Skip to main content

RIMS2 Antibody - BSA Free

Novus Biologicals, part of Bio-Techne | Catalog # NBP2-56512

Novus Biologicals, part of Bio-Techne
Catalog #
Availability
Size / Price
Qty
Loading...
NBP2-56512
NBP2-56512-25ul

Key Product Details

Validated by

Orthogonal Validation

Species Reactivity

Validated:

Human

Predicted:

Mouse (96%), Rat (96%). Backed by our 100% Guarantee.

Applications

Immunohistochemistry, Immunohistochemistry-Paraffin

Label

Unconjugated

Antibody Source

Polyclonal Rabbit IgG

Format

BSA Free

Concentration

Concentrations vary lot to lot. See vial label for concentration. If unlisted please contact technical services.

Product Specifications

Immunogen

This antibody was developed against a recombinant protein corresponding to the following amino acid sequence: MDIEERNRQMKINKYKQVAGSDPRLEQDYHSKYRSGWDPHRGADNVSTKSS

Clonality

Polyclonal

Host

Rabbit

Isotype

IgG

Description

Novus Biologicals Rabbit RIMS2 Antibody - BSA Free (NBP2-56512) is a polyclonal antibody validated for use in IHC. All Novus Biologicals antibodies are covered by our 100% guarantee.

Scientific Data Images for RIMS2 Antibody - BSA Free

RIMS2 Antibody

Immunohistochemistry-Paraffin: RIMS2 Antibody [NBP2-56512] -

Immunohistochemistry-Paraffin: RIMS2 Antibody [NBP2-56512] - Analysis in human fallopian tube and pancreas tissues using HPA066498 antibody. Corresponding RIMS2 RNA-seq data are presented for the same tissues.
RIMS2 Antibody

Immunohistochemistry-Paraffin: RIMS2 Antibody [NBP2-56512] -

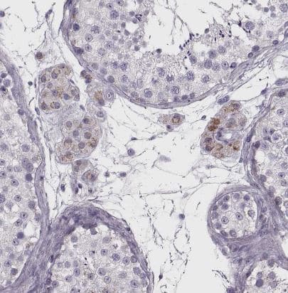
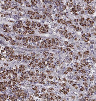
Immunohistochemistry-Paraffin: RIMS2 Antibody [NBP2-56512] -Staining of human adrenal gland shows strong positivity in cytoplasm granular in glandular cells.
RIMS2 Antibody

Immunohistochemistry-Paraffin: RIMS2 Antibody [NBP2-56512] -

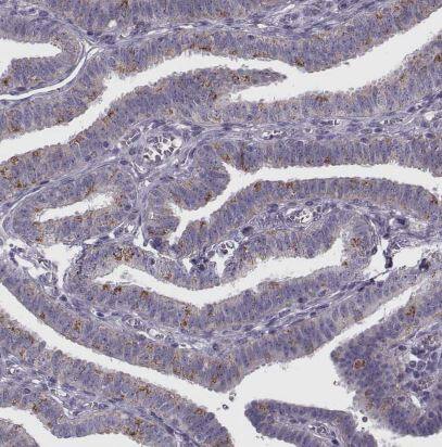
Immunohistochemistry-Paraffin: RIMS2 Antibody [NBP2-56512] - Staining of human fallopian tube shows moderate positivity in cytoplasm granular in glandular cells.

Applications for RIMS2 Antibody - BSA Free

Application
Recommended Usage

Immunohistochemistry

1:1000 - 1:2500

Immunohistochemistry-Paraffin

1:1000 - 1:2500
Application Notes
For IHC-Paraffin, HIER pH 6 retrieval is recommended.

Formulation, Preparation, and Storage

Purification

Affinity purified

Formulation

PBS (pH 7.2) and 40% Glycerol

Format

BSA Free

Preservative

0.02% Sodium Azide

Concentration

Concentrations vary lot to lot. See vial label for concentration. If unlisted please contact technical services.

Shipping

The product is shipped with polar packs. Upon receipt, store it immediately at the temperature recommended below.

Stability & Storage

Store at 4C short term. Aliquot and store at -20C long term. Avoid freeze-thaw cycles.

Background: RIMS2

Rab effector involved in exocytosis. May act as scaffold protein

Alternate Names

DKFZp781A0653, KIAA0751RIM2OBOERAB3 interacting protein 3, non-small cell lung cancer RimL3a protein, non-small cell lung cancer RimL3c protein, nuclear protein, Rab-3-interacting molecule 2, rab3-interacting molecule 2, Rab-3-interacting protein 3, RAB3IP3, regulating synaptic membrane exocytosis 2, regulating synaptic membrane exocytosis protein 2, RIM 2

Gene Symbol

RIMS2

Additional RIMS2 Products

Product Documents for RIMS2 Antibody - BSA Free

Certificate of Analysis

To download a Certificate of Analysis, please enter a lot number in the search box below.

Product Specific Notices for RIMS2 Antibody - BSA Free

This product is for research use only and is not approved for use in humans or in clinical diagnosis. Primary Antibodies are guaranteed for 1 year from date of receipt.

Loading...
Loading...
Loading...
Loading...