Skip to main content

Rictor Antibody (7B3) - BSA Free

Novus Biologicals, part of Bio-Techne | Catalog # NBP1-51645

Novus Biologicals, part of Bio-Techne
Catalog #
Availability
Size / Price
Qty
Loading...
NBP1-51645
NBP1-51645SS

Key Product Details

Species Reactivity

Validated:

Human, Mouse, Primate

Cited:

Human, Mouse

Applications

Validated:

Immunohistochemistry, Immunohistochemistry-Paraffin, Western Blot, ELISA, Flow Cytometry, Immunocytochemistry/ Immunofluorescence

Cited:

Western Blot, IF/IHC

Label

Unconjugated

Antibody Source

Monoclonal Mouse IgG1 Clone # 7B3

Format

BSA Free

Concentration

1.0 mg/ml

Product Specifications

Immunogen

Purified recombinant fragment of human RICTOR expressed in E. coli. [UniProt# Q6R327]

Clonality

Monoclonal

Host

Mouse

Isotype

IgG1

Theoretical MW

192 kDa.
Disclaimer note: The observed molecular weight of the protein may vary from the listed predicted molecular weight due to post translational modifications, post translation cleavages, relative charges, and other experimental factors.

Description

Novus Biologicals Mouse Rictor Antibody (7B3) - BSA Free (NBP1-51645) is a monoclonal antibody validated for use in IHC, WB, ELISA, Flow and ICC/IF. Anti-Rictor Antibody: Cited in 2 publications. All Novus Biologicals antibodies are covered by our 100% guarantee.

Scientific Data Images for Rictor Antibody (7B3) - BSA Free

Western Blot: Rictor Antibody (7B3)BSA Free [NBP1-51645]

Western Blot: Rictor Antibody (7B3)BSA Free [NBP1-51645]

Western Blot: Rictor Antibody (7B3) [NBP1-51645] - Western blot analysis using RICTOR mouse mAb against Hela (1), PANC-1 (2), MOLT4 (3), HepG2 (4) and HEK293 (5) cell lysates.
Immunocytochemistry/ Immunofluorescence: Rictor Antibody (7B3) - BSA Free [NBP1-51645]

Immunocytochemistry/ Immunofluorescence: Rictor Antibody (7B3) - BSA Free [NBP1-51645]

Immunocytochemistry/Immunofluorescence: Rictor Antibody (7B3) [NBP1-51645] - Analysis of NIH/3T3 cells using RICTOR mouse mAb (green). Blue: DRAQ5 fluorescent DNA dye. Red: Actin filaments have been labeled with Alexa Fluor-555 phalloidin.
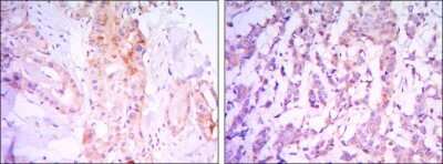
Immunohistochemistry-Paraffin: Rictor Antibody (7B3) - BSA Free [NBP1-51645]

Immunohistochemistry-Paraffin: Rictor Antibody (7B3) - BSA Free [NBP1-51645]

Immunohistochemistry-Paraffin: Rictor Antibody (7B3) [NBP1-51645] - Analysis of paraffin-embedded Human breast carcinoma using Rictor antibody. Antibody dilution 1:200. Image from verified customer review

Applications for Rictor Antibody (7B3) - BSA Free

Application
Recommended Usage

ELISA

1:10000

Flow Cytometry

1 ug per million cells

Immunocytochemistry/ Immunofluorescence

1:200-1:1000

Immunohistochemistry

1:200-1:1000

Immunohistochemistry-Paraffin

1:200-1:1000

Western Blot

1:500-1:2000
Application Notes
This RICTOR (7B3) antibody is useful for Western blot, Flow Cytometry, Immunocytochemistry/Immunofluorescence, Immunohistochemistry on paraffin-embedded sections and ELISA. The observed molecular weight of the protein in WB may vary from the listed predicted molecular weight due to post translational modifications, post translation cleavages, relative charges, and other experimental factors.

Reviewed Applications

Read 1 review rated 5 using NBP1-51645 in the following applications:

Formulation, Preparation, and Storage

Purification

Ammonium sulfate precipitation

Formulation

PBS

Format

BSA Free

Preservative

0.03% Sodium Azide

Concentration

1.0 mg/ml

Shipping

The product is shipped with polar packs. Upon receipt, store it immediately at the temperature recommended below.

Stability & Storage

Store at 4C short term. Aliquot and store at -20C long term. Avoid freeze-thaw cycles.

Background: Rictor

Rictor is a binding partner of mTOR. The rictor mTOR complex modulates the phosphorylation of Protein Kinase C alpha and the actin cytoskeleton.

Long Name

Rapamycin-insensitive Companion of mTOR

Alternate Names

mAVO3, Pianissimo

Entrez Gene IDs

253260 (Human); 78757 (Mouse)

Gene Symbol

RICTOR

UniProt

Additional Rictor Products

Product Documents for Rictor Antibody (7B3) - BSA Free

Certificate of Analysis

To download a Certificate of Analysis, please enter a lot number in the search box below.

Product Specific Notices for Rictor Antibody (7B3) - BSA Free

This product is for research use only and is not approved for use in humans or in clinical diagnosis. Primary Antibodies are guaranteed for 1 year from date of receipt.

Loading...
Loading...
Loading...
Loading...
Loading...