Skip to main content

SALL4 Antibody - BSA Free

Novus Biologicals, part of Bio-Techne | Catalog # NBP1-84247

Novus Biologicals, part of Bio-Techne
Catalog #
Availability
Size / Price
Qty
Loading...
NBP1-84247
NBP1-84247-25ul

Key Product Details

Validated by

Independent Antibodies

Species Reactivity

Human

Applications

Immunohistochemistry, Immunohistochemistry-Paraffin, Western Blot, Immunocytochemistry/ Immunofluorescence

Label

Unconjugated

Antibody Source

Polyclonal Rabbit IgG

Format

BSA Free

Concentration

Concentrations vary lot to lot. See vial label for concentration. If unlisted please contact technical services.

Product Specifications

Immunogen

This antibody was developed against Recombinant Protein corresponding to amino acids: HALHSSGAGADTLKTLGSHMSQQVSAAVALLSQKAGSQGLSLDALKQAKLPHANIPSATSSLSPGLAPFTLKPDGTRVLPNVMSRLPSALLPQAPGSVLFQSPFSTVALDTSKKGKGKPPNISAVDVKPKDE

Clonality

Polyclonal

Host

Rabbit

Isotype

IgG

Scientific Data Images for SALL4 Antibody - BSA Free

Immunocytochemistry/ Immunofluorescence: SALL4 Antibody [NBP1-84247]

Immunocytochemistry/ Immunofluorescence: SALL4 Antibody [NBP1-84247]

Immunocytochemistry/Immunofluorescence: SALL4 Antibody [NBP1-84247] - Staining of human cell line CACO-2 shows localization to nucleoplasm. Antibody staining is shown in green.
Immunohistochemistry-Paraffin: SALL4 Antibody [NBP1-84247]

Immunohistochemistry-Paraffin: SALL4 Antibody [NBP1-84247]

Immunohistochemistry-Paraffin: SALL4 Antibody [NBP1-84247] - Staining of human colon shows no positivity in glandular cells as expected.
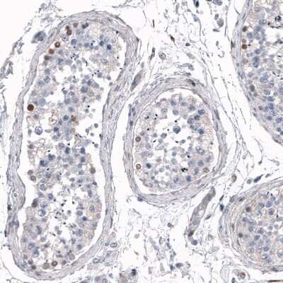
Immunohistochemistry-Paraffin: SALL4 Antibody [NBP1-84247]

Immunohistochemistry-Paraffin: SALL4 Antibody [NBP1-84247]

Immunohistochemistry-Paraffin: SALL4 Antibody [NBP1-84247] - Staining of human testis shows weak to moderate nuclear positivity in a subset of cells in seminiferous ducts.

Applications for SALL4 Antibody - BSA Free

Application
Recommended Usage

Immunocytochemistry/ Immunofluorescence

0.25-2 ug/ml

Immunohistochemistry

1:50 - 1:200

Immunohistochemistry-Paraffin

1:50 - 1:200

Western Blot

0.04-0.4 ug/ml
Application Notes
For IHC-Paraffin, HIER pH 6 retrieval is recommended. ICC/IF Fixation Permeabilization: Use PFA/Triton X-100.

Formulation, Preparation, and Storage

Purification

Affinity purified

Formulation

PBS (pH 7.2) and 40% Glycerol

Format

BSA Free

Preservative

0.02% Sodium Azide

Concentration

Concentrations vary lot to lot. See vial label for concentration. If unlisted please contact technical services.

Shipping

The product is shipped with polar packs. Upon receipt, store it immediately at the temperature recommended below.

Stability & Storage

Store at 4C short term. Aliquot and store at -20C long term. Avoid freeze-thaw cycles.

Background: SALL4

Sall4 is encoded by this gene may be a zinc finger transcription factor. Defects in this gene are a cause of Duane-radial ray syndrome (DRRS).

Long Name

Sal-like 4

Alternate Names

DRRS, HSAL4, ZNF797

Gene Symbol

SALL4

Additional SALL4 Products

Product Documents for SALL4 Antibody - BSA Free

Certificate of Analysis

To download a Certificate of Analysis, please enter a lot number in the search box below.

Product Specific Notices for SALL4 Antibody - BSA Free

This product is for research use only and is not approved for use in humans or in clinical diagnosis. Primary Antibodies are guaranteed for 1 year from date of receipt.

Loading...
Loading...
Loading...
Loading...