Skip to main content

RIMBP3 Antibody - BSA Free

Novus Biologicals, part of Bio-Techne | Catalog # NBP1-81387

Novus Biologicals, part of Bio-Techne
Catalog #
Availability
Size / Price
Qty
Loading...
NBP1-81387
NBP1-81387-25ul

Key Product Details

Species Reactivity

Human

Applications

Immunohistochemistry, Immunohistochemistry-Paraffin

Label

Unconjugated

Antibody Source

Polyclonal Rabbit IgG

Format

BSA Free

Concentration

Concentrations vary lot to lot. See vial label for concentration. If unlisted please contact technical services.

Product Specifications

Immunogen

This antibody was developed against Recombinant Protein corresponding to amino acids: RDTASEVDDLEPDSVSLALEMGGSAAPAAPKLKIFMAQYNYNPFEGPNDHPEGELPLTAGDYIYIFGDMDEDGFYEGELEDGRRGLVPSNFVEQIPDSYIPGCLPAKSPDLGPSQLPAGQDEALEE

Clonality

Polyclonal

Host

Rabbit

Isotype

IgG

Scientific Data Images for RIMBP3 Antibody - BSA Free

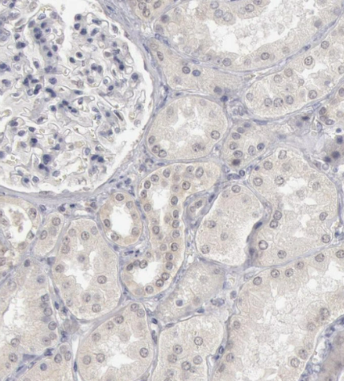
Immunohistochemistry-Paraffin: RIMBP3 Antibody [NBP1-81387]

Immunohistochemistry-Paraffin: RIMBP3 Antibody [NBP1-81387]

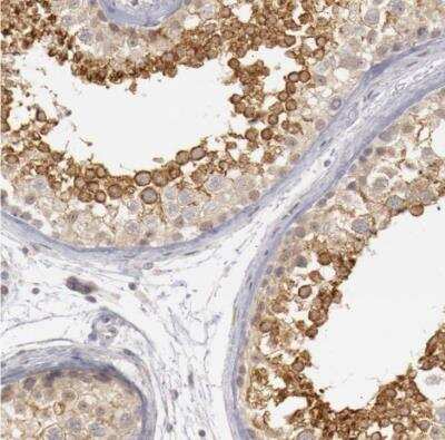
Immunohistochemistry-Paraffin: RIMBP3 Antibody [NBP1-81387] - Analysis in human testis and skeletal muscle tissues using NBP1-81387 antibody. Corresponding RIMBP3 RNA-seq data are presented for the same tissues.
Immunohistochemistry-Paraffin: RIMBP3 Antibody [NBP1-81387]

Immunohistochemistry-Paraffin: RIMBP3 Antibody [NBP1-81387]

Immunohistochemistry-Paraffin: RIMBP3 Antibody [NBP1-81387] - Staining of human testis shows strong cytoplasmic positivity in seminiferous ducts.
RIMBP3 Antibody - BSA Free

RIMBP3 Antibody [NBP1-81387] -

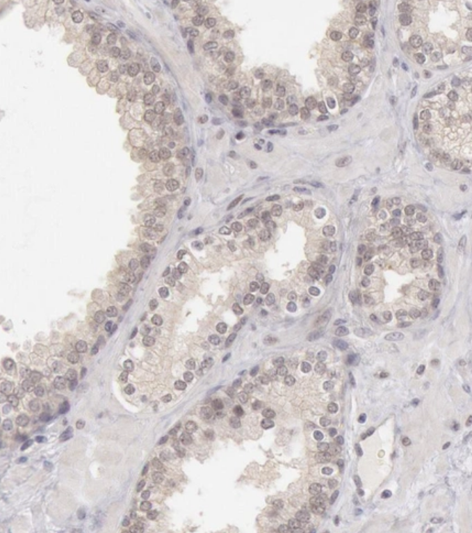
Staining of human prostate shows no positivity in glandular cells as expected.

Applications for RIMBP3 Antibody - BSA Free

Application
Recommended Usage

Immunohistochemistry

1:200 - 1:500

Immunohistochemistry-Paraffin

1:200 - 1:500
Application Notes
For IHC-Paraffin, HIER pH 6 retrieval is recommended.

Formulation, Preparation, and Storage

Purification

Affinity purified

Formulation

PBS (pH 7.2) and 40% Glycerol

Format

BSA Free

Preservative

0.02% Sodium Azide

Concentration

Concentrations vary lot to lot. See vial label for concentration. If unlisted please contact technical services.

Shipping

The product is shipped with polar packs. Upon receipt, store it immediately at the temperature recommended below.

Stability & Storage

Store at 4C short term. Aliquot and store at -20C long term. Avoid freeze-thaw cycles.

Background: RIMBP3

Alternate Names

KIAA1666DKFZp434H0735, RIM-BP3, RIM-BP3.1, RIM-BP3.A, RIMBP3ARIMBP3.1, RIMS binding protein 3, RIMS binding protein 3.1, RIMS-binding protein 3.1, RIMS-binding protein 3A

Gene Symbol

RIMBP3

Additional RIMBP3 Products

Product Documents for RIMBP3 Antibody - BSA Free

Certificate of Analysis

To download a Certificate of Analysis, please enter a lot number in the search box below.

Product Specific Notices for RIMBP3 Antibody - BSA Free

This product is for research use only and is not approved for use in humans or in clinical diagnosis. Primary Antibodies are guaranteed for 1 year from date of receipt.

Loading...
Loading...
Loading...
Loading...