Skip to main content

RPL15 Antibody

Novus Biologicals, part of Bio-Techne | Catalog # NBP2-20212

Novus Biologicals, part of Bio-Techne
Catalog #
Availability
Size / Price
Qty
Loading...
NBP2-20212

Key Product Details

Species Reactivity

Human

Applications

Immunohistochemistry, Immunohistochemistry-Paraffin, Western Blot

Label

Unconjugated

Antibody Source

Polyclonal Rabbit IgG

Concentration

Concentrations vary lot to lot. See vial label for concentration. If unlisted please contact technical services.

Product Specifications

Immunogen

Recombinant protein encompassing a sequence within the center region of human RPL15. The exact sequence is proprietary.

Clonality

Polyclonal

Host

Rabbit

Isotype

IgG

Theoretical MW

24 kDa.
Disclaimer note: The observed molecular weight of the protein may vary from the listed predicted molecular weight due to post translational modifications, post translation cleavages, relative charges, and other experimental factors.

Description

Novus Biologicals Rabbit RPL15 Antibody (NBP2-20212) is a polyclonal antibody validated for use in IHC and WB. All Novus Biologicals antibodies are covered by our 100% guarantee.

Scientific Data Images for RPL15 Antibody

Western Blot: RPL15 Antibody [NBP2-20212]

Western Blot: RPL15 Antibody [NBP2-20212]

Western Blot: RPL15 Antibody [NBP2-20212] - Sample (30 ug of whole cell lysate) A: H1299 12% SDS PAGE gel, diluted at 1:1000.
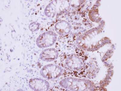
Immunohistochemistry-Paraffin: RPL15 Antibody [NBP2-20212]

Immunohistochemistry-Paraffin: RPL15 Antibody [NBP2-20212]

Immunohistochemistry-Paraffin: RPL15 Antibody [NBP2-20212] - Human normal colon, using RPL15 antibody at 1:500 dilution. Antigen Retrieval: Trilogy™ (EDTA based, pH 8.0) buffer, 15min
RPL15 Antibody

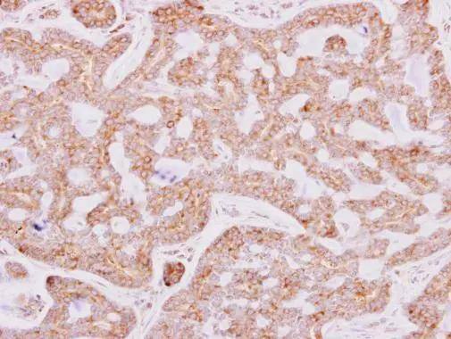
Immunohistochemistry: RPL15 Antibody [NBP2-20212] -

RPL15 antibody detects RPL15 protein at cytosol on human breast carcinoma by immunohistochemical analysis.
Sample: RPL15 antibody (NBP2-20212) dilution: 1:500.

Antigen Retrieval: Trilogy(TM) (EDTA based, pH 8.0) buffer, 15min

Applications for RPL15 Antibody

Application
Recommended Usage

Immunohistochemistry

1:100-1:1000

Immunohistochemistry-Paraffin

1:100-1:1000

Western Blot

1:500-1:3000

Formulation, Preparation, and Storage

Purification

Antigen Affinity-purified

Formulation

PBS, 1% BSA, 20% Glycerol

Preservative

0.01% Thimerosal

Concentration

Concentrations vary lot to lot. See vial label for concentration. If unlisted please contact technical services.

Shipping

The product is shipped with polar packs. Upon receipt, store it immediately at the temperature recommended below.

Stability & Storage

Aliquot and store at -20C or -80C. Avoid freeze-thaw cycles.

Background: RPL15

Ribosomes, the organelles that catalyze protein synthesis, consist of a small 40S subunit and a large 60S subunit. Together these subunits are composed of 4 RNA species and approximately 80 structurally distinct proteins. This gene encodes a ribosomal protein that is a component of the 60S subunit. The protein belongs to the L15E family of ribosomal proteins. It is located in the cytoplasm. This gene shares sequence similarity with the yeast ribosomal protein YL10 gene. Although this gene has been referred to as RPL10, its official symbol is RPL15. This gene has been shown to be overexpressed in some esophageal tumors compared to normal matched tissues. Transcript variants utilizing alternative polyA signals exist. As is typical for genes encoding ribosomal proteins, there are multiple processed pseudogenes of this gene dispersed through the genome. [provided by RefSeq]

Alternate Names

60S ribosomal protein L15, EC45MGC88603, FLJ26304, ribosomal protein L15, RPL10, RPLY10, RPYL10

Gene Symbol

RPL15

Additional RPL15 Products

Product Documents for RPL15 Antibody

Certificate of Analysis

To download a Certificate of Analysis, please enter a lot number in the search box below.

Product Specific Notices for RPL15 Antibody

This product is for research use only and is not approved for use in humans or in clinical diagnosis. Primary Antibodies are guaranteed for 1 year from date of receipt.

Loading...
Loading...
Loading...
Loading...

⚠ WARNING: This product can expose you to chemicals including mercury, which is known to the State of California to cause reproductive toxicity with developmental effects.  For more information go to www.P65Warnings.ca.gov.