Skip to main content

ROCK1 Antibody - BSA Free

Novus Biologicals, part of Bio-Techne | Catalog # NBP3-03713

Novus Biologicals, part of Bio-Techne
Catalog #
Availability
Size / Price
Qty
Loading...
NBP3-03713-100ul
NBP3-03713-20ul

Key Product Details

Validated by

Knockout/Knockdown

Species Reactivity

Human, Mouse

Applications

Immunohistochemistry, Immunohistochemistry-Paraffin, Knockout Validated, Western Blot

Label

Unconjugated

Antibody Source

Polyclonal Rabbit IgG

Format

BSA Free

Concentration

Please see the vial label for concentration. If unlisted please contact technical services.

Product Specifications

Immunogen

Recombinant fusion protein containing a sequence corresponding to amino acids 400-660 of human ROCK1 (NP_005397.1). YSNRRYLSSANPNDNRTSSNADKSLQESLQKTIYKLEEQLHNEMQLKDEMEQKCRTSNIKLDKIMKELDEEGNQRRNLESTVSQIEKEKMLLQHRINEYQRKAEQENEKRRNVENEVSTLKDQLEDLKKVSQNSQLANEKLSQLQKQLEEANDLLRTESDTAVRLRKSHTEMSKSISQLESLNRELQERNRILENSKSQTDKDYYQLQAILEAERRDRGHDSEMIGDLQARITSLQEEVKHLKHNLEKVEGERKEAQDMLN

Clonality

Polyclonal

Host

Rabbit

Isotype

IgG

Theoretical MW

158 kDa.
Disclaimer note: The observed molecular weight of the protein may vary from the listed predicted molecular weight due to post translational modifications, post translation cleavages, relative charges, and other experimental factors.

Description

Novus Biologicals Knockout (KO) Validated Rabbit ROCK1 Antibody - BSA Free (NBP3-03713) is a polyclonal antibody validated for use in IHC and WB. All Novus Biologicals antibodies are covered by our 100% guarantee.

Scientific Data Images for ROCK1 Antibody - BSA Free

ROCK1 Antibody - BSA Free

Western Blot: ROCK1 Antibody - BSA Free [ROCK1] -

Western Blot: ROCK1 Antibody - BSA Free [ROCK1] - Western blot analysis of lysates from wild type(WT) and ROCK1 knockout (KO) 293T cells, using [KO Validated] ROCK1 Rabbit pAb at 1:1000 dilution.
Secondary antibody: HRP Goat Anti-Rabbit IgG (H+L) at 1:10000 dilution.
Lysates/proteins: 25ug per lane.
Blocking buffer: 3% nonfat dry milk in TBST.
Detection: ECL Basic Kit .
Exposure time: 10s.
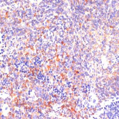
Immunohistochemistry-Paraffin: ROCK1 Antibody - BSA Free [NBP3-03713]

Immunohistochemistry-Paraffin: ROCK1 Antibody - BSA Free [NBP3-03713]

Immunohistochemistry-Paraffin: ROCK1 Antibody [NBP3-03713] - Paraffin-embedded mouse spleen using ROCK1 antibody at dilution of 1:100 (40x lens).
ROCK1 Antibody - BSA Free

Western Blot: ROCK1 Antibody - BSA Free [ROCK1] -

Western Blot: ROCK1 Antibody - BSA Free [ROCK1] - Western blot analysis of lysates from C6 cells, using [KO Validated] ROCK1 Rabbit pAb at 1:1000 dilution.
Secondary antibody: HRP Goat Anti-Rabbit IgG (H+L) at 1:10000 dilution.
Lysates/proteins: 25ug per lane.
Blocking buffer: 3% nonfat dry milk in TBST.
Detection: ECL Basic Kit .
Exposure time: 30s.

Applications for ROCK1 Antibody - BSA Free

Application
Recommended Usage

Immunohistochemistry

1:50-1:100

Western Blot

1:500 - 1:1000

Formulation, Preparation, and Storage

Purification

Affinity purified

Formulation

PBS (pH 7.3), 50% glycerol

Format

BSA Free

Preservative

0.02% Sodium Azide

Concentration

Please see the vial label for concentration. If unlisted please contact technical services.

Shipping

The product is shipped with polar packs. Upon receipt, store it immediately at the temperature recommended below.

Stability & Storage

Store at -20C. Avoid freeze-thaw cycles.

Background: ROCK1

Rho-associated kinase I (ROCK1, ROK beta, p160ROCK) is a serine-threonine protein kinase and an effector of the small GTPase Rho. With N-terminus protein kinase domain and C-terminus Rho-binding domain/pleckstrin homology domain, ROCK1 can be activated by either RhoA or RhoB. In Rho specific ROCK1 activation, a Rho protein binds to the Rho-binding domain and induces a conformational change which opens the kinase domain for the phosphorylation of downstream effectors (1). Activated ROCK1 phosphorylates various signaling proteins, such as myosin light chain phosphatase, LIM kinases, and ezrin-radixin-moesin proteins. Caspase-3 also activates ROCK1; Caspase-3 cleaves ROCK1 at DETD1113/G sequence and removes its inhibitory c-terminal domain. This activation, independent of Rho activity, leads to apoptotic membrane blebbing (2). ROCK1 is involved in regulating actin cytoskeleton assembly, cell migration, centromere positing, smooth muscle contraction, and neurite outgrowth. Its involvement in tumor invasion, hypertension, and bronchial asthma makes ROCK1 an ideal target for drug development (3).

Long Name

Rho-associated, Coiled-Coil Containing Protein Kinase 1

Alternate Names

p160ROCK, ROK beta

Gene Symbol

ROCK1

Additional ROCK1 Products

Product Documents for ROCK1 Antibody - BSA Free

Certificate of Analysis

To download a Certificate of Analysis, please enter a lot number in the search box below.

Product Specific Notices for ROCK1 Antibody - BSA Free

This product is for research use only and is not approved for use in humans or in clinical diagnosis. Primary Antibodies are guaranteed for 1 year from date of receipt.

Loading...
Loading...
Loading...
Loading...