Skip to main content

RPTOR Antibody (1B10) - BSA Free

Novus Biologicals, part of Bio-Techne | Catalog # NBP3-15202

Recombinant Monoclonal Antibody
Novus Biologicals, part of Bio-Techne
Catalog #
Availability
Size / Price
Qty
Loading...
NBP3-15202

Key Product Details

Species Reactivity

Human

Applications

Immunohistochemistry, ELISA

Label

Unconjugated

Antibody Source

Recombinant Monoclonal Rabbit IgG Clone # 1B10 expressed in HEK293

Format

BSA Free

Concentration

Please see the vial label for concentration. If unlisted please contact technical services.

Product Specifications

Immunogen

A synthesized peptide derived from human Raptor. UniProt ID (Q8N122).

Clonality

Monoclonal

Host

Rabbit

Isotype

IgG

Description

Novus Biologicals Rabbit RPTOR Antibody (1B10) - BSA Free (NBP3-15202) is a recombinant monoclonal antibody validated for use in IHC and ELISA. All Novus Biologicals antibodies are covered by our 100% guarantee.

Scientific Data Images for RPTOR Antibody (1B10) - BSA Free

Immunohistochemistry: RPTOR Antibody (1B10) [NBP3-15202]

Immunohistochemistry: RPTOR Antibody (1B10) [NBP3-15202]

Immunohistochemistry: RPTOR Antibody (1B10) [NBP3-15202] - IHC image of RPTOR antibody diluted at 1:100 and staining in paraffin-embedded human small intestine tissue. After dewaxing and hydration, antigen retrieval was mediated by high pressure in a citrate buffer (pH 6.0). Section was blocked with 10% normal goat serum 30 minutes at RT. Then primary antibody (1% BSA) was incubated at 4C overnight. The primary is detected by a Goat anti-rabbit IgG polymer labeled by HRP and visualized using 0.05% DAB.
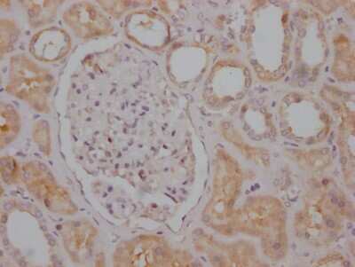
Immunohistochemistry: RPTOR Antibody (1B10) [NBP3-15202]

Immunohistochemistry: RPTOR Antibody (1B10) [NBP3-15202]

Immunohistochemistry: RPTOR Antibody (1B10) [NBP3-15202] - IHC image of RPTOR antibody diluted at 1:100 and staining in paraffin-embedded human kidney tissue. After dewaxing and hydration, antigen retrieval was mediated by high pressure in a citrate buffer (pH 6.0). Section was blocked with 10% normal goat serum 30 minutes at RT. Then primary antibody (1% BSA) was incubated at 4C overnight. The primary is detected by a Goat anti-rabbit IgG polymer labeled by HRP and visualized using 0.05% DAB.

Applications for RPTOR Antibody (1B10) - BSA Free

Application
Recommended Usage

Immunohistochemistry

1:50-1:200

Formulation, Preparation, and Storage

Purification

Affinity purified

Formulation

PBS, pH 7.4, 150mM NaCl, and 50% glycerol

Format

BSA Free

Preservative

0.02% Sodium Azide

Concentration

Please see the vial label for concentration. If unlisted please contact technical services.

Shipping

The product is shipped with polar packs. Upon receipt, store it immediately at the temperature recommended below.

Stability & Storage

Store at -20 to -70C. Avoid freeze-thaw cycles.

Background: RPTOR

Raptor (regulatory associated protein of TOR) is a conserved 150 kDa adaptor protein composed of a unique conserved region, three HEAT repeats and seven WD-40 repeats (1). Raptor recruits mTOR substrates S6K1 (p70 S6 kinase) and 4E-BP1, and regulates mTOR kinase activity (2-3). Even though Raptor is a positive regulator of mTOR, it has been shown that under nutrient deprivation, the Raptor-mTOR association is stabilized in a manner that inhibits mTOR kinase activity (1). Raptor association with mTOR is required for efficient S6K1 and 4E0BP1 phosphorylation (4).

Long Name

Regulatory Associated Protein of mTOR

Alternate Names

KIAA1303, Raptor

Gene Symbol

RPTOR

Additional RPTOR Products

Product Documents for RPTOR Antibody (1B10) - BSA Free

Certificate of Analysis

To download a Certificate of Analysis, please enter a lot number in the search box below.

Product Specific Notices for RPTOR Antibody (1B10) - BSA Free

This product is for research use only and is not approved for use in humans or in clinical diagnosis. Primary Antibodies are guaranteed for 1 year from date of receipt.

Loading...
Loading...
Loading...
Loading...