondary Antibody (red; NL004) and counterstained with DAPI (blue). Specific staining was localized to cytoplasm. Staining was performed using our protocol for Fluorescent ICC Staining of Non-adherent Cells.

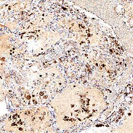
Spike S2 Subunit in SARS-CoV-2 infected human lung.

Spike S2 Subunit was detected in immersion fixed paraffin-embedded sections of SARS-CoV-2 infected human lung using Rabbit Anti-SARS-CoV-2 Spike S2 Subunit Monoclonal Antibody (Catalog # MAB108891) at 3 µg/mL for 1 hour at room temperature followed by incubation with the Anti-Rabbit IgG VisUCyte™ HRP Polymer Antibody (VC003). Before incubation with the primary antibody, tissue was subjected to heat-induced epitope retrieval using Antigen Retrieval Reagent-Basic (CTS013). Tissue was stained using DAB (brown) and counterstained with hematoxylin (blue). Specific staining was localized to immunoreactive profiles scattered throughout the tissue. Staining was performed using our protocol for IHC Staining with VisUCyte HRP Polymer Detection Reagents.

Applications for SARS-CoV-2 Spike S2 Subunit Antibody

Application
Recommended Usage

Immunocytochemistry

3-25 µg/mL
Sample: Immersion fixed HEK293 human embryonic kidney cell line transfected 

Immunohistochemistry

3-25 µg/mL
Sample: Immersion fixed paraffin-embedded sections of SARS-CoV-2 infected human lung

Western Blot

1 µg/mL
Sample: Recombinant SARS-CoV-2 spike protein

Formulation, Preparation, and Storage

Purification

Protein A or G purified from cell culture supernatant

Reconstitution

Reconstitute at 0.5 mg/mL in sterile PBS. For liquid material, refer to CoA for concentration.

Reconstitution Buffer Available:
Size / Price
Qty
Loading...

Formulation

Lyophilized from a 0.2 μm filtered solution in PBS with Trehalose. *Small pack size (SP) is supplied as a 0.2 µm filtered solution in PBS.

Shipping

Lyophilized product is shipped at ambient temperature. Liquid small pack size (-SP) is shipped with polar packs. Upon receipt, store immediately at the temperature recommended below.

Stability & Storage

Use a manual defrost freezer and avoid repeated freeze-thaw cycles.
  • 12 months from date of receipt, -20 to -70 °C as supplied.
  • 1 month, 2 to 8 °C under sterile conditions after reconstitution.
  • 6 months, -20 to -70 °C under sterile conditions after reconstitution.

Background: Spike S2 Subunit

SARS-CoV-2, which causes the global pandemic coronavirus disease 2019 (Covid-19), belongs to a family of viruses known as coronaviruses that are commonly comprised of four structural proteins: Spike protein(S), Envelope protein (E), Membrane protein (M), and Nucleocapsid protein (N) (1). SARS-CoV-2 Spike Protein (S Protein) is a glycoprotein that mediates membrane fusion and viral entry. The S protein is homotrimeric, with each ~180-kDa monomer consisting of two subunits, S1 and S2 (2). In SARS-CoV-2, as with most coronaviruses, proteolytic cleavage of the S protein into two distinct peptides, S1 and S2 subunits, is required for activation. The S1 subunit is focused on attachment of the protein to the host receptor while the S2 subunit is involved with cell fusion (3-5). Based on structural biology studies, the receptor binding domain (RBD), located in the C-terminal region of S1, can be oriented either in the up/standing or down/lying state (6). The standing state is associated with higher pathogenicity and both SARS-CoV-1 and MERS can access this state due to the flexibility in their respective RBDs. A similar two-state structure and flexibility is found in the SARS-CoV-2 RBD (7). Based on amino acid (aa) sequence homology, the SARS-CoV-2  S1 subunit has 65% identity with SARS-CoV-1 S1 subunit,  but only 22% homology with the MERS S1 subunit. The low aa sequence homology is consistent with the finding that SARS and MERS bind different cellular receptors (8). The S Protein of the SARS-CoV-2 virus, like the SARS-CoV-1 counterpart, binds Angiotensin-Converting Enzyme 2 (ACE2), but with much higher affinity and faster binding kinetics (9). Before binding to the ACE2 receptor, structural analysis of the S1 trimer shows that only one of the three RBD domains in the trimeric structure is in the "up" conformation. This is an unstable and transient state that passes between trimeric subunits but is nevertheless an exposed state to be targeted for neutralizing antibody therapy (10). Polyclonal antibodies to the RBD of the SARS-CoV-2 S1 subunit have been shown to inhibit interaction with the ACE2 receptor, confirming RBD as an attractive target for vaccinations or antiviral therapy (11). There is also promising work showing that the RBD may be used to detect presence of neutralizing antibodies present in a patient's bloodstream, consistent with developed immunity after exposure to the SARS-CoV-2 virus (12). Lastly, it has been demonstrated the S Protein can invade host cells through the CD147/EMMPRIN receptor and mediate membrane fusion (13, 14).

References

  1. Wu, F. et al. (2020) Nature 579:265.
  2. Tortorici, M.A. and D. Veesler (2019). Adv. Virus Res. 105:93.
  3. Bosch, B.J. et al. (2003) J. Virol. 77:8801.
  4. Belouzard, S. et al. (2009) Proc. Natl. Acad. Sci. 106:5871.
  5. Millet, J.K. and G. R. Whittaker (2015) Virus Res. 202:120.
  6. Yuan, Y. et al. (2017) Nat. Commun. 8:15092.
  7. Walls, A.C. et al. (2010) Cell 180:281.
  8. Jiang, S. et al. (2020) Trends. Immunol. https://doi.org/10.1016/j.it.2020.03.007.
  9. Ortega, J.T. et al. (2020) EXCLI J. 19:410.
  10. Wrapp, D. et al. (2020) Science 367:1260.
  11. Tai, W. et al. (2020) Cell. Mol. Immunol. https://doi.org/10.1016/j.it.2020.03.007.
  12. Okba, N. M. A. et al. (2020). Emerg. Infect. Dis. https://doi.org/10.3201/eid2607.200841.
  13. Wang, X. et al. (2020) https://doi.org/10.1038/s41423-020-0424-9.
  14. Wang, K. et al. (2020) bioRxiv https://www.biorxiv.org/content/10.1101/2020.03.14.988345v1.

Long Name

Spike Protein, S2 Subunit

Alternate Names

COVID-19, S2 protein, SARS-CoV-2, SARS-CoV-2 Spike, Spike glycoprotein Subunit 2, spike protein, Spike protein S2, structural protein, surface glycoprotein

UniProt

Additional Spike S2 Subunit Products

Product Documents for SARS-CoV-2 Spike S2 Subunit Antibody

Certificate of Analysis

To download a Certificate of Analysis, please enter a lot number in the search box below.

Note: Certificate of Analysis not available for kit components.

Product Specific Notices for SARS-CoV-2 Spike S2 Subunit Antibody

For research use only

Loading...
Loading...
Loading...
Loading...