Skip to main content

RPGRIP1 Antibody - BSA Free

Novus Biologicals, part of Bio-Techne | Catalog # NBP2-13249

Novus Biologicals, part of Bio-Techne
Catalog #
Availability
Size / Price
Qty
Loading...
NBP2-13249
NBP2-13249-25ul

Key Product Details

Validated by

Independent Antibodies

Species Reactivity

Human

Applications

Immunohistochemistry, Immunohistochemistry-Paraffin

Label

Unconjugated

Antibody Source

Polyclonal Rabbit IgG

Format

BSA Free

Concentration

Concentrations vary lot to lot. See vial label for concentration. If unlisted please contact technical services.

Product Specifications

Immunogen

This antibody was developed against a recombinant protein corresponding to the amino acids: MASPEVPIEAGQYRSKRKPPHGGERKEKEHQVVSYSRRKHGKRIGVQGKNRMEYLSLNILNGNTPEQVNYTEWKFSETNSFIGDGFKNQHEEEEMTLSHSALKQKEPLHPVNDKESSEQGSEVSEAQTTDSDDVIVPPMSQKYPKADSEK

Clonality

Polyclonal

Host

Rabbit

Isotype

IgG

Description

Novus Biologicals Rabbit RPGRIP1 Antibody - BSA Free (NBP2-13249) is a polyclonal antibody validated for use in IHC. All Novus Biologicals antibodies are covered by our 100% guarantee.

Scientific Data Images for RPGRIP1 Antibody - BSA Free

Immunohistochemistry-Paraffin: RPGRIP1 Antibody [NBP2-13249]

Immunohistochemistry-Paraffin: RPGRIP1 Antibody [NBP2-13249]

Immunohistochemistry-Paraffin: RPGRIP1 Antibody [NBP2-13249] - Staining of human eye, retina, liver, pancreas and testis using Anti-RPGRIP1 antibody NBP2-13249 (A) shows similar protein distribution across tissues to independent antibody NBP2-55753 (B).
Immunohistochemistry-Paraffin: RPGRIP1 Antibody [NBP2-13249]

Immunohistochemistry-Paraffin: RPGRIP1 Antibody [NBP2-13249]

Immunohistochemistry-Paraffin: RPGRIP1 Antibody [NBP2-13249] - Staining of human liver shows no positivity in hepatocytes as expected.
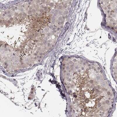
Immunohistochemistry-Paraffin: RPGRIP1 Antibody [NBP2-13249]

Immunohistochemistry-Paraffin: RPGRIP1 Antibody [NBP2-13249]

Immunohistochemistry-Paraffin: RPGRIP1 Antibody [NBP2-13249] - Staining of human eye retina shows strong positivity in the photoreceptor layer.

Applications for RPGRIP1 Antibody - BSA Free

Application
Recommended Usage

Immunohistochemistry

1:500 - 1:1000

Immunohistochemistry-Paraffin

1:500 - 1:1000
Application Notes
For IHC-Paraffin, HIER pH 6 retrieval is recommended.

Formulation, Preparation, and Storage

Purification

Immunogen affinity purified

Formulation

PBS (pH 7.2) and 40% Glycerol

Format

BSA Free

Preservative

0.02% Sodium Azide

Concentration

Concentrations vary lot to lot. See vial label for concentration. If unlisted please contact technical services.

Shipping

The product is shipped with polar packs. Upon receipt, store it immediately at the temperature recommended below.

Stability & Storage

Store at 4C short term. Aliquot and store at -20C long term. Avoid freeze-thaw cycles.

Background: RPGRIP1

The RPGRIP1 gene encodes a photoreceptor protein that interacts with retinitis pigmentosa GTPase regulator protein and is akey component of cone and rod photoreceptor cells. Mutations in this gene lead to autosomal recessive congenitalblindness. (provided by Ref

Alternate Names

CORD13, DKFZp686P0897, LCA6RGRIP, retinitis pigmentosa GTPase regulator interacting protein 1, RGI1, RPGR-interacting protein 1, RPGRIP, RPGRIP1d, X-linked retinitis pigmentosa GTPase regulator-interacting protein 1

Gene Symbol

RPGRIP1

Additional RPGRIP1 Products

Product Documents for RPGRIP1 Antibody - BSA Free

Certificate of Analysis

To download a Certificate of Analysis, please enter a lot number in the search box below.

Product Specific Notices for RPGRIP1 Antibody - BSA Free

This product is for research use only and is not approved for use in humans or in clinical diagnosis. Primary Antibodies are guaranteed for 1 year from date of receipt.

Loading...
Loading...
Loading...
Loading...