Skip to main content

SARDH Antibody - BSA Free

Novus Biologicals, part of Bio-Techne | Catalog # NBP2-31668

Novus Biologicals, part of Bio-Techne
Catalog #
Availability
Size / Price
Qty
Loading...
NBP2-31668
NBP2-31668-25ul

Key Product Details

Species Reactivity

Human

Applications

Immunohistochemistry, Immunohistochemistry-Paraffin, Western Blot

Label

Unconjugated

Antibody Source

Polyclonal Rabbit IgG

Format

BSA Free

Concentration

Concentrations vary lot to lot. See vial label for concentration. If unlisted please contact technical services.

Product Specifications

Immunogen

This antibody was developed against a recombinant protein corresponding to amino acids: RERSHESYAKNYSVVFPHDEPLAGRNMRRDPLHEELLGQGCVFQERHGWERPGWFHPRGPAPVLEYDYYGAYGSRAHEDYAYRRLLADEYTFAFPPHHDTIKKEC

Reactivity Notes

Immunogen displays the following percentage of sequence identity for non-tested species: Mouse (84%), Rat (85%)

Clonality

Polyclonal

Host

Rabbit

Isotype

IgG

Description

Novus Biologicals Rabbit SARDH Antibody - BSA Free (NBP2-31668) is a polyclonal antibody validated for use in IHC and WB. All Novus Biologicals antibodies are covered by our 100% guarantee.

Scientific Data Images for SARDH Antibody - BSA Free

Western Blot: SARDH Antibody [NBP2-31668]

Western Blot: SARDH Antibody [NBP2-31668]

Western Blot: SARDH Antibody [NBP2-31668] - Lane 1: Marker [kDa] 250, 130, 95, 72, 55, 36, 28, 17, 10. Lane 2: Human cell line RT-4. Lane 3: Human cell line U-251MG sp. Lane 4: Human plasma (IgG/HSA depleted). Lane 5: Human liver tissue
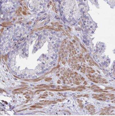
Immunohistochemistry-Paraffin: SARDH Antibody [NBP2-31668]

Immunohistochemistry-Paraffin: SARDH Antibody [NBP2-31668]

Immunohistochemistry-Paraffin: SARDH Antibody [NBP2-31668] - Staining of human prostate shows moderate cytoplasmic positivity in smooth muscle cells.
Immunohistochemistry-Paraffin: SARDH Antibody [NBP2-31668]

Immunohistochemistry-Paraffin: SARDH Antibody [NBP2-31668]

Immunohistochemistry-Paraffin: SARDH Antibody [NBP2-31668] - Staining of human kidney shows strong granular cytoplasmic positivity in cells in tubules.

Applications for SARDH Antibody - BSA Free

Application
Recommended Usage

Immunohistochemistry

1:500 - 1:1000

Immunohistochemistry-Paraffin

1:500 - 1:1000

Western Blot

0.04-0.4 ug/ml
Application Notes
For IHC-Paraffin, HIER pH 6 retrieval is recommended.

Formulation, Preparation, and Storage

Purification

Immunogen affinity purified

Formulation

PBS (pH 7.2) and 40% Glycerol

Format

BSA Free

Preservative

0.02% Sodium Azide

Concentration

Concentrations vary lot to lot. See vial label for concentration. If unlisted please contact technical services.

Shipping

The product is shipped with polar packs. Upon receipt, store it immediately at the temperature recommended below.

Stability & Storage

Store at 4C short term. Aliquot and store at -20C long term. Avoid freeze-thaw cycles.

Background: SARDH

Alternate Names

BPR-2, dimethylglycine dehydrogenase-like 1, DMGDHL1, FLJ36475, mitochondrial, SAR, sarcosine dehydrogenase, SARD, SDH

Gene Symbol

SARDH

UniProt

Additional SARDH Products

Product Documents for SARDH Antibody - BSA Free

Certificate of Analysis

To download a Certificate of Analysis, please enter a lot number in the search box below.

Product Specific Notices for SARDH Antibody - BSA Free

This product is for research use only and is not approved for use in humans or in clinical diagnosis. Primary Antibodies are guaranteed for 1 year from date of receipt.

Loading...
Loading...
Loading...
Loading...