Skip to main content

RNASE9 Antibody - BSA Free

Novus Biologicals, part of Bio-Techne | Catalog # NBP3-42000

Novus Biologicals, part of Bio-Techne
Catalog #
Availability
Size / Price
Qty
Loading...
NBP3-42000

Key Product Details

Species Reactivity

Human

Applications

Immunohistochemistry, Western Blot

Label

Unconjugated

Antibody Source

Polyclonal Rabbit

Format

BSA Free

Concentration

0.5 mg/ml

Product Specifications

Immunogen

Immunized with recombinant Human RNASE9 (Uniprot#: P60153; Leu28-Pro210 (Uniprot#: P60153)

Clonality

Polyclonal

Host

Rabbit

Description

Novus Biologicals Rabbit RNASE9 Antibody - BSA Free (NBP3-42000) is a polyclonal antibody validated for use in IHC and WB. All Novus Biologicals antibodies are covered by our 100% guarantee.

Scientific Data Images for RNASE9 Antibody - BSA Free

RNASE9 Antibody

Western Blot: RNASE9 Antibody [NBP3-42000] -

Western Blot: RNASE9 Antibody [NBP3-42000] - Sample: Recombinant protein.
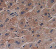
RNASE9 Antibody

Immunohistochemistry-Paraffin: RNASE9 Antibody [NBP3-42000] -

Immunohistochemistry-Paraffin: RNASE9 Antibody [NBP3-42000] - Used in DAB staining on fromalin fixed paraffin- embedded Kidney tissue

Applications for RNASE9 Antibody - BSA Free

Application
Recommended Usage

Immunohistochemistry

5-20ug/mL

Western Blot

0.2-2ug/mL

Formulation, Preparation, and Storage

Purification

Antigen and protein A Affinity-purified

Formulation

PBS, pH7.4, 50% glycerol

Format

BSA Free

Preservative

0.02% Sodium Azide

Concentration

0.5 mg/ml

Shipping

The product is shipped with polar packs. Upon receipt, store it immediately at the temperature recommended below.

Stability & Storage

Store at 4C short term. Aliquot and store at -20C long term. Avoid freeze-thaw cycles.

Background: RNASE9

The RNASE9 gene encodes an inactive ribonuclease-like protein 9 that in isoform 1 is 205 amino acids long, 24 kDA and in isoform 2 is 210 amino acids long at 24 kDA. This gene does not demonstrate any ribonuclease activity but has been researched regarding its role to epididymitis and pancreatitis.

Alternate Names

h461, HEL128, ribonuclear enzyme, ribonuclease 9, ribonuclease, RNase A family, 9 (non-active), ribonuclease-like protein 9

Gene Symbol

RNASE9

Additional RNASE9 Products

Product Documents for RNASE9 Antibody - BSA Free

Certificate of Analysis

To download a Certificate of Analysis, please enter a lot number in the search box below.

Product Specific Notices for RNASE9 Antibody - BSA Free

This product is for research use only and is not approved for use in humans or in clinical diagnosis. Primary Antibodies are guaranteed for 1 year from date of receipt.

Loading...
Loading...
Loading...
Loading...