RNF2 Antibody - BSA Free
Novus Biologicals, part of Bio-Techne | Catalog # NBP1-49966
Conjugate
Catalog #
Key Product Details
Validated by
Independent Antibodies, Biological Validation
Species Reactivity
Validated:
Human, Mouse
Cited:
Human
Predicted:
Orangutan (100%), Rat (100%). Backed by our 100% Guarantee.
Applications
Validated:
Immunohistochemistry, Immunohistochemistry-Paraffin, Western Blot, Immunoprecipitation, Chromatin Immunoprecipitation Sequencing
Cited:
Immunoprecipitation
Label
Unconjugated
Antibody Source
Polyclonal Rabbit IgG
Format
BSA Free
Concentration
1.0 mg/ml
Product Specifications
Immunogen
The immunogen for this product maps to a region between residue 150 and 200 of human Ring Finger Protein 2 using the numbering given in entry NP_009143.1 (GeneID 6045).
Clonality
Polyclonal
Host
Rabbit
Isotype
IgG
Description
Novus Biologicals Rabbit RNF2 Antibody - BSA Free (NBP1-49966) is a polyclonal antibody validated for use in IHC, WB, IP and ChIP. Anti-RNF2 Antibody: Cited in 2 publications. All Novus Biologicals antibodies are covered by our 100% guarantee.
Scientific Data Images for RNF2 Antibody - BSA Free
Western Blot: RNF2 Antibody [NBP1-49966]
Western Blot: RNF2 Antibody [NBP1-49966] - Detection of Human and Mouse RNF2 by Western Blot (h&m) and Immunoprecipitation (h). Samples: Whole cell lysate from K562 (5, 15 and 50 mcg for WB; 1 mg for IP, 20% of IP loaded), 293T (T; 50 mcg), and mouse NIH3T3 (M; 50 mcg) cells. Antibodies: Affinity purified rabbit anti-RNF2 antibody used for WB at 0.1 mcg/ml (A) and 1 mcg/ml (B) and used for IP at 3 mcg/mg lysate. RNF2 was also immunoprecipitated by rabbit anti-RNF2 antibody, which recognizes a downstream epitope. For blotting immunoprecipitated RNF2 was used. Detection: Chemiluminescence with exposure times of 30 seconds (A and B).Immunohistochemistry-Paraffin: RNF2 Antibody [NBP1-49966]
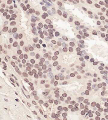
Immunohistochemistry-Paraffin: RNF2 Antibody [NBP1-49966] - Sample: FFPE section of human prostate carcinoma. Antibody: Affinity purified rabbit anti-RNF2 used at a dilution of 1:1,000 (1ug/ml). Detection: Vector ImmPACT NovaREDImmunohistochemistry: RNF2 Antibody [NBP1-49966]
RNF2-Antibody-Immunohistochemistry-NBP1-49966-img0004.jpgApplications for RNF2 Antibody - BSA Free
Application
Recommended Usage
Immunohistochemistry
1:500 - 1:2000
Immunohistochemistry-Paraffin
1:10-1:500
Immunoprecipitation
2-5 ug/mg lysate
Western Blot
1:2000-1:10000
Application Notes
Epitope retrieval with citrate buffer pH 6.0 is recommended for FFPE tissue sections.
Formulation, Preparation, and Storage
Purification
Immunogen affinity purified
Formulation
Tris-Citrate/Phosphate (pH 7.0 - 8.0)
Format
BSA Free
Preservative
0.09% Sodium Azide
Concentration
1.0 mg/ml
Shipping
The product is shipped with polar packs. Upon receipt, store it immediately at the temperature recommended below.
Stability & Storage
Store at 4C. Do not freeze.
Background: RNF2
Long Name
Ring Finger Protein 2
Alternate Names
DING, HIPI3, RING1B, RING2
Gene Symbol
RNF2
UniProt
Additional RNF2 Products
Product Documents for RNF2 Antibody - BSA Free
Product Specific Notices for RNF2 Antibody - BSA Free
This product is for research use only and is not approved for use in humans or in clinical diagnosis. Primary Antibodies are guaranteed for 1 year from date of receipt.
Loading...
Loading...
Loading...
Loading...