Skip to main content

RNase L Antibody (HL2340) - Azide and BSA Free

Novus Biologicals, part of Bio-Techne | Catalog # NBP3-25639

Recombinant Monoclonal Antibody
Novus Biologicals, part of Bio-Techne
Catalog #
Availability
Size / Price
Qty
Loading...
NBP3-25639

Key Product Details

Species Reactivity

Human

Applications

Western Blot, Immunocytochemistry/ Immunofluorescence

Label

Unconjugated

Antibody Source

Recombinant Monoclonal Rabbit IgG Clone # HL2340 expressed in HEK293

Format

Azide and BSA Free

Concentration

Concentrations vary lot to lot. See vial label for concentration. If unlisted please contact technical services.

Product Specifications

Immunogen

Recombinant fragment of human RNase L

Clonality

Monoclonal

Host

Rabbit

Isotype

IgG

Description

Novus Biologicals Rabbit RNase L Antibody (HL2340) - Azide and BSA Free (NBP3-25639) is a recombinant monoclonal antibody validated for use in WB and ICC/IF. All Novus Biologicals antibodies are covered by our 100% guarantee.

Scientific Data Images for RNase L Antibody (HL2340) - Azide and BSA Free

RNase L Antibody (HL2340) - Azide and BSA Free

Western Blot: RNase L Antibody (HL2340) - Azide and BSA Free [NBP3-25639] -

Western Blot: RNase L Antibody (HL2340) - Azide and BSA Free [NBP3-25639] - Various whole cell extracts (30 ug) were separated by 7.5% SDS-PAGE, and the membrane was blotted with RNase L antibody [HL2340] (NBP3-25639) diluted at 1:1000. The HRP-conjugated anti-rabbit IgG antibody was used to detect the primary antibody.
RNase L Antibody (HL2340) - Azide and BSA Free

Immunocytochemistry/Immunofluorescence: RNase L Antibody (HL2340) - Azide and BSA Free [NBP3-25639] -

Immunocytochemistry/Immunofluorescence: RNase L Antibody (HL2340) - Azide and BSA Free [NBP3-25639] - RNase L antibody [HL2340] detects RNase L protein at mitochondria by immunofluorescent analysis. Sample: HeLa cells were fixed in ice-cold MeOH for 5 min. Green: RNase L stained by RNase L antibody [HL2340] (NBP3-25639) diluted at 1:1000. Red: alpha Tubulin, a cytoskeleton marker, stained by alpha Tubulin antibody [GT114] (NBP2-43837) diluted at 1:1000. Blue: Fluoroshield with DAPI .
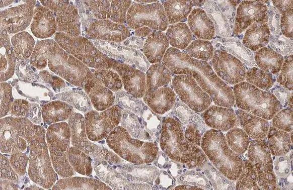
RNase L Antibody (HL2340) - Azide and BSA Free

Immunohistochemistry-Paraffin: RNase L Antibody (HL2340) [NBP3-25639] -

RNase L antibody [HL2340] detects RNase L protein at mitochondria by immunohistochemical analysis.Sample: Paraffin-embedded rat kidney.RNase L stained by RNase L antibody [HL2340] (NBP3-25639) diluted at 1:200.Antigen Retrieval: Citrate buffer, pH 6.0, 15 min

Applications for RNase L Antibody (HL2340) - Azide and BSA Free

Application
Recommended Usage

Western Blot

1:500-1:3000

Formulation, Preparation, and Storage

Purification

Protein A purified

Formulation

PBS

Format

Azide and BSA Free

Preservative

No Preservative

Concentration

Concentrations vary lot to lot. See vial label for concentration. If unlisted please contact technical services.

Shipping

The product is shipped with polar packs. Upon receipt, store it immediately at the temperature recommended below.

Stability & Storage

Store at 4C short term. Aliquot and store at -20C long term. Avoid freeze-thaw cycles.

Background: RNase L

RNase L is a virally induced endoribonuclease that is also the terminal factor of the anti-viral action of interferon. Activation of RNase L results in inhibition of viral proliferation through total RNA degradation. Activation of RNase L has also been determined to degrade RNA, thus, initiating a cellular stress response, inducing apoptosis. Since mutations in RNase L relate to an increased incidence of prostate cancer, the activation of RNase L is thought to function in counteracting prostate cancer, via apoptosis.

Alternate Names

2-5A-dependent ribonuclease, 2-5A-dependent RNase, 2'-5'-oligoisoadenylate synthetase-dependent, EC 3.1.26.-, HPC1, interferon-induced 2-5A-dependent RNase, MGC104972, MGC133329, PRCA1, prostate cancer 1, Ribonuclease 4, Ribonuclease L, ribonuclease L (2'-5'-oligoisoadenylate synthetase-dependent), RNase L, RNS4DKFZp781D08126

Gene Symbol

RNASEL

Additional RNase L Products

Product Documents for RNase L Antibody (HL2340) - Azide and BSA Free

Certificate of Analysis

To download a Certificate of Analysis, please enter a lot number in the search box below.

Product Specific Notices for RNase L Antibody (HL2340) - Azide and BSA Free

This product is for research use only and is not approved for use in humans or in clinical diagnosis. Primary Antibodies are guaranteed for 1 year from date of receipt.

Loading...
Loading...
Loading...
Loading...