Skip to main content

Ribophorin II Antibody - BSA Free

Novus Biologicals, part of Bio-Techne | Catalog # NBP2-32178

Novus Biologicals, part of Bio-Techne

Key Product Details

Validated by

Biological Validation

Species Reactivity

Human

Applications

Immunohistochemistry, Western Blot, Immunoprecipitation

Label

Unconjugated

Antibody Source

Polyclonal Rabbit IgG

Format

BSA Free

Concentration

1.0 mg/ml

Product Specifications

Immunogen

The immunogen this antibody was made to, maps to a region between residue 350 to 400 of human Ribophorin II using the numbering given in entry NP_002942.2 (GeneID 6185).

Clonality

Polyclonal

Host

Rabbit

Isotype

IgG

Description

Novus Biologicals Rabbit Ribophorin II Antibody - BSA Free (NBP2-32178) is a polyclonal antibody validated for use in IHC, WB and IP. All Novus Biologicals antibodies are covered by our 100% guarantee.

Scientific Data Images for Ribophorin II Antibody - BSA Free

Western Blot: Ribophorin II Antibody [NBP2-32178]

Western Blot: Ribophorin II Antibody [NBP2-32178]

Western Blot: Ribophorin II Antibody [NBP2-32178] - Samples: Whole cell lysate (50 ug) from HeLa, 293T, and Jurkat cells. Antibodies: Affinity purified rabbit anti-Ribophorin II antibody NBP2-32178 used for WB at 0.4 ug/ml. Detection: Chemiluminescence with an exposure time of 3 minutes.
Immunohistochemistry: Ribophorin II Antibody [NBP2-32178]

Immunohistochemistry: Ribophorin II Antibody [NBP2-32178]

Immunohistochemistry: Ribophorin II Antibody [NBP2-32178] - Sample: FFPE section of human prostate carcinoma. Antibody: Affinity purified rabbit anti- RPN2 used at a dilution of 1:1,000 (1ug/ml). Detection: DAB. Counterstain: IHC Hematoxylin (blue).
Immunohistochemistry: Ribophorin II Antibody [NBP2-32178]

Immunohistochemistry: Ribophorin II Antibody [NBP2-32178]

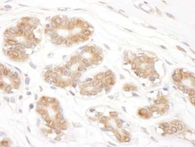
Immunohistochemistry: Ribophorin II Antibody [NBP2-32178] - Sample: FFPE section of human mammary glands. Antibody: Affinity purified rabbit anti- RPN2 used at a dilution of 1:1,000 (1ug/ml). Detection: DAB. Counterstain: IHC Hematoxylin (blue).

Applications for Ribophorin II Antibody - BSA Free

Application
Recommended Usage

Immunoprecipitation

2 - 10 ug/mg lysate

Western Blot

1:1000 - 1:5000

Formulation, Preparation, and Storage

Purification

Immunogen affinity purified

Formulation

Tris-Citrate/Phosphate (pH 7.0 - 8.0)

Format

BSA Free

Preservative

0.09% Sodium Azide

Concentration

1.0 mg/ml

Shipping

The product is shipped with polar packs. Upon receipt, store it immediately at the temperature recommended below.

Stability & Storage

Store at 4C. Do not freeze.

Background: Ribophorin II

Ribophorin II encodes a type I integral membrane protein found only in the rough endoplasmic reticulum. The encoded protein is part of an N-oligosaccharyl transferase complex that links high mannose oligosaccharides to asparagine residues found in the Asn-X-Ser/Thr consensus motif of nascent polypeptide chains. This protein is similar in sequence to the yeast oligosaccharyl transferase subunit SWP1.

Alternate Names

RIBIIREC 2.4.1.119, ribophorin IIDolichyl-diphosphooligosaccharide--protein glycosyltransferase 63 kDa subunit, ribophorin-2, RPNII, RPN-IIdolichyl-diphosphooligosaccharide--protein glycosyltransferase subunit 2, SWP1

Gene Symbol

RPN2

Additional Ribophorin II Products

Product Documents for Ribophorin II Antibody - BSA Free

Certificate of Analysis

To download a Certificate of Analysis, please enter a lot number in the search box below.

Product Specific Notices for Ribophorin II Antibody - BSA Free

This product is for research use only and is not approved for use in humans or in clinical diagnosis. Primary Antibodies are guaranteed for 1 year from date of receipt.

Loading...
Loading...
Loading...
Loading...