Skip to main content

ROR beta Antibody (OTI1G1)

Novus Biologicals, part of Bio-Techne | Catalog # NBP2-45610

Novus Biologicals, part of Bio-Techne

Key Product Details

Species Reactivity

Human, Mouse, Rat

Applications

Immunohistochemistry, Immunohistochemistry-Paraffin, Western Blot

Label

Unconjugated

Antibody Source

Monoclonal Mouse IgG1 Clone # OTI1G1

Concentration

1 mg/ml

Product Specifications

Immunogen

Human recombinant protein fragment corresponding to amino acids 1-260 of human RORB(NP_008845) produced in E.coli.

Reactivity Notes

Please note that this antibody is reactive to Mouse and derived from the same host, Mouse. Mouse-On-Mouse blocking reagent may be needed for IHC and ICC experiments to reduce high background signal. You can find these reagents under catalog numbers PK-2200-NB and MP-2400-NB. Please contact Technical Support if you have any questions.

Clonality

Monoclonal

Host

Mouse

Isotype

IgG1

Theoretical MW

51.9 kDa.
Disclaimer note: The observed molecular weight of the protein may vary from the listed predicted molecular weight due to post translational modifications, post translation cleavages, relative charges, and other experimental factors.

Scientific Data Images for ROR beta Antibody (OTI1G1)

Western Blot: ROR beta Antibody (OTI1G1) [NBP2-45610]

Western Blot: ROR beta Antibody (OTI1G1) [NBP2-45610]

Western Blot: ROR beta Antibody (1G1) [NBP2-45610] - Analysis of HEK293T cells were transfected with the pCMV6-ENTRY control (Left lane) or pCMV6-ENTRY ROR beta.
Immunohistochemistry: ROR beta Antibody (OTI1G1) [NBP2-45610]

Immunohistochemistry: ROR beta Antibody (OTI1G1) [NBP2-45610]

Immunohistochemistry: ROR beta Antibody (1G1) [NBP2-45610] - Analysis of Carcinoma of Human bladder tissue. (Heat-induced epitope retrieval by 1mM EDTA in 10mM Tris buffer (pH8.5) at 120C for 3 min)
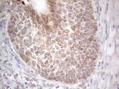
Immunohistochemistry: ROR beta Antibody (OTI1G1) [NBP2-45610]

Immunohistochemistry: ROR beta Antibody (OTI1G1) [NBP2-45610]

Immunohistochemistry: ROR beta Antibody (OTI1G1) [NBP2-45610] - ROR beta Antibody (1G1) [NBP2-45610] - Analysis of Adenocarcinoma of Human breast tissue. (Heat-induced epitope retrieval by 1mM EDTA in 10mM Tris buffer (pH8.5) at 120 degrees C for 3 min)

Applications for ROR beta Antibody (OTI1G1)

Application
Recommended Usage

Immunohistochemistry

1:150

Western Blot

1:2000

Formulation, Preparation, and Storage

Purification

Immunogen affinity purified

Formulation

PBS (pH 7.3), 1.0% BSA and 50% Glycerol

Preservative

0.02% Sodium Azide

Concentration

1 mg/ml

Shipping

The product is shipped with polar packs. Upon receipt, store it immediately at the temperature recommended below.

Stability & Storage

Store at -20C. Avoid freeze-thaw cycles.

Background: ROR beta/NR1F2

Retinoid-related orphan receptor beta (ROR beta), a NR1 thyroid hormone receptor, affects the development and functioning of the central nervous system, including sensory input integration and circadian timing. Disruption of ROR beta in mice results in juvenile ataxia, retinal degeneration, circadian activity abnormalities, and delayed onset of male fertility. ROR beta binds to the monomeric response elements containing the sequence AnnTAGGTCA as a monomer. An alternatively spliced isoform, ROR beta2, has been isolated from rats, and the expression of ROR beta2 is confined to the pineal gland and retina. ROR beta2 shares common DNA- and putative ligand-binding domains with wild-type ROR beta but is characterized by a different amino-terminal domain. ROR beta expression has been documented in various regions of the mouse brain. ESTs have been isolated from human tissue libraries, including cancerous human kidney and normal brain, pineal and eye.

Long Name

Retinoic Acid-Related Orphan Receptor beta

Alternate Names

NR1F2, RORB, RZRB

Gene Symbol

RORB

Additional ROR beta/NR1F2 Products

Product Documents for ROR beta Antibody (OTI1G1)

Certificate of Analysis

To download a Certificate of Analysis, please enter a lot number in the search box below.

Product Specific Notices for ROR beta Antibody (OTI1G1)

This product is for research use only and is not approved for use in humans or in clinical diagnosis. Primary Antibodies are guaranteed for 1 year from date of receipt.

Loading...
Loading...
Loading...
Loading...