Skip to main content

RHOBTB2 Antibody - BSA Free

Novus Biologicals, part of Bio-Techne | Catalog # NBP2-32576

Novus Biologicals, part of Bio-Techne
Catalog #
Availability
Size / Price
Qty
Loading...
NBP2-32576
NBP2-32576-25ul

Key Product Details

Species Reactivity

Validated:

Human

Predicted:

Mouse (98%), Rat (98%). Backed by our 100% Guarantee.

Applications

Immunocytochemistry/ Immunofluorescence, Immunohistochemistry, Immunohistochemistry-Paraffin

Label

Unconjugated

Antibody Source

Polyclonal Rabbit IgG

Format

BSA Free

Concentration

Concentrations vary lot to lot. See vial label for concentration. If unlisted please contact technical services.

Product Specifications

Immunogen

This antibody was developed against a recombinant protein corresponding to amino acids: GPFVESSTREVVFPYTSKSCMRAVLEYLYTGMFTSSPDLDDMKLIILANRL

Clonality

Polyclonal

Host

Rabbit

Isotype

IgG

Description

Novus Biologicals Rabbit RHOBTB2 Antibody - BSA Free (NBP2-32576) is a polyclonal antibody validated for use in IHC and ICC/IF. All Novus Biologicals antibodies are covered by our 100% guarantee.

Scientific Data Images for RHOBTB2 Antibody - BSA Free

Immunocytochemistry/ Immunofluorescence: RHOBTB2 Antibody [NBP2-32576]

Immunocytochemistry/ Immunofluorescence: RHOBTB2 Antibody [NBP2-32576]

Immunocytochemistry/Immunofluorescence: RHOBTB2 Antibody [NBP2-32576] - Immunofluorescent staining of human cell line U-2 OS shows localization to plasma membrane.
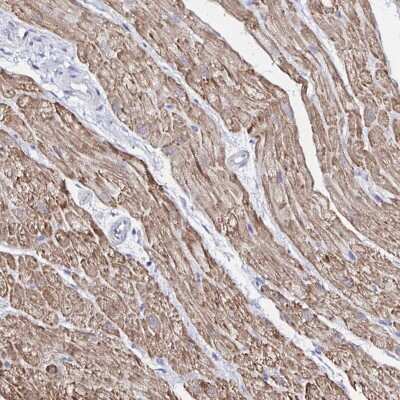
Immunohistochemistry-Paraffin: RHOBTB2 Antibody [NBP2-32576]

Immunohistochemistry-Paraffin: RHOBTB2 Antibody [NBP2-32576]

Immunohistochemistry-Paraffin: RHOBTB2 Antibody [NBP2-32576] - Staining of human heart muscle shows moderate cytoplasmic positivity in myocytes.

Applications for RHOBTB2 Antibody - BSA Free

Application
Recommended Usage

Immunocytochemistry/ Immunofluorescence

0.25-2 ug/ml

Immunohistochemistry

1:200 - 1:500

Immunohistochemistry-Paraffin

1:200 - 1:500
Application Notes
For IHC-Paraffin, HIER pH 6 retrieval is recommended. Immunocytochemistry/Immunofluorescence Fixation Permeabilization: Use PFA/Triton X-100.

Formulation, Preparation, and Storage

Purification

Immunogen affinity purified

Formulation

PBS (pH 7.2) and 40% Glycerol

Format

BSA Free

Preservative

0.02% Sodium Azide

Concentration

Concentrations vary lot to lot. See vial label for concentration. If unlisted please contact technical services.

Shipping

The product is shipped with polar packs. Upon receipt, store it immediately at the temperature recommended below.

Stability & Storage

Store at 4C short term. Aliquot and store at -20C long term. Avoid freeze-thaw cycles.

Background: RHOBTB2

RHOBTB2 (Rho-Related BTB Domain Containing 2) is a tumor suppressor for some forms of breast cancer and may have a role in protein transport. RHOBTB2 is known to have interactions with KDM5B, ARHGAP35, RAC2, RHOB and RHOBTB1. RHOBTB2 has been studied in relation to breast cancer, sporadic breast cancer, familial breast cancer and gastric cancer.

Alternate Names

DBC2KIAA0717Deleted in breast cancer 2 gene protein, p83, Rho-related BTB domain containing 2, rho-related BTB domain-containing protein 2

Gene Symbol

RHOBTB2

Additional RHOBTB2 Products

Product Documents for RHOBTB2 Antibody - BSA Free

Certificate of Analysis

To download a Certificate of Analysis, please enter a lot number in the search box below.

Product Specific Notices for RHOBTB2 Antibody - BSA Free

This product is for research use only and is not approved for use in humans or in clinical diagnosis. Primary Antibodies are guaranteed for 1 year from date of receipt.

Loading...
Loading...
Loading...
Loading...