RRBP1 Antibody - BSA Free
Novus Biologicals, part of Bio-Techne | Catalog # NBP1-83958
Key Product Details
Validated by
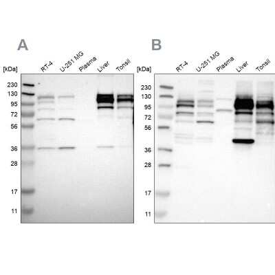
Orthogonal Validation, Independent Antibodies
Species Reactivity
Human
Applications
Immunohistochemistry, Immunohistochemistry-Paraffin, Western Blot, Immunocytochemistry/ Immunofluorescence
Label
Unconjugated
Antibody Source
Polyclonal Rabbit IgG
Format
BSA Free
Concentration
Concentrations vary lot to lot. See vial label for concentration. If unlisted please contact technical services.
Product Specifications
Immunogen
This antibody was developed against Recombinant Protein corresponding to amino acids: QLCLIEAQTMEALLALLPELSVLAQQNYTEWLQDLKEKGPTLLKHPPAPAEPSSDLASKLREAEETQSTLQAECDQYRSILAETEGMLRDLQKSVEEEEQVWRAKVGAAEEELQKSRVTVKHLE
Clonality
Polyclonal
Host
Rabbit
Isotype
IgG
Description
Novus Biologicals Rabbit RRBP1 Antibody - BSA Free (NBP1-83958) is a polyclonal antibody validated for use in IHC, WB and ICC/IF. All Novus Biologicals antibodies are covered by our 100% guarantee.
Scientific Data Images for RRBP1 Antibody - BSA Free
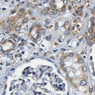
Immunohistochemistry-Paraffin: RRBP1 Antibody [NBP1-83958]
Immunohistochemistry-Paraffin: RRBP1 Antibody [NBP1-83958] - Staining of human colon, kidney, lymph node and placenta using Anti-RRBP1 antibody NBP1-83958 (A) shows similar protein distribution across tissues to independent antibody NBP1-83957 (B).Applications for RRBP1 Antibody - BSA Free
Application
Recommended Usage
Immunocytochemistry/ Immunofluorescence
0.25-2 ug/ml
Immunohistochemistry
1:50 - 1:200
Immunohistochemistry-Paraffin
1:50 - 1:200
Western Blot
0.04-0.4 ug/ml
Application Notes
For IHC-Paraffin, HIER pH 6 retrieval is recommended. ICC/IF Fixation Permeabilization: PFA/Triton X-100
Formulation, Preparation, and Storage
Purification
Affinity purified
Formulation
PBS (pH 7.2) and 40% Glycerol
Format
BSA Free
Preservative
0.02% Sodium Azide
Concentration
Concentrations vary lot to lot. See vial label for concentration. If unlisted please contact technical services.
Shipping
The product is shipped with polar packs. Upon receipt, store it immediately at the temperature recommended below.
Stability & Storage
Store at 4C short term. Aliquot and store at -20C long term. Avoid freeze-thaw cycles.
Background: RRBP1
Alternate Names
180 kDa ribosome receptor homolog, DKFZp586A1420, ES/130, ES/130-related protein, ES130, FLJ36146, hES, KIAA1398, MGC157720, MGC157721, ribosome binding protein 1 (dog 180kD homolog), ribosome binding protein 1 homolog 180kDa (dog), Ribosome receptor protein, ribosome-binding protein 1, RRp
Entrez Gene IDs
6238 (Human)
Gene Symbol
RRBP1
UniProt
Additional RRBP1 Products
Product Documents for RRBP1 Antibody - BSA Free
Product Specific Notices for RRBP1 Antibody - BSA Free
This product is for research use only and is not approved for use in humans or in clinical diagnosis. Primary Antibodies are guaranteed for 1 year from date of receipt.
Loading...
Loading...
Loading...
Loading...