Skip to main content

Ribosomal Protein S6/RPS6 [p Ser235, p Ser236] Antibody (PS01-04)

Novus Biologicals, part of Bio-Techne | Catalog # NBP3-32796

Recombinant Monoclonal Antibody
Novus Biologicals, part of Bio-Techne
Catalog #
Availability
Size / Price
Qty
Loading...
NBP3-32796

Key Product Details

Species Reactivity

Human, Mouse, Rat

Applications

Immunocytochemistry/ Immunofluorescence, Immunohistochemistry, Immunohistochemistry-Paraffin, Western Blot

Label

Unconjugated

Antibody Source

Recombinant Monoclonal Rabbit IgG Clone # PS01-04 expressed in HEK293

Concentration

1 mg/ml

Product Specifications

Immunogen

Synthetic peptide within Human Ribosomal Protein S6/RPS6 aa 200 to the C-terminus (p Ser 235, p Ser 236). (Uniprot: P62753)

Modification

p Ser 235, p Ser 236

Localization

Cytosol, Endoplasmic reticulum, Nucleus.

Clonality

Monoclonal

Host

Rabbit

Isotype

IgG

Theoretical MW

29 kDa.
Disclaimer note: The observed molecular weight of the protein may vary from the listed predicted molecular weight due to post translational modifications, post translation cleavages, relative charges, and other experimental factors.

Description

Novus Biologicals Rabbit Ribosomal Protein S6/RPS6 [p Ser235, p Ser236] Antibody (PS01-04) (NBP3-32796) is a recombinant monoclonal antibody validated for use in IHC, WB and ICC/IF. All Novus Biologicals antibodies are covered by our 100% guarantee.

Scientific Data Images for Ribosomal Protein S6/RPS6 [p Ser235, p Ser236] Antibody (PS01-04)

Ribosomal Protein S6/RPS6 [p Ser235, p Ser236] Antibody (PS01-04)

Western Blot: Ribosomal Protein S6/RPS6 [p Ser235, p Ser236] Antibody (PS01-04) [NBP3-32796]

Western Blot: Ribosomal Protein S6/RPS6 [p Ser235, p Ser236] Antibody (PS01-04) [NBP3-32796] - Western blot analysis of Ribosomal Protein S6/RPS6 on different lysates with Rabbit anti-Ribosomal Protein S6/RPS6 antibody (NBP3-32796) at 1/1,000 dilution.

Lane 1: NIH/3T3 cell lysate
Lane 2: THP-1 cell lysate
Lane 3: Hela cell lysate

Lysates/proteins at 10 ug/Lane.

Predicted band size: 29 kDa
Observed band size: 33 kDa

Exposure time: 30 seconds;

12% SDS-PAGE gel.

Proteins were transferred to a PVDF membrane and blocked with 5% NFDM/TBST for 1 hour at room temperature. The primary antibody (NBP3-32796) at 1/1,000 dilution was used in 5% NFDM/TBST at room temperature for 2 hours. Goat Anti-Rabbit IgG - HRP Secondary Antibody at 1:300,000 dilution was used for 1 hour at room temperature.
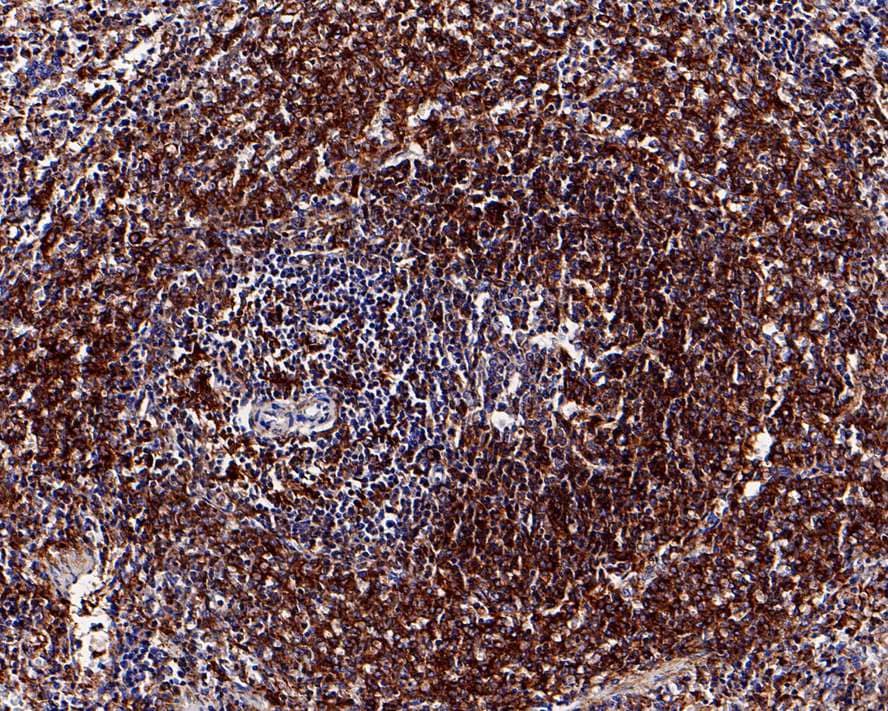
Ribosomal Protein S6/RPS6 [p Ser235, p Ser236] Antibody (PS01-04)

