Skip to main content

RPL19 Antibody - Azide and BSA Free

Novus Biologicals, part of Bio-Techne | Catalog # NBP3-16045

Novus Biologicals, part of Bio-Techne
Catalog #
Availability
Size / Price
Qty
Loading...
NBP3-16045-100ul
NBP3-16045-20ul

Key Product Details

Species Reactivity

Human, Mouse, Rat

Applications

Immunocytochemistry/ Immunofluorescence, Immunohistochemistry, Immunohistochemistry-Paraffin, Western Blot

Label

Unconjugated

Antibody Source

Polyclonal Rabbit IgG

Format

Azide and BSA Free

Concentration

Please see the vial label for concentration. If unlisted please contact technical services.

Product Specifications

Immunogen

A synthetic peptide corresponding to a sequence within amino acids 1-100 of human RPL19 (NP_000972.1). MSMLRLQKRLASSVLRCGKKKVWLDPNETNEIANANSRQQIRKLIKDGLIIRKPVTVHSRARCRKNTLARRKGRHMGIGKRKGTANARMPEKVTWMRRMR

Clonality

Polyclonal

Host

Rabbit

Isotype

IgG

Description

Novus Biologicals Rabbit RPL19 Antibody - Azide and BSA Free (NBP3-16045) is a polyclonal antibody validated for use in IHC, WB and ICC/IF. All Novus Biologicals antibodies are covered by our 100% guarantee.

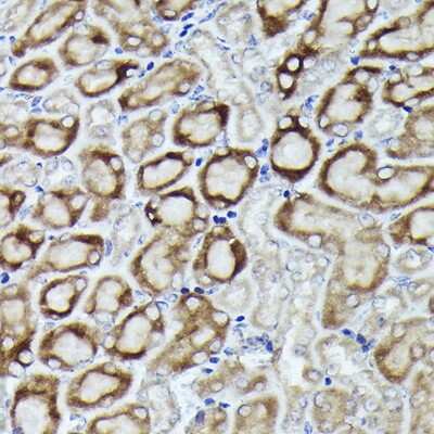
Scientific Data Images for RPL19 Antibody - Azide and BSA Free

Western Blot: RPL19 AntibodyAzide and BSA Free [NBP3-16045]

Western Blot: RPL19 AntibodyAzide and BSA Free [NBP3-16045]

Western Blot: RPL19 Antibody [NBP3-16045] - Analysis of extracts of various cell lines, using RPL19 antibody (NBP3-16045) at 1:1000 dilution. Secondary antibody: HRP Goat Anti-Rabbit IgG (H+L) at 1:10000 dilution. Lysates/proteins: 25ug per lane. Blocking buffer: 3% nonfat dry milk in TBST. Detection: ECL Basic Kit. Exposure time: 3s.
Immunocytochemistry/ Immunofluorescence: RPL19 Antibody - Azide and BSA Free [NBP3-16045]

Immunocytochemistry/ Immunofluorescence: RPL19 Antibody - Azide and BSA Free [NBP3-16045]

Immunocytochemistry/Immunofluorescence: RPL19 Antibody [NBP3-16045] - Immunofluorescence analysis of U2OS cells using RPL19 Rabbit pAb (NBP3-16045) at dilution of 1:200 (40x lens). Blue: DAPI for nuclear staining.
Immunocytochemistry/ Immunofluorescence: RPL19 Antibody - Azide and BSA Free [NBP3-16045]

Immunocytochemistry/ Immunofluorescence: RPL19 Antibody - Azide and BSA Free [NBP3-16045]

Immunocytochemistry/Immunofluorescence: RPL19 Antibody [NBP3-16045] - Immunofluorescence analysis of NIH/3T3 cells using RPL19 Rabbit pAb (NBP3-16045) at dilution of 1:200 (40x lens). Blue: DAPI for nuclear staining.

Applications for RPL19 Antibody - Azide and BSA Free

Application
Recommended Usage

Immunocytochemistry/ Immunofluorescence

1:50 - 1:200

Immunohistochemistry

1:50 - 1:200

Western Blot

1:500 - 1:1000

Formulation, Preparation, and Storage

Purification

Affinity purified

Formulation

PBS (pH 7.3), 50% glycerol

Format

Azide and BSA Free

Preservative

0.05% Proclin 300

Concentration

Please see the vial label for concentration. If unlisted please contact technical services.

Shipping

The product is shipped with polar packs. Upon receipt, store it immediately at the temperature recommended below.

Stability & Storage

Store at -20C. Avoid freeze-thaw cycles.

Background: RPL19

Ribosomes, the organelles that catalyze protein synthesis, consist of a small 40S subunit and a large 60S subunit. Together these subunits are composed of 4 RNA species and approximately 80 structurally distinct proteins. This gene encodes a ribosomal protein that is a component of the 60S subunit. The protein belongs to the L19E family of ribosomal proteins. It is located in the cytoplasm. As is typical for genes encoding ribosomal proteins, there are multiple processed pseudogenes of this gene dispersed through the genome.

Alternate Names

DKFZp779D216, FLJ27452, MGC71997,60S ribosomal protein L19, ribosomal protein L19, ribosomal protein L19, cytosolic, N-terminus truncated

Gene Symbol

RPL19

Additional RPL19 Products

Product Documents for RPL19 Antibody - Azide and BSA Free

Certificate of Analysis

To download a Certificate of Analysis, please enter a lot number in the search box below.

Product Specific Notices for RPL19 Antibody - Azide and BSA Free

This product is for research use only and is not approved for use in humans or in clinical diagnosis. Primary Antibodies are guaranteed for 1 year from date of receipt.

Loading...
Loading...
Loading...
Loading...