Skip to main content

RPA14 Antibody (11.1) - Azide and BSA Free

Novus Biologicals, part of Bio-Techne | Catalog # NB100-159

Novus Biologicals, part of Bio-Techne
Catalog #
Availability
Size / Price
Qty
Loading...
NB100-159

Key Product Details

Species Reactivity

Validated:

Human, Mouse

Cited:

Human

Applications

Validated:

Immunohistochemistry, Immunohistochemistry-Paraffin, Western Blot, Immunoprecipitation

Cited:

Western Blot

Label

Unconjugated

Antibody Source

Monoclonal Mouse IgG1 Clone # 11.1

Format

Azide and BSA Free

Concentration

Concentrations vary lot to lot. See vial label for concentration. If unlisted please contact technical services.

Product Specifications

Immunogen

Full-length human RPA-14 expressed in E. coli..

Reactivity Notes

Please note that this antibody is reactive to Mouse and derived from the same host, Mouse. Additional Mouse on Mouse blocking steps may be required for IHC and ICC experiments. Please contact Technical Support for more information.

Localization

Nuclear

Specificity

NB100-159 is specific for human and mouse RPA14.

Clonality

Monoclonal

Host

Mouse

Isotype

IgG1

Theoretical MW

14 kDa.
Disclaimer note: The observed molecular weight of the protein may vary from the listed predicted molecular weight due to post translational modifications, post translation cleavages, relative charges, and other experimental factors.

Scientific Data Images for RPA14 Antibody (11.1) - Azide and BSA Free

Western Blot: RPA14 Antibody (11.1) [NB100-159]

Western Blot: RPA14 Antibody (11.1) [NB100-159]

Western Blot: RPA14 Antibody (11.1) [NB100-159] - A: 30 ug A549 whole cell lysate/extract. B: 30 ug MCF-7 whole cell lysate/extract. Separated by 15% SDS-PAGE. RPA14 antibody [11.1] at 1:1000.
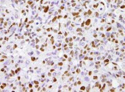
Immunohistochemistry-Paraffin: RPA14 Antibody (11.1) [NB100-159]

Immunohistochemistry-Paraffin: RPA14 Antibody (11.1) [NB100-159]

Immunohistochemistry-Paraffin: RPA14 Antibody (11.1) [NB100-159] - Human osteosarcoma section, 4% formaldehyde fixed. Incubated with the primary antibody for 10-15 hours. IHC-P image submitted by a verified customer review.
Western Blot: RPA14 Antibody (11.1) [NB100-159]

Western Blot: RPA14 Antibody (11.1) [NB100-159]

Western Blot: RPA14 Antibody (11.1) [NB100-159] - 30 ug of MCF7 whole cell lysate separated by 15% SDS-PAGE. Antibody at 1:500.

Applications for RPA14 Antibody (11.1) - Azide and BSA Free

Application
Recommended Usage

Immunohistochemistry

1:100-1:1000

Immunohistochemistry-Paraffin

1:100-1:1000

Immunoprecipitation

0.1-2 ug/ml

Western Blot

0.1-2 ug/ml

Reviewed Applications

Read 1 review rated 5 using NB100-159 in the following applications:

Formulation, Preparation, and Storage

Purification

Protein G purified

Formulation

PBS

Format

Azide and BSA Free

Preservative

No Preservative

Concentration

Concentrations vary lot to lot. See vial label for concentration. If unlisted please contact technical services.

Shipping

The product is shipped with polar packs. Upon receipt, store it immediately at the temperature recommended below.

Stability & Storage

Store at 4C short term. Aliquot and store at -20C long term. Avoid freeze-thaw cycles.

Background: RPA14

Replication protein A (RPA) is a single-stranded DNA binding protein. Human RPA is a heterotrimeric protein containing subunits of 70, 32 and 14 kDa. This protein complex is highly conserved in eukaryotes and is essential in DNA replication, homologous recombination and nucleotide excision repair. RPA has been shown to be a target for DNA-dependent protein kinase (DNA-PK) ataxia telangiectasia-mutated gene (ATM) and a cyclin dependent protein kinase.

Alternate Names

REPA3Replication factor A protein 3, replication protein A 14 kDa subunit, replication protein A3 (14kD), replication protein A3, 14kDa, RF-A protein 3, RP-A p14, RPA14

Entrez Gene IDs

6119 (Human); 68240 (Mouse)

Gene Symbol

RPA3

UniProt

Additional RPA14 Products

Product Documents for RPA14 Antibody (11.1) - Azide and BSA Free

Certificate of Analysis

To download a Certificate of Analysis, please enter a lot number in the search box below.

Product Specific Notices for RPA14 Antibody (11.1) - Azide and BSA Free

This product is for research use only and is not approved for use in humans or in clinical diagnosis. Primary Antibodies are guaranteed for 1 year from date of receipt.

Loading...
Loading...
Loading...
Loading...