Skip to main content

SAMD12 Antibody (OTI2G1) - Azide and BSA Free

Novus Biologicals, part of Bio-Techne | Catalog # NBP2-73974

Novus Biologicals, part of Bio-Techne

Key Product Details

Species Reactivity

Human, Mouse, Rat

Applications

Immunohistochemistry, Immunohistochemistry-Paraffin, Western Blot

Label

Unconjugated

Antibody Source

Monoclonal Mouse IgG2A Clone # OTI2G1

Format

Azide and BSA Free

Concentration

LYOPH mg/ml

Product Specifications

Immunogen

Full length human recombinant protein of human SAMD12(NP_997389) produced in E.coli.

Reactivity Notes

Please note that this antibody is reactive to Mouse and derived from the same host, Mouse. Mouse-On-Mouse blocking reagent may be needed for IHC and ICC experiments to reduce high background signal. You can find these reagents under catalog numbers PK-2200-NB and MP-2400-NB. Please contact Technical Support if you have any questions.

Clonality

Monoclonal

Host

Mouse

Isotype

IgG2A

Description

Novus Biologicals Mouse SAMD12 Antibody (OTI2G1) - Azide and BSA Free (NBP2-45684) is a monoclonal antibody validated for use in IHC and WB. All Novus Biologicals antibodies are covered by our 100% guarantee.

Scientific Data Images for SAMD12 Antibody (OTI2G1) - Azide and BSA Free

Western Blot: SAMD12 Antibody (OTI2G1)Azide and BSA Free [NBP2-73974]

Western Blot: SAMD12 Antibody (OTI2G1)Azide and BSA Free [NBP2-73974]

Western Blot: SAMD12 Antibody (OTI2G1) - Azide and BSA Free [NBP2-73974] - HEK293T cells were transfected with the pCMV6-ENTRY control (Left lane) or pCMV6-ENTRY SAMD12 (Right lane) cDNA for 48 hrs and lysed. Equivalent amounts of cell lysates (5 ug per lane) were separated by SDS-PAGE and immunoblotted with anti-SAMD1.
Immunohistochemistry: SAMD12 Antibody (OTI2G1) - Azide and BSA Free [NBP2-73974]

Immunohistochemistry: SAMD12 Antibody (OTI2G1) - Azide and BSA Free [NBP2-73974]

Immunohistochemistry: SAMD12 Antibody (OTI2G1) - Azide and BSA Free [NBP2-73974] - Staining of paraffin-embedded Human endometrium tissue within the normal limits using anti-SAMD12 mouse monoclonal antibody.
Immunohistochemistry: SAMD12 Antibody (OTI2G1) - Azide and BSA Free [NBP2-73974]

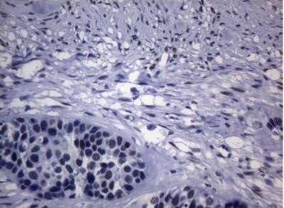
Immunohistochemistry: SAMD12 Antibody (OTI2G1) - Azide and BSA Free [NBP2-73974]

Immunohistochemistry: SAMD12 Antibody (OTI2G1) - Azide and BSA Free [NBP2-73974] - Staining of paraffin-embedded Carcinoma of Human kidney tissue using anti-SAMD12 mouse monoclonal antibody.

Applications for SAMD12 Antibody (OTI2G1) - Azide and BSA Free

Application
Recommended Usage

Immunohistochemistry

1:150

Western Blot

1:2000

Formulation, Preparation, and Storage

Purification

Immunogen affinity purified

Reconstitution

we recommend adding 100uL distilled water to a final antibody concentration of about 1 mg/mL. To use this carrier-free antibody for conjugation experiment, we strongly recommend performing another round of desalting process.

Formulation

Lyophilized from PBS (pH 7.3) with 8% Trehalose

Format

Azide and BSA Free

Preservative

No Preservative

Concentration

LYOPH mg/ml

Shipping

The product is shipped with polar packs. Upon receipt, store it immediately at the temperature recommended below.

Stability & Storage

Store at -20C. Avoid freeze-thaw cycles.

Background: SAMD12

Alternate Names

FLJ39458, MGC148139, MGC148140, SAM domain-containing protein 12, sterile alpha motif domain containing 12, sterile alpha motif domain-containing protein 12

Gene Symbol

SAMD12

Additional SAMD12 Products

Product Documents for SAMD12 Antibody (OTI2G1) - Azide and BSA Free

Certificate of Analysis

To download a Certificate of Analysis, please enter a lot number in the search box below.

Product Specific Notices for SAMD12 Antibody (OTI2G1) - Azide and BSA Free

This product is for research use only and is not approved for use in humans or in clinical diagnosis. Primary Antibodies are guaranteed for 1 year from date of receipt.

Loading...
Loading...
Loading...
Loading...
Loading...