Skip to main content

RPL38 Antibody - BSA Free

Novus Biologicals, part of Bio-Techne | Catalog # NBP3-46673

Novus Biologicals, part of Bio-Techne
Catalog #
Availability
Size / Price
Qty
Loading...
NBP3-46673

Key Product Details

Species Reactivity

Human, Mouse, Rat

Applications

ELISA, Immunocytochemistry/ Immunofluorescence, Immunohistochemistry, Western Blot

Label

Unconjugated

Antibody Source

Polyclonal Rabbit IgG

Format

BSA Free

Concentration

Please see the vial label for concentration. If unlisted please contact technical services.

Product Specifications

Immunogen

ribosomal protein L38. (Uniprot# P63173)

Clonality

Polyclonal

Host

Rabbit

Isotype

IgG

Theoretical MW

8 kDa.
Disclaimer note: The observed molecular weight of the protein may vary from the listed predicted molecular weight due to post translational modifications, post translation cleavages, relative charges, and other experimental factors.

Description

Novus Biologicals Rabbit RPL38 Antibody - BSA Free (NBP3-46673) is a polyclonal antibody validated for use in IHC, WB, ELISA and ICC/IF. All Novus Biologicals antibodies are covered by our 100% guarantee.

Scientific Data Images for RPL38 Antibody - BSA Free

RPL38 Antibody - BSA Free

Western Blot: RPL38 Antibody - BSA Free [NBP3-46673] -

Western Blot: RPL38 Antibody - BSA Free [NBP3-46673] - HeLa cells were subjected to SDS PAGE followed by western blot with (RPL38 antibody) at dilution of 1:500
RPL38 Antibody - BSA Free

Immunocytochemistry/ Immunofluorescence: RPL38 Antibody - BSA Free [NBP3-46673] -

Immunocytochemistry/ Immunofluorescence: RPL38 Antibody - BSA Free [NBP3-46673] - Immunofluorescent analysis of ( -20℃ Ethanol ) fixed MCF-7 cells using ( RPL38 Antibody) at dilution of 1:50 and Alexa Fluor 488-conjugated Goat Anti-Rabbit IgG(H+L)
RPL38 Antibody - BSA Free

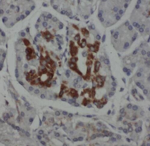
Immunohistochemistry: RPL38 Antibody - BSA Free [NBP3-46673] -

Immunohistochemistry: RPL38 Antibody - BSA Free [NBP3-46673] - Immunohistochemistry of paraffin-embedded human pancreas cancer using (RPL38 antibody) at dilution of 1:50

Applications for RPL38 Antibody - BSA Free

Application
Recommended Usage

Immunocytochemistry/ Immunofluorescence

1:50-1:500

Immunohistochemistry

1:20-1:200

Western Blot

1:500-1:5000

Formulation, Preparation, and Storage

Purification

Immunogen affinity purified

Formulation

PBS, 50% Glycerol, pH (7.3)

Format

BSA Free

Preservative

0.02% Sodium Azide

Concentration

Please see the vial label for concentration. If unlisted please contact technical services.

Shipping

The product is shipped with polar packs. Upon receipt, store it immediately at the temperature recommended below.

Stability & Storage

Store at -20C. Avoid freeze-thaw cycles.

Background: RPL38

Ribosomes, the organelles that catalyze protein synthesis, consist of a small 40S subunit and a large 60S subunit. Together these subunits are composed of 4 RNA species and approximately 80 structurally distinct proteins. This gene encodes a ribosomal protein that is a component of the 60S subunit. The protein belongs to the L38E family of ribosomal proteins. It is located in the cytoplasm. Alternative splice variants have been identified, both encoding the same protein. As is typical for genes encoding ribosomal proteins, there are multiple processed pseudogenes of this gene dispersed through the genome, including one located in the promoter region of the type 1 angiotensin II receptor gene. (provided by RefSeq)

Alternate Names

ribosomal protein L38,60S ribosomal protein L38

Gene Symbol

RPL38

Additional RPL38 Products

Product Documents for RPL38 Antibody - BSA Free

Certificate of Analysis

To download a Certificate of Analysis, please enter a lot number in the search box below.

Product Specific Notices for RPL38 Antibody - BSA Free

This product is for research use only and is not approved for use in humans or in clinical diagnosis. Primary Antibodies are guaranteed for 1 year from date of receipt.

Loading...
Loading...
Loading...
Loading...