Skip to main content

SALL4 Antibody (A7A7-R)

Novus Biologicals, part of Bio-Techne | Catalog # NBP3-32927

Recombinant Monoclonal Antibody
Novus Biologicals, part of Bio-Techne
Catalog #
Availability
Size / Price
Qty
Loading...
NBP3-32927

Key Product Details

Species Reactivity

Human

Applications

Immunohistochemistry, Immunohistochemistry-Paraffin, Western Blot, Flow Cytometry, Immunocytochemistry/ Immunofluorescence

Label

Unconjugated

Antibody Source

Recombinant Monoclonal Mouse IgG1 Clone # A7A7-R expressed in HEK293

Concentration

1 mg/ml

Product Specifications

Immunogen

Recombinant protein within human SALL4 aa 904-1,053/1,053. (Uniprot: Q9UJQ4)

Localization

Cytoplasm, Nucleus.

Clonality

Monoclonal

Host

Mouse

Isotype

IgG1

Theoretical MW

112 kDa.
Disclaimer note: The observed molecular weight of the protein may vary from the listed predicted molecular weight due to post translational modifications, post translation cleavages, relative charges, and other experimental factors.

Description

Novus Biologicals Mouse SALL4 Antibody (A7A7-R) (NBP3-32927) is a recombinant monoclonal antibody validated for use in IHC, WB, Flow and ICC/IF. All Novus Biologicals antibodies are covered by our 100% guarantee.

Scientific Data Images for SALL4 Antibody (A7A7-R)

SALL4 Antibody (A7A7-R)

Western Blot: SALL4 Antibody (A7A7-R) [NBP3-32927]

Western Blot: SALL4 Antibody (A7A7-R) [NBP3-32927] - Western blot analysis of SALL4 on NCCIT cell lysates with Mouse anti-SALL4 antibody (NBP3-32927) at 1/2,000 dilution.

Predicted band size: 112 kDa, 20 ug/Lane
Observed band size: 140/110/75 kDa, 20 ug/Lane

Exposure time: 1 minute 26 seconds;

4-20% SDS-PAGE gel.

Proteins were transferred to a PVDF membrane and blocked with 5% NFDM/TBST for 1 hour at room temperature. The primary antibody (NBP3-32927) at 1/2,000 dilution was used in 5% NFDM/TBST at 4C overnight. Goat Anti-Mouse IgG - HRP Secondary Antibody at 1/50,000 dilution was used for 1 hour at room temperature.
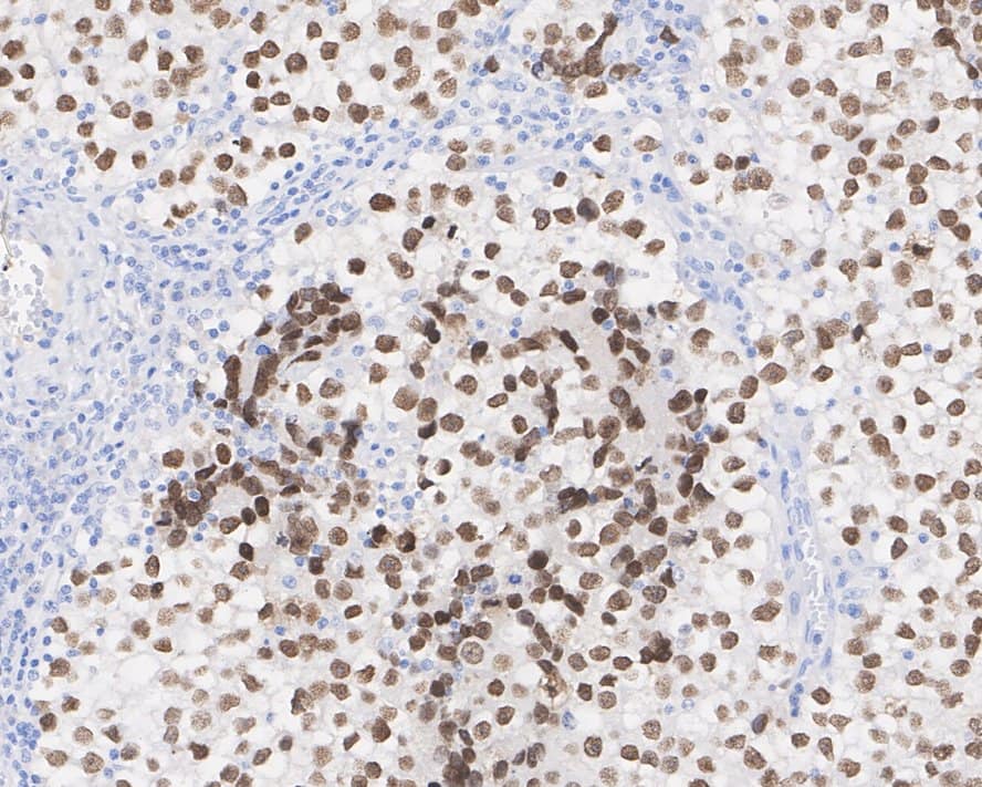
SALL4 Antibody (A7A7-R)

