Skip to main content

RTN3 Antibody - BSA Free

Novus Biologicals, part of Bio-Techne | Catalog # NBP1-88871

Novus Biologicals, part of Bio-Techne
Catalog #
Availability
Size / Price
Qty
Loading...
NBP1-88871
NBP1-88871-25ul

Key Product Details

Validated by

Independent Antibodies

Species Reactivity

Human

Applications

Immunocytochemistry/ Immunofluorescence, Immunohistochemistry, Immunohistochemistry-Paraffin

Label

Unconjugated

Antibody Source

Polyclonal Rabbit IgG

Format

BSA Free

Concentration

Concentrations vary lot to lot. See vial label for concentration. If unlisted please contact technical services.

Product Specifications

Immunogen

This antibody was developed against Recombinant Protein corresponding to amino acids: IMTSSFLSSSEIHNTGLTILHGEKSHVLGSQPILAKEGKDHLDLLDMKKMEKPQGTSNNVSDSSVSLAAGVHCDRPSIPASFPEHPAFLSKKIGQVEEQIDKETKNPNGVSSREAKTALDADDRFTLLTAQKPPTEY

Clonality

Polyclonal

Host

Rabbit

Isotype

IgG

Description

Novus Biologicals Rabbit RTN3 Antibody - BSA Free (NBP1-88871) is a polyclonal antibody validated for use in IHC and ICC/IF. All Novus Biologicals antibodies are covered by our 100% guarantee.

Scientific Data Images for RTN3 Antibody - BSA Free

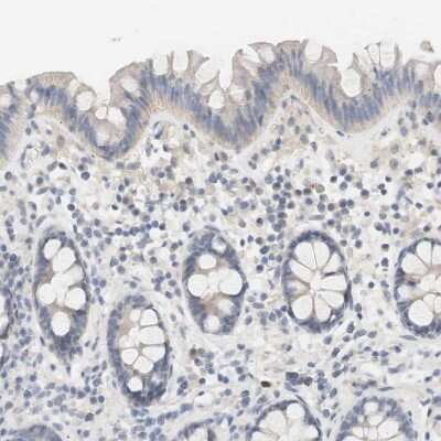
Immunohistochemistry-Paraffin: RTN3 Antibody [NBP1-88871]

Immunohistochemistry-Paraffin: RTN3 Antibody [NBP1-88871]

Immunohistochemistry-Paraffin: RTN3 Antibody [NBP1-88871] - Staining of human cerebral cortex, colon, liver and lymph node using Anti-RTN3 antibody (A) NBP1-88871 shows similar protein distribution across tissues to independent antibody NBP1-88870 (B).
Immunocytochemistry/ Immunofluorescence: RTN3 Antibody [NBP1-88871]

Immunocytochemistry/ Immunofluorescence: RTN3 Antibody [NBP1-88871]

Immunocytochemistry/Immunofluorescence: RTN3 Antibody [NBP1-88871] - Staining of human cell line U-2 OS shows localization to endoplasmic reticulum. Antibody staining is shown in green.
Immunohistochemistry-Paraffin: RTN3 Antibody [NBP1-88871]

Immunohistochemistry-Paraffin: RTN3 Antibody [NBP1-88871]

Immunohistochemistry-Paraffin: RTN3 Antibody [NBP1-88871] - Staining of human cerebral cortex shows strong cytoplasmic positivity in neurons.

Applications for RTN3 Antibody - BSA Free

Application
Recommended Usage

Immunocytochemistry/ Immunofluorescence

0.25-2 ug/ml

Immunohistochemistry

1:50 - 1:200

Immunohistochemistry-Paraffin

1:50 - 1:200
Application Notes
For IHC-Paraffin, HIER pH 6 retrieval is recommended. ICC/IF Fixation Permeabilization: Use PFA/Triton X-100.

Formulation, Preparation, and Storage

Purification

Immunogen affinity purified

Formulation

PBS (pH 7.2) and 40% Glycerol

Format

BSA Free

Preservative

0.02% Sodium Azide

Concentration

Concentrations vary lot to lot. See vial label for concentration. If unlisted please contact technical services.

Shipping

The product is shipped with polar packs. Upon receipt, store it immediately at the temperature recommended below.

Stability & Storage

Store at 4C short term. Aliquot and store at -20C long term. Avoid freeze-thaw cycles.

Background: RTN3

May be involved in membrane trafficking in the early secretory pathway. Inhibits BACE1 activity and amyloid precursor protein processing. May induce caspase-8 cascade and apoptosis. May favor BCL2 translocation to the mitochondria upon endoplasmic reticulum stress. In case of enteroviruses infection, RTN3 may be involved in the viral replication or pathogenesis. There are 5 isoforms.

Alternate Names

ASYIPASY interacting protein, HAP, isoforme III, isoforme VI, Neuroendocrine-specific protein-like 2, Neuroendocrine-specific protein-like II, NSPL2NSP-like protein II, NSPLIIhomolog of ASY protein, NSP-like protein 2, reticulon 3, reticulon-3, RTN3-A1

Gene Symbol

RTN3

Additional RTN3 Products

Product Documents for RTN3 Antibody - BSA Free

Certificate of Analysis

To download a Certificate of Analysis, please enter a lot number in the search box below.

Product Specific Notices for RTN3 Antibody - BSA Free

This product is for research use only and is not approved for use in humans or in clinical diagnosis. Primary Antibodies are guaranteed for 1 year from date of receipt.

Loading...
Loading...
Loading...
Loading...