RNGTT Antibody - BSA Free
Novus Biologicals, part of Bio-Techne | Catalog # NBP2-97837
Conjugate
Catalog #
Key Product Details
Species Reactivity
Human
Applications
Immunohistochemistry-Paraffin, Western Blot
Label
Unconjugated
Antibody Source
Polyclonal Rabbit IgG
Format
BSA Free
Concentration
Please see the vial label for concentration. If unlisted please contact technical services.
Product Specifications
Immunogen
Produced in rabbits immunized with E. coli-derived Human RNGTT fragment.
Clonality
Polyclonal
Host
Rabbit
Isotype
IgG
Description
This antibody can be stored at 2C to 8C for one month without detectable loss of activity. Antibody products are stable for twelve months from date of receipt when stored at -20C to -80C. Avoid repeated freeze-thaw cycles.
Scientific Data Images for RNGTT Antibody - BSA Free
Western Blot: RNGTT Antibody [NBP2-97837]
Western Blot: RNGTT Antibody [NBP2-97837] - Anti-RNGTT rabbit polyclonal antibody at 1:500 dilution. Lane A: Jurkat Whole Cell Lysate Lane B: HeLa Whole Cell Lysate Lysates/proteins at 30 ug per lane. Secondary Goat Anti-Rabbit IgG (H+L)/HRP at 1/10000 dilution. Developed using the ECL technique. Performed under reducing conditions. Predicted band size: 69 kDa. Observed band size: 69 kDa (We are unsure as to the identity of these extra bands).Immunohistochemistry-Paraffin: RNGTT Antibody [NBP2-97837]
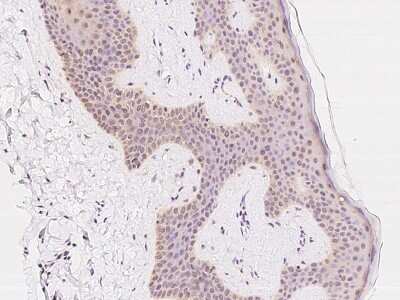
Immunohistochemistry-Paraffin: RNGTT Antibody [NBP2-97837] - Immunochemical staining of human RNGTT in human skin with rabbit polyclonal antibody at 1:100 dilution, formalin-fixed paraffin embedded sections.Immunohistochemistry-Paraffin: RNGTT Antibody [NBP2-97837]
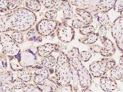
Immunohistochemistry-Paraffin: RNGTT Antibody [NBP2-97837] - Immunochemical staining of human RNGTT in human placenta with rabbit polyclonal antibody at 1:100 dilution, formalin-fixed paraffin embedded sections.Applications for RNGTT Antibody - BSA Free
Application
Recommended Usage
Immunohistochemistry-Paraffin
1:50-1:200
Western Blot
1:500-1:2000
Formulation, Preparation, and Storage
Purification
Antigen and protein A Affinity-purified
Formulation
PBS
Format
BSA Free
Preservative
0.03% Proclin 300
Concentration
Please see the vial label for concentration. If unlisted please contact technical services.
Shipping
The product is shipped with polar packs. Upon receipt, store it immediately at the temperature recommended below.
Stability & Storage
Store at 4C short term. Aliquot and store at -20C long term. Avoid freeze-thaw cycles.
Background: RNGTT
Alternate Names
CAP1AmRNA-capping enzyme, hCAP, HCE1DKFZp686J2031, HCEHCAP1, RNA guanylyltransferase and 5'-phosphatase
Gene Symbol
RNGTT
Additional RNGTT Products
Product Specific Notices for RNGTT Antibody - BSA Free
This product is for research use only and is not approved for use in humans or in clinical diagnosis. Primary Antibodies are guaranteed for 1 year from date of receipt.
Loading...
Loading...
Loading...
Loading...