Skip to main content

RNF181 Antibody

Novus Biologicals, part of Bio-Techne | Catalog # NBP2-20181

Novus Biologicals, part of Bio-Techne
Catalog #
Availability
Size / Price
Qty
Loading...
NBP2-20181

Key Product Details

Species Reactivity

Validated:

Human

Predicted:

Bovine (93%), Porcine (95%), Rhesus Macaque (98%). Backed by our 100% Guarantee.

Applications

Immunohistochemistry, Immunohistochemistry-Paraffin, Western Blot

Label

Unconjugated

Antibody Source

Polyclonal Rabbit IgG

Concentration

Concentrations vary lot to lot. See vial label for concentration. If unlisted please contact technical services.

Product Specifications

Immunogen

Recombinant protein encompassing a sequence within the center region of human RNF181. The exact sequence is proprietary.

Clonality

Polyclonal

Host

Rabbit

Isotype

IgG

Theoretical MW

18 kDa.
Disclaimer note: The observed molecular weight of the protein may vary from the listed predicted molecular weight due to post translational modifications, post translation cleavages, relative charges, and other experimental factors.

Description

Novus Biologicals Rabbit RNF181 Antibody (NBP2-20181) is a polyclonal antibody validated for use in IHC and WB. All Novus Biologicals antibodies are covered by our 100% guarantee.

Scientific Data Images for RNF181 Antibody

Western Blot: RNF181 Antibody [NBP2-20181]

Western Blot: RNF181 Antibody [NBP2-20181]

Western Blot: RNF181 Antibody [NBP2-20181] - Sample (30 ug of whole cell lysate) A: Jurkat 12% SDS PAGE gel, diluted at 1:1000.
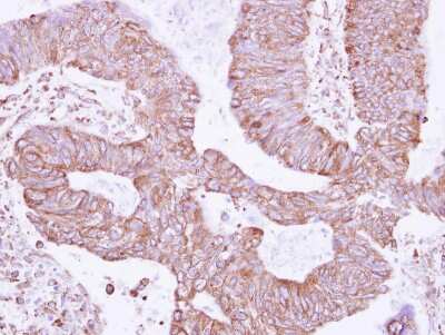
Immunohistochemistry-Paraffin: RNF181 Antibody [NBP2-20181]

Immunohistochemistry-Paraffin: RNF181 Antibody [NBP2-20181]

Immunohistochemistry-Paraffin: RNF181 Antibody [NBP2-20181] - Immunohistochemical analysis of paraffin-embedded Colon ca, using antibody at 1:500 dilution.

Applications for RNF181 Antibody

Application
Recommended Usage

Immunohistochemistry

1:100-1:1000

Immunohistochemistry-Paraffin

1:100-1:1000

Western Blot

1:500-1:3000

Formulation, Preparation, and Storage

Purification

Antigen Affinity-purified

Formulation

PBS, 1% BSA, 20% Glycerol

Preservative

0.01% Thimerosal

Concentration

Concentrations vary lot to lot. See vial label for concentration. If unlisted please contact technical services.

Shipping

The product is shipped with polar packs. Upon receipt, store it immediately at the temperature recommended below.

Stability & Storage

Aliquot and store at -20C or -80C. Avoid freeze-thaw cycles.

Background: RNF181

RNF181 binds the integrin alpha-IIb (ITGA2B; MIM 607759)/beta-3 (ITGB3; MIM 173470) complex and has E3 ubiquitin ligase activity (Brophy et al., 2008 [PubMed 18331836]).[supplied by OMIM]

Alternate Names

E3 ubiquitin-protein ligase RNF181, EC 6.3.2.-, ring finger protein 181HSPC238

Gene Symbol

RNF181

UniProt

Additional RNF181 Products

Product Documents for RNF181 Antibody

Certificate of Analysis

To download a Certificate of Analysis, please enter a lot number in the search box below.

Product Specific Notices for RNF181 Antibody

This product is for research use only and is not approved for use in humans or in clinical diagnosis. Primary Antibodies are guaranteed for 1 year from date of receipt.

Loading...
Loading...
Loading...
Loading...

⚠ WARNING: This product can expose you to chemicals including mercury, which is known to the State of California to cause reproductive toxicity with developmental effects.  For more information go to www.P65Warnings.ca.gov.