S100A5 Antibody (S100A5/7474) - Azide and BSA Free
Novus Biologicals, part of Bio-Techne | Catalog # NBP3-24011
Conjugate
Catalog #
Key Product Details
Species Reactivity
Human
Applications
Immunohistochemistry-Paraffin
Label
Unconjugated
Antibody Source
Monoclonal Mouse IgG2a Kappa Clone # S100A5/7474
Format
Azide and BSA Free
Concentration
1 mg/ml
Product Specifications
Immunogen
Recombinant fragment (around aa1-92) of human S100A5 protein (exact sequence is proprietary)
Localization
Nucleus. Cytoplasm.
Clonality
Monoclonal
Host
Mouse
Isotype
IgG2a Kappa
Description
Antibody without azide - store at -20 to -80C.
Scientific Data Images for S100A5 Antibody (S100A5/7474) - Azide and BSA Free
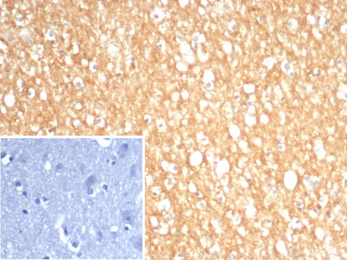
Immunohistochemistry-Paraffin: S100A5 Antibody (S100A5/7474) - Azide and BSA Free [NBP3-24011] -
Formalin-fixed, paraffin-embedded human brain stained with S100A5 antibody (S100A5/7474) - Azide and BSA Free. Inset: PBS instead of primary antibody; secondary only negative control.Immunohistochemistry-Paraffin: S100A5 Antibody (S100A5/7474) - Azide and BSA Free [NBP3-24011] -
Formalin-fixed, paraffin-embedded human brain stained with S100A5 antibody (S100A5/7474) - Azide and BSA Free. Inset: PBS instead of primary antibody; secondary only negative control.Applications for S100A5 Antibody (S100A5/7474) - Azide and BSA Free
Application
Recommended Usage
Immunohistochemistry-Paraffin
1-2ug/ml
Application Notes
Immunohistochemistry-Paraffin: 1-2ug/ml for 30 minutes at RT. Staining of formalin-fixed tissues requires heating tissue sections in 10mM Tris with 1mM EDTA, pH 9.0, for 45 min at 95C followed by cooling at RT for 20 minutes. Optimal dilution for a specific application should be determined.
Formulation, Preparation, and Storage
Purification
Protein A or G purified
Formulation
10mM PBS
Format
Azide and BSA Free
Preservative
No Preservative
Concentration
1 mg/ml
Shipping
The product is shipped with polar packs. Upon receipt, store it immediately at the temperature recommended below.
Stability & Storage
Store at -20 to -80C. Avoid freeze-thaw cycles.
Background: S100A5
Alternate Names
Protein S-100D, S100 calcium binding protein A5, S100 calcium-binding protein A5S100Dprotein S100-A5
Gene Symbol
S100A5
Additional S100A5 Products
Product Documents for S100A5 Antibody (S100A5/7474) - Azide and BSA Free
Product Specific Notices for S100A5 Antibody (S100A5/7474) - Azide and BSA Free
This product is for research use only and is not approved for use in humans or in clinical diagnosis. Primary Antibodies are guaranteed for 1 year from date of receipt.
Loading...
Loading...
Loading...
Loading...