Skip to main content

RSU1 Antibody - BSA Free

Novus Biologicals, part of Bio-Techne | Catalog # NBP1-54879

Novus Biologicals, part of Bio-Techne
Catalog #
Availability
Size / Price
Qty
Loading...
NBP1-54879

Key Product Details

Species Reactivity

Human

Applications

Immunohistochemistry, Immunohistochemistry-Paraffin, Western Blot

Label

Unconjugated

Antibody Source

Polyclonal Rabbit IgG

Format

BSA Free

Concentration

1 mg/ml

Product Specifications

Immunogen

Synthetic peptides corresponding to RSU1(Ras suppressor protein 1) The peptide sequence was selected from the C terminal of RSU1. Peptide sequence PIADQFQLGVSHVFEYIRSETYKYLYGRHMQANPEPPKKNNDKSKKISRK. The peptide sequence for this immunogen was taken from within the described region.

Clonality

Polyclonal

Host

Rabbit

Isotype

IgG

Theoretical MW

31 kDa.
Disclaimer note: The observed molecular weight of the protein may vary from the listed predicted molecular weight due to post translational modifications, post translation cleavages, relative charges, and other experimental factors.

Description

The addition of 50% glycerol is optional for those storing this antibody at -20C and not aliquoting smaller units. However, please note that glycerol may interrupt some downstream antibody applications and should be added with caution.

Scientific Data Images for RSU1 Antibody - BSA Free

Western Blot: RSU1 Antibody [NBP1-54879]

Western Blot: RSU1 Antibody [NBP1-54879]

Western Blot: RSU1 Antibody [NBP1-54879] - Jurkat tissue lysate at a concentration of 1.25ug/ml.
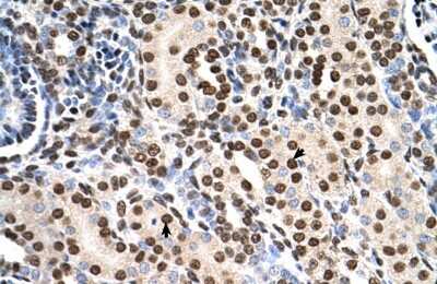
Immunohistochemistry-Paraffin: RSU1 Antibody [NBP1-54879]

Immunohistochemistry-Paraffin: RSU1 Antibody [NBP1-54879]

Immunohistochemistry-Paraffin: RSU1 Antibody [NBP1-54879] - Human kidney Tissue, antibody concentration 4-8ug/ml. Cells with positive label: renal corpuscle cells (indicated with arrows) 400X magnification.

Applications for RSU1 Antibody - BSA Free

Application
Recommended Usage

Immunohistochemistry

1:10-1:500

Immunohistochemistry-Paraffin

1:10-1:500

Western Blot

1.0 ug/ml

Formulation, Preparation, and Storage

Purification

Protein A purified

Formulation

PBS, 2% Sucrose

Format

BSA Free

Preservative

0.09% Sodium Azide

Concentration

1 mg/ml

Shipping

The product is shipped with polar packs. Upon receipt, store it immediately at the temperature recommended below.

Stability & Storage

Store at 4C short term. Aliquot and store at -20C long term. Avoid freeze-thaw cycles.

Background: RSU1

RSU1 is a protein that is involved in the Ras signal transduction pathway, growth inhibition, and nerve-growth factor induced differentiation processes, as determined in mouse and human cell line studies. In mouse, the protein was initially isolated based on its ability to inhibit v-Ras transformation.This gene encodes a protein that is involved in the Ras signal transduction pathway, growth inhibition, and nerve-growth factor induced differentiation processes, as determined in mouse and human cell line studies. In mouse, the encoded protein was initially isolated based on its ability to inhibit v-Ras transformation. Multiple alternatively spliced transcript variants for this gene have been reported; one of these variants was found only in glioma tumors.

Alternate Names

FLJ31034, Ras suppressor protein 1, ras suppressor protein 1 variant 1, ras suppressor protein 1 variant 2, RSP1, RSP-1ras suppressor protein 1 variant 3, rsu-1

Gene Symbol

RSU1

UniProt

Additional RSU1 Products

Product Documents for RSU1 Antibody - BSA Free

Certificate of Analysis

To download a Certificate of Analysis, please enter a lot number in the search box below.

Product Specific Notices for RSU1 Antibody - BSA Free

This product is for research use only and is not approved for use in humans or in clinical diagnosis. Primary Antibodies are guaranteed for 1 year from date of receipt.

Loading...
Loading...
Loading...
Loading...