Skip to main content

RhoA Antibody (1A11-4G10)

Novus Biologicals, part of Bio-Techne | Catalog # NBP2-22528

Novus Biologicals, part of Bio-Techne
Catalog #
Availability
Size / Price
Qty
Loading...
NBP2-22528
NBP2-22528-0.025mg

Key Product Details

Species Reactivity

Validated:

Human, Mouse, Rat

Cited:

Human

Applications

Validated:

Immunohistochemistry, Immunohistochemistry-Paraffin, Western Blot, Immunocytochemistry/ Immunofluorescence, Immunoprecipitation

Cited:

Immunocytochemistry/ Immunofluorescence

Label

Unconjugated

Antibody Source

Monoclonal Mouse IgG1 Clone # 1A11-4G10

Concentration

1 mg/ml

Product Specifications

Immunogen

Full-length recombinant human Rho A

Reactivity Notes

Please note that this antibody is reactive to Mouse and derived from the same host, Mouse. Additional Mouse on Mouse blocking steps may be required for IHC and ICC experiments. Please contact Technical Support for more information.

Clonality

Monoclonal

Host

Mouse

Isotype

IgG1

Description

Novus Biologicals Mouse RhoA Antibody (1A11-4G10) (NBP2-22528) is a monoclonal antibody validated for use in IHC, WB, ICC/IF and IP. Anti-RhoA Antibody: Cited in 3 publications. All Novus Biologicals antibodies are covered by our 100% guarantee.

Scientific Data Images for RhoA Antibody (1A11-4G10)

Western Blot: RhoA Antibody (1A11-4G10) [NBP2-22528]

Western Blot: RhoA Antibody (1A11-4G10) [NBP2-22528]

Western Blot: RhoA Antibody (1A11-4G10) [NBP2-22528] - Analysis of 25 ug of various whole cell lysates or 0.5 ug of purified protein (full-length His-RhoA, truncated GST-RhoB or full-length GST-RhoC fusion) per well onto a 4-20% Tris-HCl polyacrylamide gel.
Immunocytochemistry/ Immunofluorescence: RhoA Antibody (1A11-4G10) [NBP2-22528]

Immunocytochemistry/ Immunofluorescence: RhoA Antibody (1A11-4G10) [NBP2-22528]

Immunocytochemistry/Immunofluorescence: RhoA Antibody (1A11-4G10) [NBP2-22528] - Analysis of Rho A/B/C (green) showing staining in the in the cytoplasm of A431 cells (right) compared to a negative control without primary antibody (left).
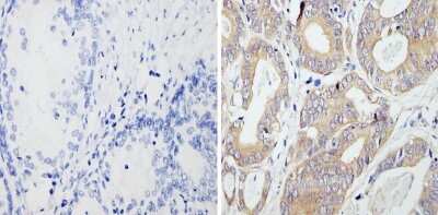
Immunohistochemistry-Paraffin: RhoA Antibody (1A11-4G10) [NBP2-22528]

Immunohistochemistry-Paraffin: RhoA Antibody (1A11-4G10) [NBP2-22528]

Immunohistochemistry-Paraffin: RhoA Antibody (1A11-4G10) [NBP2-22528] - Analysis showing staining in the cytoplasm of human hepatocarcinoma (right) compared with a negative control without primary antibody (left).

Applications for RhoA Antibody (1A11-4G10)

Application
Recommended Usage

Immunocytochemistry/ Immunofluorescence

1:10 - 1:200

Immunohistochemistry

1:20 - 1:200

Immunohistochemistry-Paraffin

1:20 - 1:200

Immunoprecipitation

2 ug

Western Blot

1:500 - 1:1500

Formulation, Preparation, and Storage

Purification

Protein A purified

Formulation

PBS with 1 mg/ml BSA and 30% glycerol

Preservative

0.05% Sodium Azide

Concentration

1 mg/ml

Shipping

The product is shipped with polar packs. Upon receipt, store it immediately at the temperature recommended below.

Stability & Storage

Store at -20C. Avoid freeze-thaw cycles.

Background: RhoA

RhoA belongs to the small GTPase superfamily, Rho family. It regulates a signal transduction pathway linking plasma membrane receptors to the assembly of focal adhesion and actin stress fibers. It serves as a target for the yopT cysteine peptidase from Yersinia pestis, vector of the plague, and Yersinia pseudotuberculosis, which causes gastrointestinal disorders. It binds PRKCL1, ROCK1 and ROCK2. Interacts with NET1 and ARHGEF3.

Alternate Names

h12, oncogene RHO H12, ras homolog gene family, member A, Rho cDNA clone 12, Rho12, RhoA, RHOH12ARH12ARHAAplysia ras-related homolog 12, small GTP binding protein RhoA, transforming protein RhoA

Gene Symbol

RHOA

UniProt

Additional RhoA Products

Product Documents for RhoA Antibody (1A11-4G10)

Certificate of Analysis

To download a Certificate of Analysis, please enter a lot number in the search box below.

Product Specific Notices for RhoA Antibody (1A11-4G10)

This product is for research use only and is not approved for use in humans or in clinical diagnosis. Primary Antibodies are guaranteed for 1 year from date of receipt.

Loading...
Loading...
Loading...
Loading...