Skip to main content

Ribophorin I Antibody - BSA Free

Novus Biologicals, part of Bio-Techne | Catalog # NBP1-32704

Novus Biologicals, part of Bio-Techne
Catalog #
Availability
Size / Price
Qty
Loading...
NBP1-32704

Key Product Details

Species Reactivity

Validated:

Human

Predicted:

Bovine (94%), Chimpanzee (99%), Mouse (96%), Porcine (96%), Rat (97%), Rhesus Macaque (100%). Backed by our 100% Guarantee.

Applications

Immunocytochemistry/ Immunofluorescence, Immunohistochemistry, Immunohistochemistry-Paraffin, Immunoprecipitation, Western Blot

Label

Unconjugated

Antibody Source

Polyclonal Rabbit IgG

Format

BSA Free

Concentration

Concentrations vary lot to lot. See vial label for concentration. If unlisted please contact technical services.

Product Specifications

Immunogen

Recombinant protein encompassing a sequence within the C-terminus region of human Ribophorin I. The exact sequence is proprietary.

Localization

Endoplasmic reticulum membrane, Single-pass type I membrane protein , Melanosome

Clonality

Polyclonal

Host

Rabbit

Isotype

IgG

Theoretical MW

69 kDa.
Disclaimer note: The observed molecular weight of the protein may vary from the listed predicted molecular weight due to post translational modifications, post translation cleavages, relative charges, and other experimental factors.

Description

Novus Biologicals Rabbit Ribophorin I Antibody - BSA Free (NBP1-32704) is a polyclonal antibody validated for use in IHC, WB, ICC/IF and IP. All Novus Biologicals antibodies are covered by our 100% guarantee.

Scientific Data Images for Ribophorin I Antibody - BSA Free

Western Blot: Ribophorin I Antibody [NBP1-32704]

Western Blot: Ribophorin I Antibody [NBP1-32704]

Western Blot: Ribophorin I Antibody [NBP1-32704] - Sample(30 ug of whole cell lysate)A:H1299 B:Hep G2 10% SDS PAGE, antibody diluted at 1:1500.
Immunocytochemistry/ Immunofluorescence: Ribophorin I Antibody [NBP1-32704]

Immunocytochemistry/ Immunofluorescence: Ribophorin I Antibody [NBP1-32704]

Immunocytochemistry/Immunofluorescence: Ribophorin I Antibody [NBP1-32704] - Analysis of methanol-fixed HeLa, using antibody at 1:500 dilution.
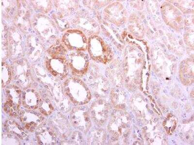
Immunohistochemistry-Paraffin: Ribophorin I Antibody [NBP1-32704]

Immunohistochemistry-Paraffin: Ribophorin I Antibody [NBP1-32704]

Immunohistochemistry-Paraffin: Ribophorin I Antibody [NBP1-32704] - Paraffin-embedded human normal kidney. Ribophorin I antibody [C2C3], C-term diluted at 1:500.

Applications for Ribophorin I Antibody - BSA Free

Application
Recommended Usage

Immunocytochemistry/ Immunofluorescence

1:100-1:1000

Immunohistochemistry

1:100-1:1000

Immunohistochemistry-Paraffin

1:100-1:1000

Immunoprecipitation

Assay dependent

Western Blot

1:500-1:3000

Formulation, Preparation, and Storage

Purification

Antigen Affinity-purified

Formulation

PBS, 40% Glycerol

Format

BSA Free

Preservative

0.01% Thimerosal

Concentration

Concentrations vary lot to lot. See vial label for concentration. If unlisted please contact technical services.

Shipping

The product is shipped with polar packs. Upon receipt, store it immediately at the temperature recommended below.

Stability & Storage

Aliquot and store at -20C or -80C. Avoid freeze-thaw cycles.

Background: Ribophorin I

This gene encodes a type I integral membrane protein found only in the rough endoplasmic reticulum. The encoded protein is part of an N-oligosaccharyl transferase complex that links high mannose oligosaccharides to asparagine residues found in the Asn-X-Ser/Thr consensus motif of nascent polypeptide chains. This protein forms part of the regulatory subunit of the 26S proteasome and may mediate binding of ubiquitin-like domains to this proteasome.

Alternate Names

DKFZp686B16177, dolichyl-diphosphooligosaccharide-protein glycosyltransferase 67 kDa subunit, Dolichyl-diphosphooligosaccharide--protein glycosyltransferase 67 kDa subunit, dolichyl-diphosphooligosaccharide--protein glycosyltransferase subunit 1, EC 2.4.1.119, oligosaccharyltransferase 1 homolog, OST1, ribophorin IRBPH1, Ribophorin-1, RPN-I

Entrez Gene IDs

6184 (Human)

Gene Symbol

RPN1

UniProt

Additional Ribophorin I Products

Product Documents for Ribophorin I Antibody - BSA Free

Certificate of Analysis

To download a Certificate of Analysis, please enter a lot number in the search box below.

Product Specific Notices for Ribophorin I Antibody - BSA Free

This product is for research use only and is not approved for use in humans or in clinical diagnosis. Primary Antibodies are guaranteed for 1 year from date of receipt.

Loading...
Loading...
Loading...
Loading...

⚠ WARNING: This product can expose you to chemicals including mercury, which is known to the State of California to cause reproductive toxicity with developmental effects.  For more information go to www.P65Warnings.ca.gov.