Skip to main content

RTKN2 Antibody

Novus Biologicals, part of Bio-Techne | Catalog # NBP1-88748

Novus Biologicals, part of Bio-Techne
Catalog #
Availability
Size / Price
Qty
Loading...
NBP1-88748
NBP1-88748-25ul

Key Product Details

Validated by

Independent Antibodies

Species Reactivity

Human

Applications

Immunohistochemistry, Immunohistochemistry-Paraffin, Immunocytochemistry/ Immunofluorescence

Label

Unconjugated

Antibody Source

Polyclonal Rabbit

Concentration

Concentrations vary lot to lot. See vial label for concentration. If unlisted please contact technical services.

Product Specifications

Immunogen

This antibody was developed against Recombinant Protein corresponding to amino acids:GANVFDTDVVNVDKTITDICFENVTIFNEAGPDFQIKVEVYSCCTEESSITNTPKKLAKKLKTSISKATGKKISSVLQEEDDEMCLLLSSA

Reactivity Notes

Possible cross-reactivity based on sequence identity: Mouse (80%).

Clonality

Polyclonal

Host

Rabbit

Scientific Data Images for RTKN2 Antibody

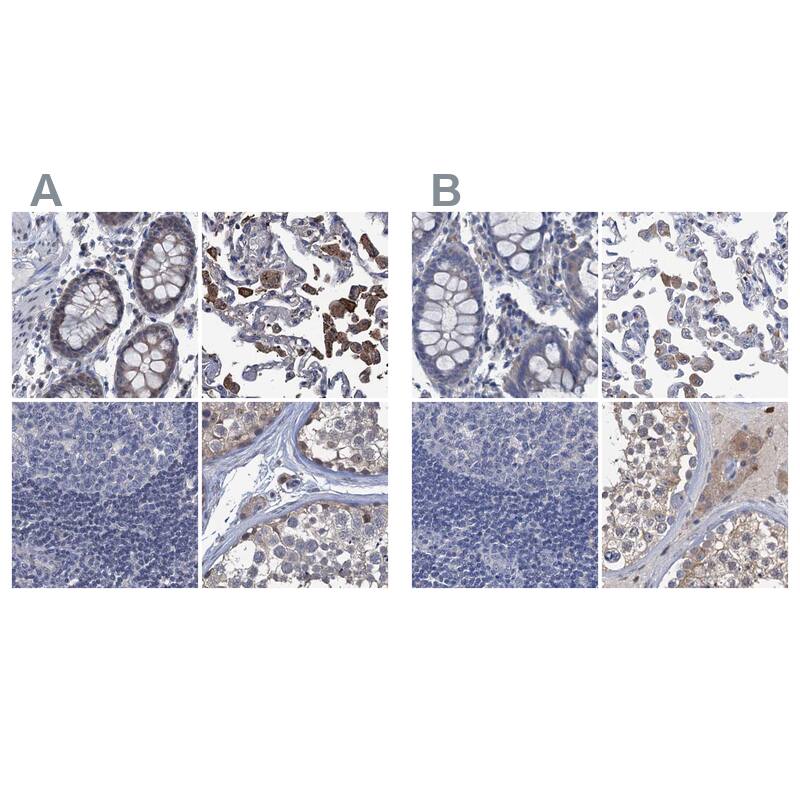
RTKN2 Antibody Immunohistochemistry-Paraffin: RTKN2 Antibody Antibody [NBP1-88748]

Immunohistochemistry-Paraffin: RTKN2 Antibody Antibody [NBP1-88748]

Staining of human colon, lung, lymph node and testis using NBP1-88748 (A) shows similar protein distribution across tissues to independent antibody NBP1-88747 (B).
RTKN2 Antibody Immunohistochemistry-Paraffin: RTKN2 Antibody [NBP1-88748]

Immunohistochemistry-Paraffin: RTKN2 Antibody [NBP1-88748]

Staining of human lymph node
RTKN2 Antibody Immunohistochemistry-Paraffin: RTKN2 Antibody [NBP1-88748]

Immunohistochemistry-Paraffin: RTKN2 Antibody [NBP1-88748]

Staining of human lung

Applications for RTKN2 Antibody

Application
Recommended Usage

Immunocytochemistry/ Immunofluorescence

0.25-2 ug/ml

Immunohistochemistry

1:50 - 1:200

Immunohistochemistry-Paraffin

1:50 - 1:200
Application Notes
For IHC-Paraffin, HIER pH 6 retrieval is recommended. Immunocytochemistry/Immunofluorescence Fixation Permeabilization: Use PFA/Triton X-100.

Formulation, Preparation, and Storage

Purification

Immunogen affinity purified

Formulation

PBS (pH 7.2) and 40% Glycerol

Preservative

0.02% Sodium Azide

Concentration

Concentrations vary lot to lot. See vial label for concentration. If unlisted please contact technical services.

Shipping

The product is shipped with polar packs. Upon receipt, store it immediately at the temperature recommended below.

Stability & Storage

Store at 4C short term. Aliquot and store at -20C long term. Avoid freeze-thaw cycles.

Background: RTKN2

RTKN2 may play an important role in lymphopoiesis

Alternate Names

bA531F24.1, DKFZp686J10120, Em:AC024597.2, FLJ39352, PH domain-containing family K member 1, pleckstrin homology domain containing, family K member 1, Pleckstrin homology domain-containing family K member 1, PLEKHK1, rhotekin 2, rhotekin-2

Entrez Gene IDs

219790 (Human)

Gene Symbol

RTKN2

UniProt

Additional RTKN2 Products

Product Documents for RTKN2 Antibody

Certificate of Analysis

To download a Certificate of Analysis, please enter a lot number in the search box below.

Product Specific Notices for RTKN2 Antibody

This product is for research use only and is not approved for use in humans or in clinical diagnosis. Primary Antibodies are guaranteed for 1 year from date of receipt.

Loading...
Loading...
Loading...
Loading...