Immunohistochemistry: Ribosomal Protein S6/RPS6 [p Ser235, p Ser236] Antibody (PS01-04) [NBP3-32796]

Immunohistochemistry: Ribosomal Protein S6/RPS6 [p Ser235, p Ser236] Antibody (PS01-04) [NBP3-32796] - Immunohistochemical analysis of paraffin-embedded rat spleen tissue with Rabbit anti-Ribosomal Protein S6/RPS6 antibody (NBP3-32796) at 1/200 dilution.

The section was pre-treated using heat mediated antigen retrieval with Tris-EDTA buffer (pH 9.0) for 20 minutes. The tissues were blocked in 1% BSA for 20 minutes at room temperature, washed with ddH2O and PBS, and then probed with the primary antibody (NBP3-32796) at 1/200 dilution for 1 hour at room temperature. The detection was performed using an HRP conjugated compact polymer system. DAB was used as the chromogen. Tissues were counterstained with hematoxylin and mounted with DPX.
Ribosomal Protein S6/RPS6 [p Ser235, p Ser236] Antibody (PS01-04)

Immunocytochemistry/ Immunofluorescence: Ribosomal Protein S6/RPS6 [p Ser235, p Ser236] Antibody (PS01-04) [NBP3-32796]

Immunocytochemistry/ Immunofluorescence: Ribosomal Protein S6/RPS6 [p Ser235, p Ser236] Antibody (PS01-04) [NBP3-32796] - Immunocytochemistry analysis of Hela cells labeling Ribosomal Protein S6/RPS6 with Rabbit anti-Ribosomal Protein S6/RPS6 antibody (NBP3-32796) at 1/50 dilution.

Cells were fixed in 4% paraformaldehyde for 10 minutes at 37 ℃, permeabilized with 0.05% Triton X-100 in PBS for 20 minutes, and then blocked with 2% negative goat serum for 30 minutes at room temperature. Cells were then incubated with Rabbit anti-Ribosomal Protein S6/RPS6 antibody (NBP3-32796) at 1/50 dilution in 2% negative goat serum overnight at 4 ℃. Goat Anti-Rabbit IgG H&L (iFluor™ 488) was used as the secondary antibody at 1/1,000 dilution. PBS instead of the primary antibody was used as the secondary antibody only control. Nuclear DNA was labelled in blue with DAPI.

Applications for Ribosomal Protein S6/RPS6 [p Ser235, p Ser236] Antibody (PS01-04)

Application
Recommended Usage

Immunocytochemistry/ Immunofluorescence

1:50

Immunohistochemistry-Paraffin

1:200

Western Blot

1:1000

Formulation, Preparation, and Storage

Purification

Protein A purified

Formulation

PBS (pH7.4), 0.1% BSA and 40% Glycerol

Preservative

0.05% Sodium Azide

Concentration

1 mg/ml

Shipping

The product is shipped with polar packs. Upon receipt, store it immediately at the temperature recommended below.

Stability & Storage

Store at 4C short term. Aliquot and store at -20C long term. Avoid freeze-thaw cycles.

Background: Ribosomal Protein S6/RPS6

RPS6, also known as Ribosomal Protein S6, is a 29kDa 249 amino acid protein. The primary function of RPS6 is to control cell growth during the selective translation of mRNA. Current research is being conducted on RPS6 due to its relationship tomyeloid leukemia, Kaposi's sarcoma, cutaneous t cell lymphoma, lymphangioleiomyomatosis, congestive heart failure and b-cell lymphomas. RPS6 has been linked to the pathogenesis, transport, cell growth and cell death pathways where it interacts with RPS2, RPS3, RPL11, RPL26 and RPL35.

Alternate Names

RPS6

Gene Symbol

RPS6

Additional Ribosomal Protein S6/RPS6 Products

Product Documents for Ribosomal Protein S6/RPS6 [p Ser235, p Ser236] Antibody (PS01-04)

Certificate of Analysis

To download a Certificate of Analysis, please enter a lot number in the search box below.

Product Specific Notices for Ribosomal Protein S6/RPS6 [p Ser235, p Ser236] Antibody (PS01-04)

This product is for research use only and is not approved for use in humans or in clinical diagnosis. Primary Antibodies are guaranteed for 1 year from date of receipt.

Loading...
Loading...
Loading...
Loading...