Skip to main content

RIMS Binding Protein 2 Antibody - BSA Free

Novus Biologicals, part of Bio-Techne | Catalog # NBP3-46729

Novus Biologicals, part of Bio-Techne
Catalog #
Availability
Size / Price
Qty
Loading...
NBP3-46729

Key Product Details

Species Reactivity

Human, Mouse, Rat

Applications

ELISA, Immunohistochemistry, Western Blot

Label

Unconjugated

Antibody Source

Polyclonal Rabbit IgG

Format

BSA Free

Concentration

Please see the vial label for concentration. If unlisted please contact technical services.

Product Specifications

Immunogen

RIMS binding protein 2. (Uniprot# O15034)

Clonality

Polyclonal

Host

Rabbit

Isotype

IgG

Description

Novus Biologicals Rabbit RIMS Binding Protein 2 Antibody - BSA Free (NBP3-46729) is a polyclonal antibody validated for use in IHC, WB and ELISA. All Novus Biologicals antibodies are covered by our 100% guarantee.

Scientific Data Images for RIMS Binding Protein 2 Antibody - BSA Free

RIMS Binding Protein 2 Antibody - BSA Free

Western Blot: RIMS Binding Protein 2 Antibody - BSA Free [NBP3-46729] -

Western Blot: RIMS Binding Protein 2 Antibody - BSA Free [NBP3-46729] - Mouse kidney tissue were subjected to SDS PAGE followed by western blot with (RIMS Binding Protein 2 antibody) at dilution of 1:1000
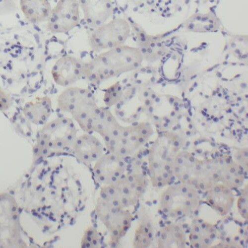
RIMS Binding Protein 2 Antibody - BSA Free

Immunohistochemistry: RIMS Binding Protein 2 Antibody - BSA Free [NBP3-46729] -

Immunohistochemistry: RIMS Binding Protein 2 Antibody - BSA Free [NBP3-46729] - Immunohistochemistry of paraffin-embedded human kidney tissue slide using (RIMS Binding Protein 2 Antibody) at dilution of 1:50

Applications for RIMS Binding Protein 2 Antibody - BSA Free

Application
Recommended Usage

Immunohistochemistry

1:20-1:200

Western Blot

1:500-1:2000
Application Notes
Theoretical Molecular Weight is 40-50 kDa, 120-130 kDa

Formulation, Preparation, and Storage

Purification

Immunogen affinity purified

Formulation

PBS, 50% Glycerol, pH (7.3)

Format

BSA Free

Preservative

0.02% Sodium Azide

Concentration

Please see the vial label for concentration. If unlisted please contact technical services.

Shipping

The product is shipped with polar packs. Upon receipt, store it immediately at the temperature recommended below.

Stability & Storage

Store at -20C. Avoid freeze-thaw cycles.

Background: RIMS Binding Protein 2

Alternate Names

KIAA0318, RBP2, RIM Binding Protein 2, RIMBP2, RIM-BP2, RIMS-Binding Protein 2

Gene Symbol

RIMBP2

Additional RIMS Binding Protein 2 Products

Product Documents for RIMS Binding Protein 2 Antibody - BSA Free

Certificate of Analysis

To download a Certificate of Analysis, please enter a lot number in the search box below.

Product Specific Notices for RIMS Binding Protein 2 Antibody - BSA Free

This product is for research use only and is not approved for use in humans or in clinical diagnosis. Primary Antibodies are guaranteed for 1 year from date of receipt.

Loading...
Loading...
Loading...
Loading...