Skip to main content

RPS6KC1 Antibody (OTI10F11)

Novus Biologicals, part of Bio-Techne | Catalog # NBP2-45635

Novus Biologicals, part of Bio-Techne
Catalog #
Availability
Size / Price
Qty
Loading...
NBP2-45635

Key Product Details

Species Reactivity

Human

Applications

Immunohistochemistry, Immunohistochemistry-Paraffin, Western Blot

Label

Unconjugated

Antibody Source

Monoclonal Mouse IgG1 Clone # OTI10F11

Concentration

1 mg/ml

Product Specifications

Immunogen

Human recombinant protein fragment corresponding to amino acids 1-305 of human RPS6KC1(NP_036556) produced in E.coli.

Clonality

Monoclonal

Host

Mouse

Isotype

IgG1

Theoretical MW

118.5 kDa.
Disclaimer note: The observed molecular weight of the protein may vary from the listed predicted molecular weight due to post translational modifications, post translation cleavages, relative charges, and other experimental factors.

Description

Novus Biologicals Mouse RPS6KC1 Antibody (OTI10F11) (NBP2-45635) is a monoclonal antibody validated for use in IHC and WB. All Novus Biologicals antibodies are covered by our 100% guarantee.

Scientific Data Images for RPS6KC1 Antibody (OTI10F11)

Western Blot: RPS6KC1 Antibody (OTI10F11) [NBP2-45635]

Western Blot: RPS6KC1 Antibody (OTI10F11) [NBP2-45635]

Western Blot: RPS6KC1 Antibody (OTI10F11) [NBP2-45635] - HEK293T cells were transfected with the pCMV6-ENTRY control (Left lane) or pCMV6-ENTRY RPS6KC1 (Right lane) cDNA for 48 hrs and lysed. Equivalent amounts of cell lysates (5 ug per lane) were separated by SDS-PAGE and immunoblotted with anti-RPS6.
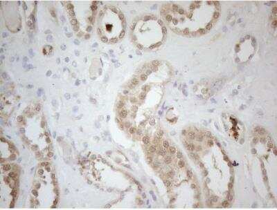
Immunohistochemistry-Paraffin: RPS6KC1 Antibody (OTI10F11) [NBP2-45635]

Immunohistochemistry-Paraffin: RPS6KC1 Antibody (OTI10F11) [NBP2-45635]

Immunohistochemistry-Paraffin: RPS6KC1 Antibody (OTI10F11) [NBP2-45635] - Staining of paraffin-embedded Human Kidney tissue using anti-RPS6KC1 mouse monoclonal antibody.

Applications for RPS6KC1 Antibody (OTI10F11)

Application
Recommended Usage

Immunohistochemistry

1:150

Western Blot

1:2000

Formulation, Preparation, and Storage

Purification

Immunogen affinity purified

Formulation

PBS (pH 7.3), 1.0% BSA and 50% Glycerol

Preservative

0.02% Sodium Azide

Concentration

1 mg/ml

Shipping

The product is shipped with polar packs. Upon receipt, store it immediately at the temperature recommended below.

Stability & Storage

Store at -20C. Avoid freeze-thaw cycles.

Background: RPS6KC1

RPS6KC1 - ribosomal protein S6 kinase, 52kDa, polypeptide 1

Alternate Names

EC 2.7.11.1, humS6PKh1, ribosomal protein S6 kinase delta-1, ribosomal protein S6 kinase, 52kD, polypeptide 1,52 kDa ribosomal protein S6 kinase, ribosomal protein S6 kinase, 52kDa, polypeptide 1, Ribosomal S6 kinase-like protein with two PSK domains 118 kDa protein, RPK118, S6K-delta-1, SPHK1-binding protein

Gene Symbol

RPS6KC1

Additional RPS6KC1 Products

Product Documents for RPS6KC1 Antibody (OTI10F11)

Certificate of Analysis

To download a Certificate of Analysis, please enter a lot number in the search box below.

Product Specific Notices for RPS6KC1 Antibody (OTI10F11)

This product is for research use only and is not approved for use in humans or in clinical diagnosis. Primary Antibodies are guaranteed for 1 year from date of receipt.

Loading...
Loading...
Loading...
Loading...