Skip to main content

Key Product Details

Species Reactivity

SARS-CoV-2

Applications

Immunocytochemistry, Immunohistochemistry

Label

Unconjugated

Antibody Source

Monoclonal Mouse IgG1 Clone # 1044554

Product Specifications

Immunogen

Chinese hamster ovary cell line CHO-derived recombinant human SARS2-CoV-2 Envelope
Thr35-Val75
Accession # YP_009724392

Specificity

Detects human SARS2-CoV-2 Envelope in direct ELISAs.

Clonality

Monoclonal

Host

Mouse

Isotype

IgG1

Scientific Data Images for SARS-CoV-2 Envelope Antibody

SARS-CoV-2 Envelope in CHO Chinese hamster cell line transfected.

SARS-CoV-2 Envelope was detected in immersion fixed CHO Chinese hamster ovary cell line transfected (positive staining) and CHO Chinese hamster ovary cell line (non-transfected, negative staining) using Mouse Anti-SARS-CoV-2 Envelope Monoclonal Antibody (Catalog # MAB10925) at 8 µg/mL for 3 hours at room temperature. Cells were stained using the NorthernLights™ 557-conjugated Anti-Mouse IgG Secondary Antibody (red; NL007) and counterstained with DAPI (blue). Specific staining was localized to cytoplasm. Staining was performed using our protocol for Fluorescent ICC Staining of Non-adherent Cells.

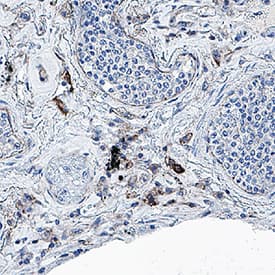
SARS-CoV-2 Envelope in SARS-CoV-2 infected human lung.

SARS-CoV-2 Envelope was detected in immersion fixed paraffin-embedded sections of SARS-CoV-2 infected human lung using Mouse Anti-SARS-CoV-2 Envelope Monoclonal Antibody (Catalog # MAB10925) at 5 µg/mL for 1 hour at room temperature followed by incubation with the Anti-Mouse IgG VisUCyte™ HRP Polymer Antibody (VC001). Before incubation with the primary antibody, tissue was subjected to heat-induced epitope retrieval using Antigen Retrieval Reagent-Basic (CTS013). Tissue was stained using DAB (brown) and counterstained with hematoxylin (blue). Specific staining was localized to immunoreactive profiles scattered throughout the tissue. Staining was performed using our protocol for IHC Staining with VisUCyte HRP Polymer Detection Reagents.

Applications for SARS-CoV-2 Envelope Antibody

Application
Recommended Usage

Immunocytochemistry

8-25 µg/mL
Sample: Immersion fixed CHO Chinese hamster ovary cell line transfected with SARS-CoV-2 E

Immunohistochemistry

5-25 µg/mL
Sample: Immersion fixed paraffin-embedded sections of SARS-CoV-2 infected human lung

Formulation, Preparation, and Storage

Purification

Protein A or G purified from hybridoma culture supernatant

Reconstitution

Reconstitute at 0.5 mg/mL in sterile PBS. For liquid material, refer to CoA for concentration.

Reconstitution Buffer Available:
Size / Price
Qty
Loading...

Formulation

Lyophilized from a 0.2 μm filtered solution in PBS with Trehalose. *Small pack size (SP) is supplied either lyophilized or as a 0.2 µm filtered solution in PBS.

Shipping

Lyophilized product is shipped at ambient temperature. Liquid small pack size (-SP) is shipped with polar packs. Upon receipt, store immediately at the temperature recommended below.

Stability & Storage

Use a manual defrost freezer and avoid repeated freeze-thaw cycles.
  • 12 months from date of receipt, -20 to -70 °C as supplied.
  • 1 month, 2 to 8 °C under sterile conditions after reconstitution.
  • 6 months, -20 to -70 °C under sterile conditions after reconstitution.

Background: Envelope

The SARS-CoV-2 Envelope protein is one of the four major structural proteins of severe acute respiratory syndrome coronavirus-2 (SARS-CoV-2), the causative agent of COVID-19 (1). The envelope protein is the smallest of the four structural proteins, which also includes the membrane protein, spike protein, and nucleocapsid protein (1, 2). The envelope protein is synthesized as a 75 amino acid protein with a theoretical molecular weight of approximately 8.4 kDa (2, 3). Furthermore, the envelope protein of SARS-CoV-2 has 94.7% sequence identity and 97.4% sequence similarity to the envelope protein of SARS-CoV (2). Structurally, the envelope protein is a membrane protein with a N-terminal domain, an alpha-helical transmembrane domain, and a hydrophilic C-terminal domain (1, 4). The envelope protein has multiple functions in viral replication including viral assembly, release, and pathogenesis (2, 4). Additionally, the SARS-CoV-2 envelope protein has ion channel activity and functions as a viroporin with a role in virion trafficking (2,4). Coronaviruses lacking the envelope protein are shown to have reduced viral titer and slowed or defective maturation, indicative of a role in virus production and growth (4).

References

  1. Malik, Y.A. (2020). Properties of Coronavirus and SARS-CoV-2. The Malaysian Journal of Pathology.
  2. Yoshimoto F.K. (2020) The Proteins of Severe Acute Respiratory Syndrome Coronavirus-2 (SARS CoV-2 or n-COV19), the Cause of COVID-19. The Protein Journal. https://doi.org/10.1007/s10930-020-09901-43.
  3. Uniprot (P0DTC4).
  4. J. Alsaadi, E.A., & Jones, I. M. (2019). Membrane binding proteins of coronaviruses. Future Virology. https://doi.org/10.2217/fvl-2018-0144.

Long Name

Envelope Protein

Alternate Names

E Protein

Entrez Gene IDs

43740570 (SARS-CoV-2)

Gene Symbol

E

UniProt

Additional Envelope Products

Product Documents for SARS-CoV-2 Envelope Antibody

Certificate of Analysis

To download a Certificate of Analysis, please enter a lot number in the search box below.

Note: Certificate of Analysis not available for kit components.

Product Specific Notices for SARS-CoV-2 Envelope Antibody

For research use only

Loading...
Loading...
Loading...
Loading...