Immunohistochemistry: SALL4 Antibody (A7A7-R) [NBP3-32927]

Immunohistochemistry: SALL4 Antibody (A7A7-R) [NBP3-32927] - Immunohistochemical analysis of paraffin-embedded human seminoma tissue with Mouse anti-SALL4 antibody (NBP3-32927) at 1/2,000 dilution.

The section was pre-treated using heat mediated antigen retrieval with sodium citrate buffer (pH 6.0) for 2 minutes. The tissues were blocked in 1% BSA for 20 minutes at room temperature, washed with ddH2O and PBS, and then probed with the primary antibody (NBP3-32927) at 1/2,000 dilution for 1 hour at room temperature. The detection was performed using an HRP conjugated compact polymer system. DAB was used as the chromogen. Tissues were counterstained with hematoxylin and mounted with DPX.
SALL4 Antibody (A7A7-R)

Immunohistochemistry: SALL4 Antibody (A7A7-R) [NBP3-32927]

Immunohistochemistry: SALL4 Antibody (A7A7-R) [NBP3-32927] - Immunofluorescence analysis of paraffin-embedded human seminoma tissue labeling SALL4 with Mouse anti-SALL4 antibody (NBP3-32927) at 1/200 dilution.

The section was pre-treated using heat mediated antigen retrieval with sodium citrate buffer (pH 6.0) for 2 minutes. The tissues were blocked in 10% negative goat serum for 1 hour at room temperature, washed with PBS, and then probed with the primary antibody (NBP3-32927, green) at 1/200 dilution overnight at 4 ℃, washed with PBS. Goat Anti-Mouse IgG H&L (iFluor™ 488) was used as the secondary antibody at 1/1,000 dilution. Nuclei were counterstained with DAPI (blue).

Applications for SALL4 Antibody (A7A7-R)

Application
Recommended Usage

Flow Cytometry

1:1000

Immunocytochemistry/ Immunofluorescence

1:100

Immunohistochemistry-Paraffin

1:2000

Western Blot

1:2000

Formulation, Preparation, and Storage

Purification

Protein A purified

Formulation

PBS (pH7.4), 0.1% BSA and 40% Glycerol

Preservative

0.05% Sodium Azide

Concentration

1 mg/ml

Shipping

The product is shipped with polar packs. Upon receipt, store it immediately at the temperature recommended below.

Stability & Storage

Store at 4C short term. Aliquot and store at -20C long term. Avoid freeze-thaw cycles.

Background: SALL4

Sall4 is encoded by this gene may be a zinc finger transcription factor. Defects in this gene are a cause of Duane-radial ray syndrome (DRRS).

Long Name

Sal-like 4

Alternate Names

DRRS, HSAL4, ZNF797

Gene Symbol

SALL4

Additional SALL4 Products

Product Documents for SALL4 Antibody (A7A7-R)

Certificate of Analysis

To download a Certificate of Analysis, please enter a lot number in the search box below.

Product Specific Notices for SALL4 Antibody (A7A7-R)

This product is for research use only and is not approved for use in humans or in clinical diagnosis. Primary Antibodies are guaranteed for 1 year from date of receipt.

Loading...
Loading...
Loading...
Loading...
Loading...