Skip to main content

RNF146 Antibody (PSH0-29)

Novus Biologicals, part of Bio-Techne | Catalog # NBP3-32911

Recombinant Monoclonal Antibody
Novus Biologicals, part of Bio-Techne
Catalog #
Availability
Size / Price
Qty
Loading...
NBP3-32911

Key Product Details

Species Reactivity

Human, Mouse

Applications

Flow Cytometry, Immunocytochemistry/ Immunofluorescence, Immunohistochemistry, Immunohistochemistry-Paraffin, Western Blot

Label

Unconjugated

Antibody Source

Recombinant Monoclonal Rabbit IgG Clone # PSH0-29 expressed in HEK293

Concentration

1 mg/ml

Product Specifications

Immunogen

Recombinant protein within full length human RNF146. (Uniprot: Q9NTX7)

Localization

Cytoplasm, Nucleus

Clonality

Monoclonal

Host

Rabbit

Isotype

IgG

Theoretical MW

39 kDa.
Disclaimer note: The observed molecular weight of the protein may vary from the listed predicted molecular weight due to post translational modifications, post translation cleavages, relative charges, and other experimental factors.

Description

Novus Biologicals Rabbit RNF146 Antibody (PSH0-29) (NBP3-32911) is a recombinant monoclonal antibody validated for use in IHC, WB, Flow and ICC/IF. All Novus Biologicals antibodies are covered by our 100% guarantee.

Scientific Data Images for RNF146 Antibody (PSH0-29)

RNF146 Antibody (PSH0-29)

Western Blot: RNF146 Antibody (PSH0-29) [NBP3-32911]

Western Blot: RNF146 Antibody (PSH0-29) [NBP3-32911] - Western blot analysis of RNF146 on different lysates with Rabbit anti-RNF146 antibody (NBP3-32911) at 1/1,000 dilution.

Lane 1: SH-SY5Y cell lysate
Lane 2: NIH/3T3 cell lysate

Lysates/proteins at 10 ug/Lane.

Predicted band size: 39 kDa
Observed band size: 39 kDa

Exposure time: 2 minutes;

10% SDS-PAGE gel.

Proteins were transferred to a PVDF membrane and blocked with 5% NFDM/TBST for 1 hour at room temperature. The primary antibody (NBP3-32911) at 1/1,000 dilution was used in 5% NFDM/TBST at room temperature for 2 hours. Goat Anti-Rabbit IgG - HRP Secondary Antibody at 1:300,000 dilution was used for 1 hour at room temperature.
RNF146 Antibody (PSH0-29)

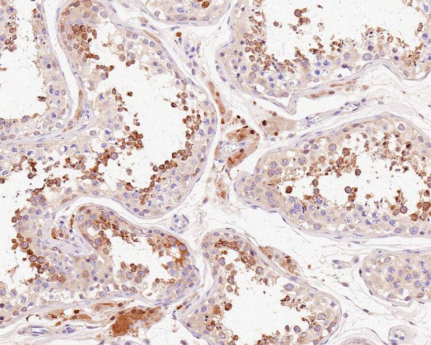
Immunohistochemistry: RNF146 Antibody (PSH0-29) [NBP3-32911]

Immunohistochemistry: RNF146 Antibody (PSH0-29) [NBP3-32911] - Immunohistochemical analysis of paraffin-embedded human testis tissue with Rabbit anti-RNF146 antibody (NBP3-32911) at 1/1,000 dilution.

The section was pre-treated using heat mediated antigen retrieval with Tris-EDTA buffer (pH 9.0) for 20 minutes. The tissues were blocked in 1% BSA for 20 minutes at room temperature, washed with ddH2O and PBS, and then probed with the primary antibody (NBP3-32911) at 1/1,000 dilution for 1 hour at room temperature. The detection was performed using an HRP conjugated compact polymer system. DAB was used as the chromogen. Tissues were counterstained with hematoxylin and mounted with DPX.
RNF146 Antibody (PSH0-29)

Immunocytochemistry/ Immunofluorescence: RNF146 Antibody (PSH0-29) [NBP3-32911]

Immunocytochemistry/ Immunofluorescence: RNF146 Antibody (PSH0-29) [NBP3-32911] - Immunocytochemistry analysis of NIH/3T3 cells labeling RNF146 with Rabbit anti-RNF146 antibody (NBP3-32911) at 1/100 dilution.

Cells were fixed in 4% paraformaldehyde for 10 minutes at 37 ℃, permeabilized with 0.05% Triton X-100 in PBS for 20 minutes, and then blocked with 2% negative goat serum for 30 minutes at room temperature. Cells were then incubated with Rabbit anti-RNF146 antibody (NBP3-32911) at 1/100 dilution in 2% negative goat serum overnight at 4 ℃. Goat Anti-Rabbit IgG H&L (iFluor™ 488) was used as the secondary antibody at 1/1,000 dilution. PBS instead of the primary antibody was used as the secondary antibody only control. Nuclear DNA was labelled in blue with DAPI.

Applications for RNF146 Antibody (PSH0-29)

Application
Recommended Usage

Flow Cytometry

1:1000

Immunocytochemistry/ Immunofluorescence

1:100

Immunohistochemistry-Paraffin

1:200-1:1000

Western Blot

1:1000

Formulation, Preparation, and Storage

Purification

Protein A purified

Formulation

PBS (pH7.4), 0.1% BSA and 40% Glycerol

Preservative

0.05% Sodium Azide

Concentration

1 mg/ml

Shipping

The product is shipped with polar packs. Upon receipt, store it immediately at the temperature recommended below.

Stability & Storage

Store at 4C short term. Aliquot and store at -20C long term. Avoid freeze-thaw cycles.

Background: RNF146

Alternate Names

dactylidin, dJ351K20.1, DKFZp434O1427, ring finger protein 146,2610509H23Rik, RP3-351K20.1

Gene Symbol

RNF146

Additional RNF146 Products

Product Documents for RNF146 Antibody (PSH0-29)

Certificate of Analysis

To download a Certificate of Analysis, please enter a lot number in the search box below.

Product Specific Notices for RNF146 Antibody (PSH0-29)

This product is for research use only and is not approved for use in humans or in clinical diagnosis. Primary Antibodies are guaranteed for 1 year from date of receipt.

Loading...
Loading...
Loading...
Loading...
Loading...