Skip to main content

RUVBL2 Antibody - BSA Free

Novus Biologicals, part of Bio-Techne | Catalog # NBP1-33599

Novus Biologicals, part of Bio-Techne
Catalog #
Availability
Size / Price
Qty
Loading...
NBP1-33599

Key Product Details

Species Reactivity

Validated:

Human, Mouse

Predicted:

Rhesus Macaque (100%). Backed by our 100% Guarantee.

Applications

Immunohistochemistry, Immunohistochemistry-Paraffin, Western Blot, Immunocytochemistry/ Immunofluorescence, Immunoprecipitation

Label

Unconjugated

Antibody Source

Polyclonal Rabbit IgG

Format

BSA Free

Concentration

Concentrations vary lot to lot. See vial label for concentration. If unlisted please contact technical services.

Product Specifications

Immunogen

Recombinant protein encompassing a sequence within the center region of human RUVBL2. The exact sequence is proprietary.

Localization

Nucleus matrix, Nucleus, nucleoplasm, Cytoplasm, Membrane

Clonality

Polyclonal

Host

Rabbit

Isotype

IgG

Theoretical MW

51 kDa.
Disclaimer note: The observed molecular weight of the protein may vary from the listed predicted molecular weight due to post translational modifications, post translation cleavages, relative charges, and other experimental factors.

Description

Novus Biologicals Rabbit RUVBL2 Antibody - BSA Free (NBP1-33599) is a polyclonal antibody validated for use in IHC, WB, ICC/IF and IP. All Novus Biologicals antibodies are covered by our 100% guarantee.

Scientific Data Images for RUVBL2 Antibody - BSA Free

Western Blot: RUVBL2 Antibody [NBP1-33599]

Western Blot: RUVBL2 Antibody [NBP1-33599]

Western Blot: RUVBL2 Antibody [NBP1-33599] - Sample (30 ug of whole cell lysate) A: H1299 10% SDS PAGE; antibody diluted at 1:1000.
Immunocytochemistry/ Immunofluorescence: RUVBL2 Antibody [NBP1-33599]

Immunocytochemistry/ Immunofluorescence: RUVBL2 Antibody [NBP1-33599]

Immunocytochemistry/Immunofluorescence: RUVBL2 Antibody [NBP1-33599] - Paraformaldehyde-fixed A549, using antibody at 1:200 dilution.
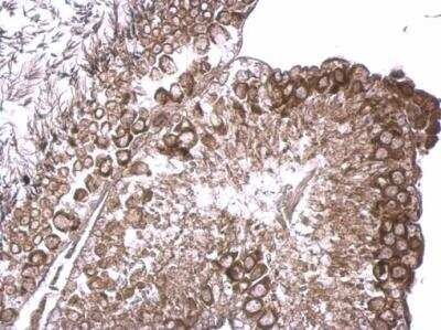
Immunohistochemistry-Paraffin: RUVBL2 Antibody [NBP1-33599]

Immunohistochemistry-Paraffin: RUVBL2 Antibody [NBP1-33599]

Immunohistochemistry-Paraffin: RUVBL2 Antibody [NBP1-33599] - Mouse testis.RUVBL2 antibody [N1C1] dilution: 1:500. Antigen Retrieval: Trilogy™ (EDTA based, pH 8.0) buffer, 15min.

Applications for RUVBL2 Antibody - BSA Free

Application
Recommended Usage

Immunocytochemistry/ Immunofluorescence

1:100-1:1000

Immunohistochemistry

1:100-1:1000

Immunohistochemistry-Paraffin

1:100-1:1000

Immunoprecipitation

1:100-1:500

Western Blot

1:500-1:3000

Formulation, Preparation, and Storage

Purification

Antigen Affinity-purified

Formulation

0.1M Tris, 0.1M Glycine, 10% Glycerol

Format

BSA Free

Preservative

0.01% Thimerosal

Concentration

Concentrations vary lot to lot. See vial label for concentration. If unlisted please contact technical services.

Shipping

The product is shipped with polar packs. Upon receipt, store it immediately at the temperature recommended below.

Stability & Storage

Aliquot and store at -20C or -80C. Avoid freeze-thaw cycles.

Background: RUVBL2

This gene encodes the second human homologue of the bacterial RuvB gene. Bacterial RuvB protein is a DNA helicase essential for homologous recombination and DNA double-strand break repair. Functional analysis showed that this gene product has both ATPase and DNA helicase activities. This gene is physically linked to the CGB/LHB gene cluster on chromosome 19q13.3, and is very close (55 nt) to the LHB gene, in the opposite orientation. [provided by RefSeq]

Alternate Names

48 kDa TATA box-binding protein-interacting protein, 51 kDa erythrocyte cytosolic protein, EC 3.6.1, EC 3.6.4.12,48 kDa TBP-interacting protein, ECP51TIP49B, erythrocyte cytosolic protein, 51-KD, INO80 complex subunit J, INO80JTAP54-beta, Repressing pontin 52, REPTIN, Reptin 52, Reptin52, RuvB (E coli homolog)-like 2, ruvB-like 2, RuvB-like 2 (E. coli), RVB2, TBP-interacting protein, 48-KD, TIH2, TIP48ECP-51, TIP49b, TIP60-associated protein 54-beta

Gene Symbol

RUVBL2

Additional RUVBL2 Products

Product Documents for RUVBL2 Antibody - BSA Free

Certificate of Analysis

To download a Certificate of Analysis, please enter a lot number in the search box below.

Product Specific Notices for RUVBL2 Antibody - BSA Free

This product is for research use only and is not approved for use in humans or in clinical diagnosis. Primary Antibodies are guaranteed for 1 year from date of receipt.

Loading...
Loading...
Loading...
Loading...

⚠ WARNING: This product can expose you to chemicals including mercury, which is known to the State of California to cause reproductive toxicity with developmental effects.  For more information go to www.P65Warnings.ca.gov.