Skip to main content

RTKN Antibody - BSA Free

Novus Biologicals, part of Bio-Techne | Catalog # NBP1-88956

Novus Biologicals, part of Bio-Techne
Catalog #
Availability
Size / Price
Qty
Loading...
NBP1-88956
NBP1-88956-25ul

Key Product Details

Species Reactivity

Human

Applications

Immunohistochemistry, Immunohistochemistry-Paraffin, Western Blot, Immunocytochemistry/ Immunofluorescence

Label

Unconjugated

Antibody Source

Polyclonal Rabbit IgG

Format

BSA Free

Concentration

Concentrations vary lot to lot. See vial label for concentration. If unlisted please contact technical services.

Product Specifications

Immunogen

This antibody was developed against Recombinant Protein corresponding to amino acids: MTQPTASGTLRVQQAGEMQNWAQVHGVLKGTNLFCYRQPEDADTGEEPLLTIAVNKETRVRAGELDQALGRPFTLSISNQYGDDEVTHTLQTESREALQSWMEALWQLFFDMSQWKQCC

Reactivity Notes

Immunogen displays the following percentage of sequence identity for non-tested species: Mouse (81%), Rat (80%)

Clonality

Polyclonal

Host

Rabbit

Isotype

IgG

Description

Novus Biologicals Rabbit RTKN Antibody - BSA Free (NBP1-88956) is a polyclonal antibody validated for use in IHC, WB and ICC/IF. All Novus Biologicals antibodies are covered by our 100% guarantee.

Scientific Data Images for RTKN Antibody - BSA Free

Western Blot: RTKN Antibody [NBP1-88956]

Western Blot: RTKN Antibody [NBP1-88956]

Western Blot: RTKN Antibody [NBP1-88956] - Lane 1: Marker [kDa] 230, 130, 95, 72, 56, 36, 28, 17, 11. Lane 2: Human cell line RT-4. Lane 3: Human cell line U-251MG sp
Immunocytochemistry/ Immunofluorescence: RTKN Antibody [NBP1-88956]

Immunocytochemistry/ Immunofluorescence: RTKN Antibody [NBP1-88956]

Immunocytochemistry/Immunofluorescence: RTKN Antibody [NBP1-88956] - Immunofluorescent staining of human cell line U-2 OS shows localization to nucleoplasm & mitochondria.
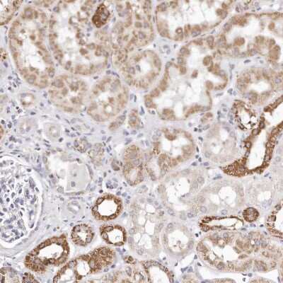
Immunohistochemistry-Paraffin: RTKN Antibody [NBP1-88956]

Immunohistochemistry-Paraffin: RTKN Antibody [NBP1-88956]

Immunohistochemistry-Paraffin: RTKN Antibody [NBP1-88956] - Staining of human kidney shows strong cytoplasmic positivity in cells in tubules.

Applications for RTKN Antibody - BSA Free

Application
Recommended Usage

Immunocytochemistry/ Immunofluorescence

0.25-2 ug/ml

Immunohistochemistry

1:200 - 1:500

Immunohistochemistry-Paraffin

1:200 - 1:500

Western Blot

0.04-0.4 ug/ml
Application Notes
For IHC-Paraffin, HIER pH 6 retrieval is recommended. Immunocytochemistry/Immunofluorescence Fixation Permeabilization: Use PFA/Triton X-100.

Formulation, Preparation, and Storage

Purification

Affinity purified

Formulation

PBS (pH 7.2) and 40% Glycerol

Format

BSA Free

Preservative

0.02% Sodium Azide

Concentration

Concentrations vary lot to lot. See vial label for concentration. If unlisted please contact technical services.

Shipping

The product is shipped with polar packs. Upon receipt, store it immediately at the temperature recommended below.

Stability & Storage

Store at 4C short term. Aliquot and store at -20C long term. Avoid freeze-thaw cycles.

Background: RTKN

The RTKN gene encodes a scaffold protein that interacts with GTP-bound Rho proteins. Binding of this protein inhibits the GTPase activity of Rho proteins. This protein may interfere with the conversion of active, GTP-bound Rho to the inactive GDP-bound form b

Alternate Names

B5, rhotekin, RTKN1

Gene Symbol

RTKN

Additional RTKN Products

Product Documents for RTKN Antibody - BSA Free

Certificate of Analysis

To download a Certificate of Analysis, please enter a lot number in the search box below.

Product Specific Notices for RTKN Antibody - BSA Free

This product is for research use only and is not approved for use in humans or in clinical diagnosis. Primary Antibodies are guaranteed for 1 year from date of receipt.

Loading...
Loading...
Loading...
Loading...