Skip to main content

SAP102 Antibody - BSA Free

Novus Biologicals, part of Bio-Techne | Catalog # NBP3-35258

Novus Biologicals, part of Bio-Techne
Catalog #
Availability
Size / Price
Qty
Loading...
NBP3-35258-100ul
NBP3-35258-20ul

Key Product Details

Species Reactivity

Human, Mouse, Rat

Applications

ELISA, Immunohistochemistry, Immunohistochemistry-Paraffin, Western Blot

Label

Unconjugated

Antibody Source

Polyclonal Rabbit IgG

Format

BSA Free

Concentration

Please see the vial label for concentration. If unlisted please contact technical services.

Product Specifications

Immunogen

Recombinant fusion protein containing a sequence corresponding to amino acids 464-817 of human SAP102 (NP_066943.2).

Sequence:
QYRPEEYSRFESKIHDLREQMMNSSMSSGSGSLRTSEKRSLYVRALFDYDRTRDSCLPSQGLSFSYGDILHVINASDDEWWQARLVTPHGESEQIGVIPSKKRVEKKERARLKTVKFHARTGMIESNRDFPGLSDDYYGAKNLKGQEDAILSYEPVTRQEIHYARPVIILGPMKDRVNDDLISEFPHKFGSCVPHTTRPRRDNEVDGQDYHFVVSREQMEKDIQDNKFIEAGQFNDNLYGTSIQSVRAVAERGKHCILDVSGNAIKRLQQAQLYPIAIFIKPKSIEALMEMNRRQTYEQANKIYDKAMKLEQEFGEYFTAIVQGDSLEEIYNKIKQIIEDQSGHYIWVPSPEKL

Clonality

Polyclonal

Host

Rabbit

Isotype

IgG

Theoretical MW

90 kDa.
Disclaimer note: The observed molecular weight of the protein may vary from the listed predicted molecular weight due to post translational modifications, post translation cleavages, relative charges, and other experimental factors.

Description

Novus Biologicals Rabbit SAP102 Antibody - BSA Free (NBP3-35258) is a polyclonal antibody validated for use in IHC, WB and ELISA. All Novus Biologicals antibodies are covered by our 100% guarantee.

Scientific Data Images for SAP102 Antibody - BSA Free

SAP102 Antibody

Western Blot: SAP102 Antibody [NBP3-35258] -

Western Blot: SAP102 Antibody [NBP3-35258] - Western blot analysis of various lysates using SAP102at 1:1000 dilution.
Secondary antibody: HRP-conjugated Goat anti-Rabbit IgG (H+L) at 1:10000 dilution.
Lysates/proteins: 25ug per lane.
Blocking buffer: 3% nonfat dry milk in TBST.
Detection: ECL Basic Kit.
Exposure time: 1s.
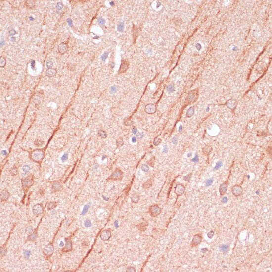
SAP102 Antibody

Immunohistochemistry: SAP102 Antibody [NBP3-35258] -

Immunohistochemistry: SAP102 Antibody [NBP3-35258] - Immunohistochemistry analysis of paraffin-embedded Rat brain using SAP102 Rabbit pAb at dilution of 1:100 (40x lens). Microwave antigen retrieval performed with 0.01M PBS Buffer (pH 7.2) prior to IHC staining.

Applications for SAP102 Antibody - BSA Free

Application
Recommended Usage

Immunohistochemistry-Paraffin

1:100 - 1:200

Western Blot

1:500 - 1:2000

Formulation, Preparation, and Storage

Purification

Affinity purified

Formulation

PBS (pH 7.3), 50% glycerol

Format

BSA Free

Preservative

0.01% Thimerosal

Concentration

Please see the vial label for concentration. If unlisted please contact technical services.

Shipping

The product is shipped with polar packs. Upon receipt, store it immediately at the temperature recommended below.

Stability & Storage

Store at -20C. Avoid freeze-thaw cycles.

Background: SAP102

Synapse-Associated Protein 102 (SAP102) is one of a family of plasma membrane-associated proteins found in synaptic junctions. Like other members of the family, SAP102 has three ~90 amino acid repeats called PDZ domains followed by an SH3 domain and a yeast guanylate kinase homology (GuK) domain. It is hypothesized that PDZ-domain interactions play a role in receptor and channel clustering which contributes to neuronal plasticity. SAP102 is believed to participate in the clustering of certain proteins, including NMDA receptors, shaker-type potassium channels at the synaptic membrane in CNS neurons. NMDA receptors and Shaker-type potassium channels both share C-terminal sequence homology consisting of a threonine/serine-X-valine-COOH (T/SXV) motif. Other neuronal proteins that share this motif (beta 1 adrenergic receptor, some serotonin receptors, some sodium channel subunits, and additional potassium channel subunits) may interact with SAP102 by binding to its PDZ domains. Neuronal nitric oxide synthase (nNOS), which lacks the T/SXV motif but which has its own PDZ domain, has been shown to associate with SAP102 in vitro through a pseudo-homotypic PDZ-PDZ interaction.

Alternate Names

discs, large homolog 3 (Drosophila), KIAA1232discs, large homolog 3 (neuroendocrine-dlg, Drosophila), MRX90MRX, NEDLGdisks large homolog 3, Neuroendocrine-DLG, SAP-102, SAP102NE-Dlg, Synapse-associated protein 102, XLMR

Gene Symbol

DLG3

Additional SAP102 Products

Product Documents for SAP102 Antibody - BSA Free

Certificate of Analysis

To download a Certificate of Analysis, please enter a lot number in the search box below.

Product Specific Notices for SAP102 Antibody - BSA Free

This product is for research use only and is not approved for use in humans or in clinical diagnosis. Primary Antibodies are guaranteed for 1 year from date of receipt.

Loading...
Loading...
Loading...
Loading...