Skip to main content

RPL29 Antibody - BSA Free

Novus Biologicals, part of Bio-Techne | Catalog # NBP3-12600

Novus Biologicals, part of Bio-Techne
Catalog #
Availability
Size / Price
Qty
Loading...
NBP3-12600-50ul
NBP3-12600-100ul

Key Product Details

Species Reactivity

Human

Applications

Immunocytochemistry/ Immunofluorescence, Immunohistochemistry-Paraffin, Immunoprecipitation, Western Blot

Label

Unconjugated

Antibody Source

Polyclonal Rabbit IgG

Format

BSA Free

Concentration

Please see the vial label for concentration. If unlisted please contact technical services.

Product Specifications

Immunogen

Produced in rabbits immunized with E. coli-derived Human RPL29 fragment

Clonality

Polyclonal

Host

Rabbit

Isotype

IgG

Description

This antibody can be stored at 2-8C for one month without detectable loss of activity. Antibody products are stable for twelve months from date of receipt when stored at -20C to -80C. Avoid repeated freeze-thaw cycles.

Protein A & Antigen Affinity purified

Scientific Data Images for RPL29 Antibody - BSA Free

Western Blot: RPL29 Antibody [NBP3-12600]

Western Blot: RPL29 Antibody [NBP3-12600]

Western Blot: RPL29 Antibody [NBP3-12600] - Lane A: PC-3 Whole Cell LysateLane B: U87-MG Whole Cell LysateLane C: SW480 Whole Cell LysateLysates/proteins at 30 ug per lane.SecondaryGoat Anti-Rabbit IgG (H+L)/HRP at 1/10000 dilution.Developed using the ECL technique.Performed under reducing conditions.Predicted band size:18 kDaObserved band size:22 kDa
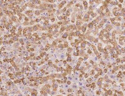
Immunohistochemistry-Paraffin: RPL29 Antibody [NBP3-12600]

Immunohistochemistry-Paraffin: RPL29 Antibody [NBP3-12600]

Immunohistochemistry-Paraffin: RPL29 Antibody [NBP3-12600] - Staining of human RPL29 in human liver with rabbit polyclonal antibody at 1:10000 dilution.
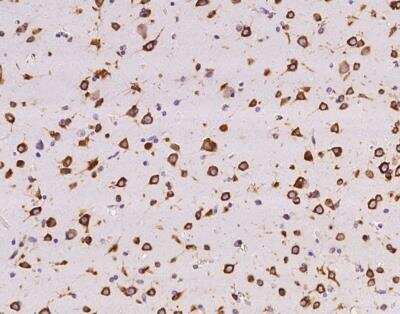
Immunohistochemistry-Paraffin: RPL29 Antibody [NBP3-12600]

Immunohistochemistry-Paraffin: RPL29 Antibody [NBP3-12600]

Immunohistochemistry-Paraffin: RPL29 Antibody [NBP3-12600] - Staining of human RPL29 in human brain with rabbit polyclonal antibody at 1:10000 dilution.

Applications for RPL29 Antibody - BSA Free

Application
Recommended Usage

Immunocytochemistry/ Immunofluorescence

1:100-1:500

Immunohistochemistry-Paraffin

1:2000-1:20000

Immunoprecipitation

1-5uL/mg of lysate

Western Blot

1:500-1:2000

Formulation, Preparation, and Storage

Purification

Antigen and protein A Affinity-purified

Formulation

PBS

Format

BSA Free

Preservative

0.03% Proclin 300

Concentration

Please see the vial label for concentration. If unlisted please contact technical services.

Shipping

The product is shipped with polar packs. Upon receipt, store it immediately at the temperature recommended below.

Stability & Storage

Store at 4C short term. Aliquot and store at -20C long term. Avoid freeze-thaw cycles.

Background: RPL29

RPL29, also known as 60S ribosomal protein L29, is a 18kDa 159 amino acid protein and belongs to the L29E family of ribosomal proteins. The primary function of RPL29 is to encode a cytoplasmic ribosomal protein. Current research is being conducted on RPL29 and its relationship with the diseases colon cancer, thyroid carcinoma, lung carcinoma, colorectal cancer, thyroiditis, carcinoma, breast cancer and malaria. RPL29 has been linked to the ossification, localization, pathogenesis, cell adhesion and cell proliferation pathways where it interacts with UBC, SYBU, CHD3, RPL24 and RPL6.

Alternate Names

60S ribosomal protein L29, Cell surface heparin-binding protein HIP, heparin/heparan sulfate-binding protein, heparin/heparan sulfate-interacting protein, HIPHUMRPL29, HP/HS-interacting protein, MGC88589, ribosomal protein L29

Gene Symbol

RPL29

Additional RPL29 Products

Product Documents for RPL29 Antibody - BSA Free

Certificate of Analysis

To download a Certificate of Analysis, please enter a lot number in the search box below.

Product Specific Notices for RPL29 Antibody - BSA Free

This product is for research use only and is not approved for use in humans or in clinical diagnosis. Primary Antibodies are guaranteed for 1 year from date of receipt.

Loading...
Loading...
Loading...
Loading...